Product Info Summary
| SKU: | A00931 |
|---|---|
| Size: | 100μl |
| Reactive Species: | Human, Mouse, Rat |
| Host: | Rabbit |
| Application: | ELISA, IF, IHC, WB |
Customers Who Bought This Also Bought
Product info
Product Name
Anti-Protein C-ets-1 ETS1 Antibody
SKU/Catalog Number
A00931
Size
100μl
Form
Liquid
Description
Boster Bio Anti-Protein C-ets-1 ETS1 Antibody catalog # A00931. Tested in WB, IHC, IF, ELISA applications. This antibody reacts with Human, Mouse, Rat.
Storage & Handling
Store at -20°C for one year. For short term storage and frequent use, store at 4°C for up to one month. Avoid repeated freeze-thaw cycles.
Cite This Product
Anti-Protein C-ets-1 ETS1 Antibody (Boster Biological Technology, Pleasanton CA, USA, Catalog # A00931)
Host
Rabbit
Contents
Liquid in PBS containing 50% glycerol, 0.5% stabilizing protein and 0.02% sodium azide.
*This antibody is supplied in a stabilized formulation.
Compatibility with conjugation reactions depends on the chemistry of the conjugation method used.
For conjugation methods that are not compatible with the stabilizing components present in this formulation, a carrier-free antibody format is required.
Clonality
Polyclonal
Isotype
IgG
Immunogen
The antiserum was produced against synthesized peptide derived from human ETS1. AA range:11-60
Cross-reactivity
No cross reactivity with other proteins.
Reactive Species
A00931 is reactive to ETS1 in Human, Mouse, Rat
Observed Molecular Weight
39 kDa
Calculated molecular weight
50.4 kDa
Antibody Validation
Boster validates all antibodies on WB, IHC, ICC, Immunofluorescence, and ELISA with known positive control and negative samples to ensure specificity and high affinity, including thorough antibody incubations.
Application & Images
Applications
A00931 is guaranteed for ELISA, IF, IHC, WB Boster Guarantee
Assay Dilutions Recommendation
The recommendations below provide a starting point for assay optimization. The actual working concentration varies and should be decided by the user.
WB 1:500-1:2000
IHC 1:100-1:300
IF 1:200-1:1000
ELISA 1:5000
Validation Images & Assay Conditions
Click image to see more details
Immunofluorescence analysis of HeLa cells, using ETS1 Antibody. The picture on the right is blocked with the synthesized peptide.
Click image to see more details
Western Blot analysis of 293T cells using ETS1 Polyclonal Antibody diluted at 1:1000 cells nucleus extracted by Minute TM Cytoplasmic and Nuclear Fractionation kit .
Click image to see more details
Immunohistochemical analysis of paraffin-embedded Human breast cancer. Antibody was diluted at 1:100 (4° overnight). High-pressure and temperature Tris-EDTA,pH8.0 was used for antigen retrieval.
Click image to see more details
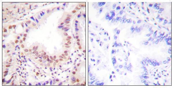
Immunohistochemistry analysis of paraffin-embedded human lung carcinoma tissue, using ETS1 Antibody. The picture on the right is blocked with the synthesized peptide.
Specific Publications For Anti-Protein C-ets-1 ETS1 Antibody (A00931)
Loading publications
Recommended Resources
Here are featured tools and databases that you might find useful.
- Boster's Pathways Library
- Protein Databases
- Bioscience Research Protocol Resources
- Data Processing & Analysis Software
- Photo Editing Software
- Scientific Literature Resources
- Research Paper Management Tools
- Molecular Biology Software
- Primer Design Tools
- Bioinformatics Tools
- Phylogenetic Tree Analysis
Customer Reviews
Have you used Anti-Protein C-ets-1 ETS1 Antibody?
Share your experimental results or join a short interview to earn up to $1,000 in product credits or other rewards.
0 Reviews For Anti-Protein C-ets-1 ETS1 Antibody
Customer Q&As
Have a question?
Find answers in Q&As, reviews.
Can't find your answer?
