This website uses cookies to ensure you get the best experience on our website.
- Table of Contents
1 Citations
Facts about ATPase family AAA domain-containing protein 2.
Might be required for histone hyperacetylation. Involved from the estrogen-induced cell proliferation and cell cycle progression of breast cancer cells.
| Human | |
|---|---|
| Gene Name: | ATAD2 |
| Uniprot: | Q6PL18 |
| Entrez: | 29028 |

| Belongs to: |
|---|
| AAA ATPase family |

AAA nuclear coregulator cancer-associated protein; ANCCA; ANCCAMGC131938; ATAD2; ATPase family AAA domain-containing protein 2; ATPase family, AAA domain containing 2; CT137; DKFZp667N1320; EC 3.6.1.3; MGC142216; MGC29843; MGC5254; PRO2000
Mass (kDA):
158.554 kDA

| Human | |
|---|---|
| Location: | 8q24.13 |
| Sequence: | 8; NC_000008.11 (123319850..123396447, complement) |
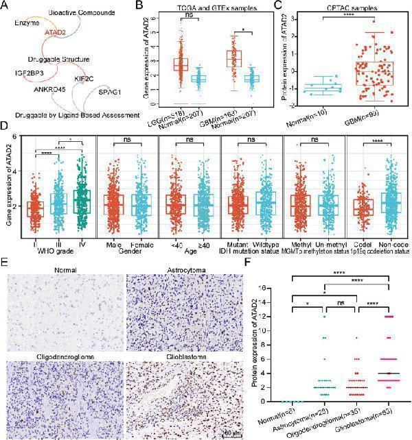
Highly expressed in estrogen receptor positive breast tumors and in osteosarcoma tumors.
Nucleus.






PMID: 15334068 by Petroziello J., et al. Suppression subtractive hybridization and expression profiling identifies a unique set of genes overexpressed in non-small-cell lung cancer.
PMID: 11483580 by Yu Y., et al. Gene expression profiling in human fetal liver and identification of tissue- and developmental-stage-specific genes through compiled expression profiles and efficient cloning of full-length cDNAs.