Product Info Summary
| SKU: | A09168-1 |
|---|---|
| Size: | 100ul |
| Reactive Species: | Human, Mouse |
| Host: | Rabbit |
| Application: | ELISA, IF, IHC, WB |
Customers Who Bought This Also Bought
Product info
Product Name
Anti-TEF-4 TEAD2 Antibody
SKU/Catalog Number
A09168-1
Size
100ul
Form
Liquid
Description
Boster Bio Anti-TEF-4 TEAD2 Antibody catalog # A09168-1. Tested in ELISA, IF, IHC applications. This antibody reacts with Human, Mouse.
Storage & Handling
Store at -20°C for one year. For short term storage and frequent use, store at 4°C for up to one month. Avoid repeated freeze-thaw cycles.
Cite This Product
Anti-TEF-4 TEAD2 Antibody (Boster Biological Technology, Pleasanton CA, USA, Catalog # A09168-1)
Host
Rabbit
Contents
Liquid in PBS containing 50% glycerol, 0.5% stabilizing protein and 0.02% sodium azide.
This antibody is supplied in a stabilized formulation.
Compatibility with conjugation reactions depends on the chemistry of the conjugation method used.
For conjugation methods that are not compatible with the stabilizing components present in this formulation, a carrier-free antibody format is required.
Clonality
Polyclonal
Isotype
IgG
Immunogen
The antiserum was produced against synthesized peptide derived from human TEAD2. AA range:71-120
Reactive Species
A09168-1 is reactive to TEAD2 in Human, Mouse
Calculated molecular weight
49.2 kDa
Antibody Validation
Boster validates all antibodies on WB, IHC, ICC, Immunofluorescence, and ELISA with known positive control and negative samples to ensure specificity and high affinity, including thorough antibody incubations.
Application & Images
Applications
A09168-1 is guaranteed for ELISA, IF, IHC, WB Boster Guarantee
Assay Dilutions Recommendation
The recommendations below provide a starting point for assay optimization. The actual working concentration varies and should be decided by the user.
WB 1:500-2000
IHC 1:100-1:300
IF 1:200-1:1000
ELISA 1:20000
Validation Images & Assay Conditions
Click image to see more details
Western Blot analysis of mouse-brain cells using TEF-4 Polyclonal Antibody cells nucleus extracted by Minute TM Cytoplasmic and Nuclear Fractionation kit .
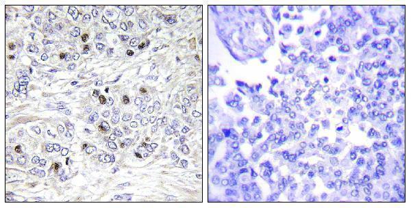
Click image to see more details
Immunohistochemistry analysis of paraffin-embedded human breast carcinoma tissue, using TEAD2 Antibody. The picture on the right is blocked with the synthesized peptide.
Click image to see more details
Immunofluorescence analysis of Hela cell. 1, TEF-4 Polyclonal Antibody (red) was diluted at 1:200 (4° overnight). β-actin Monoclonal Antibody (5B7) (green) was diluted at 1:200 (4° overnight). 2, Goat Anti Rabbit Alexa Fluor 594 was diluted at 1:1000 (room temperature, 50min). Goat Anti Mouse Alexa Fluor 488 was diluted at 1:1000 (room temperature, 50min).
Click image to see more details
Immunofluorescence analysis of HepG2 cells, using TEAD2 Antibody. The picture on the right is blocked with the synthesized peptide.
Specific Publications For Anti-TEF-4 TEAD2 Antibody (A09168-1)
Loading publications
Recommended Resources
Here are featured tools and databases that you might find useful.
- Boster's Pathways Library
- Protein Databases
- Bioscience Research Protocol Resources
- Data Processing & Analysis Software
- Photo Editing Software
- Scientific Literature Resources
- Research Paper Management Tools
- Molecular Biology Software
- Primer Design Tools
- Bioinformatics Tools
- Phylogenetic Tree Analysis
Customer Reviews
Have you used Anti-TEF-4 TEAD2 Antibody?
Share your experimental results or join a short interview to earn up to $1,000 in product credits or other rewards.
0 Reviews For Anti-TEF-4 TEAD2 Antibody
Customer Q&As
Have a question?
Find answers in Q&As, reviews.
Can't find your answer?
Submit your question