Submit your question
15 Customer Q&As for Anti-Protein C-ets-1 ETS1 Antibody
Question
We have been able to see staining in mouse endometrium. Do you have any suggestions? Is anti-ETS1 antibody supposed to stain endometrium positively?
Verified Customer
Verified customer
Asked: 2020-03-26
Answer
Based on literature endometrium does express ETS1. Based on Uniprot.org, ETS1 is expressed in blood, endometrium, lung, leukemic t-cell, erythroleukemia, among other tissues. Regarding which tissues have ETS1 expression, here are a few articles citing expression in various tissues:
Endometrium, Pubmed ID: 17974005
Erythroleukemia, Pubmed ID: 23186163
Leukemic T-cell, Pubmed ID: 19690332
Lung, Pubmed ID: 15489334
Boster Scientific Support
Answered: 2020-03-26
Question
Thank you for helping with my inquiry over the phone. Here are the WB image, lot number and protocol we used for endometrium using anti-ETS1 antibody A00931. Let me know if you need anything else.
Verified Customer
Verified customer
Asked: 2020-03-16
Answer
I appreciate the data. You have provided everything we needed. Our lab team are working to resolve your inquiry as quickly as possible, and we appreciate your patience and understanding! Please let me know if there is anything you need in the meantime.
Boster Scientific Support
Answered: 2020-03-16
Question
I see that the anti-ETS1 antibody A00931 works with WB, what is the protocol used to produce the result images on the product page?
N. Carter
Verified customer
Asked: 2020-02-04
Answer
You can find protocols for WB on the "support/technical resources" section of our navigation menu. If you have any further questions, please send an email to support@bosterbio.com
Boster Scientific Support
Answered: 2020-02-04
Question
I have a question about product A00931, anti-ETS1 antibody. I was wondering if it would be possible to conjugate this antibody with biotin. I would need it to be without BSA or sodium azide. I am planning on using a buffer exchange of sodium azide with PBS only. Would there be problems for me to conjugate the antibody and store it in -20 degrees in small aliquots?
Verified Customer
Verified customer
Asked: 2019-10-22
Answer
We do not recommend storing this antibody with PBS buffer only in -20 degrees. If you want to store it in -20 degrees it is best to add some cryoprotectant like glycerol. If you want carrier free A00931 anti-ETS1 antibody, we can provide it to you in a special formula with trehalose and/or glycerol. These molecules will not interfere with conjugation chemistry and provide a good level of protection for the antibody from degradation. Please be sure to specify this in your purchase order.
Boster Scientific Support
Answered: 2019-10-22
Question
Does anti-ETS1 antibody A00931 work for WB with endometrium?
Verified Customer
Verified customer
Asked: 2019-10-21
Answer
According to the expression profile of endometrium, ETS1 is highly expressed in endometrium. So, it is likely that anti-ETS1 antibody A00931 will work for WB with endometrium.
Boster Scientific Support
Answered: 2019-10-21
Question
I am interested in to test anti-ETS1 antibody A00931 on human endometrium for research purposes, then I may be interested in using anti-ETS1 antibody A00931 for diagnostic purposes as well. Is the antibody suitable for diagnostic purposes?
Verified Customer
Verified customer
Asked: 2019-10-04
Answer
The products we sell, including anti-ETS1 antibody A00931, are only intended for research use. They would not be suitable for use in diagnostic work. If you have the means to develop a product into diagnostic use, and are interested in collaborating with us and develop our product into an IVD product, please contact us for more discussions.
Boster Scientific Support
Answered: 2019-10-04
Question
I was wanting to use your anti-ETS1 antibody for WB for human endometrium on frozen tissues, but I want to know if it has been tested for this particular application. Has this antibody been tested and is this antibody a good choice for human endometrium identification?
Verified Customer
Verified customer
Asked: 2019-08-28
Answer
It shows on the product datasheet, A00931 anti-ETS1 antibody has been tested for WB on human, mouse, rat tissues. We have an innovator award program that if you test this antibody and show it works in human endometrium in IHC-frozen, you can get your next antibody for free.
Boster Scientific Support
Answered: 2019-08-28
Question
Is this A00931 anti-ETS1 antibody reactive to the isotypes of ETS1?
Verified Customer
Verified customer
Asked: 2019-07-18
Answer
The immunogen of A00931 anti-ETS1 antibody is Synthesized peptide derived from human Ets-1 around the non-phosphorylation site of T38. Could you tell me which isotype you are interested in so I can help see if the immunogen is part of this isotype?
Boster Scientific Support
Answered: 2019-07-18
Question
Do you have a BSA free version of anti-ETS1 antibody A00931 available?
Verified Customer
Verified customer
Asked: 2019-02-07
Answer
We appreciate your recent telephone inquiry. I can confirm that some lots of this anti-ETS1 antibody A00931 are BSA free. For now, these lots are available and we can make a BSA free formula for you free of charge. It will take 3 extra days to prepare. If you require this antibody BSA free again in future, please do not hesitate to contact me and I will be pleased to check which lots we have in stock that are BSA free.
Boster Scientific Support
Answered: 2019-02-07
Question
Is a blocking peptide available for product anti-ETS1 antibody (A00931)?
P. Li
Verified customer
Asked: 2018-03-09
Answer
We do provide the blocking peptide for product anti-ETS1 antibody (A00931). If you would like to place an order for it please contact support@bosterbio.com and make a special request.
Boster Scientific Support
Answered: 2018-03-09
Question
Will A00931 anti-ETS1 antibody work on parafin embedded sections? If so, which fixation method do you recommend we use (PFA, paraformaldehyde, other)?
M. Jha
Verified customer
Asked: 2017-01-25
Answer
It shows on the product datasheet, A00931 anti-ETS1 antibody as been tested on WB. It is best to use PFA for fixation because it has better tissue penetration ability. PFA needs to be prepared fresh before use. Long term stored PFA turns into formalin, as the PFA molecules congregate and become formalin.
Boster Scientific Support
Answered: 2017-01-25
Question
I am interested in using your anti-ETS1 antibody for positive regulation of angiogenesis studies. Has this antibody been tested with western blotting on 293t cells? We would like to see some validation images before ordering.
M. Brown
Verified customer
Asked: 2017-01-19
Answer
We appreciate your inquiry. This A00931 anti-ETS1 antibody is validated on 293t cells. It is guaranteed to work for WB in human, mouse, rat. Our Boster guarantee will cover your intended experiment even if the sample type has not been be directly tested.
Boster Scientific Support
Answered: 2017-01-19
Question
See attached the WB image, lot number and protocol we used for endometrium using anti-ETS1 antibody A00931. Please let me know if you require anything else.
M. Patel
Verified customer
Asked: 2016-09-05
Answer
Thank you very much for the data. Our lab team are working to resolve this as quickly as possible, and we appreciate your patience and understanding! You have provided everything we needed. Please let me know if there is anything you need in the meantime.
Boster Scientific Support
Answered: 2016-09-05
Question
We are currently using anti-ETS1 antibody A00931 for rat tissue, and we are content with the WB results. The species of reactivity given in the datasheet says human, mouse, rat. Is it possible that the antibody can work on pig tissues as well?
E. Miller
Verified customer
Asked: 2015-06-16
Answer
The anti-ETS1 antibody (A00931) has not been validated for cross reactivity specifically with pig tissues, but there is a good chance of cross reactivity. We have an innovator award program that if you test this antibody and show it works in pig you can get your next antibody for free. Please contact me if I can help you with anything.
Boster Scientific Support
Answered: 2015-06-16
Question
My team were satisfied with the WB result of your anti-ETS1 antibody. However we have seen positive staining in lung cytoplasm. using this antibody. Is that expected? Could you tell me where is ETS1 supposed to be expressed?
O. Krishna
Verified customer
Asked: 2013-07-02
Answer
Based on literature, lung does express ETS1. Generally ETS1 expresses in cytoplasm. Regarding which tissues have ETS1 expression, here are a few articles citing expression in various tissues:
Endometrium, Pubmed ID: 17974005
Erythroleukemia, Pubmed ID: 23186163
Leukemic T-cell, Pubmed ID: 19690332
Lung, Pubmed ID: 15489334
Boster Scientific Support
Answered: 2013-07-02

