This website uses cookies to ensure you get the best experience on our website.
- Table of Contents
12 Citations 17 Q&As
7 Citations 5 Q&As
1 Citations 5 Q&As
14 Citations 14 Q&As
8 Citations
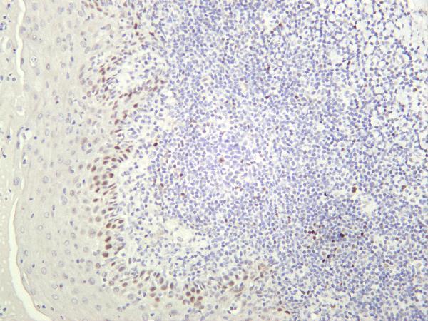
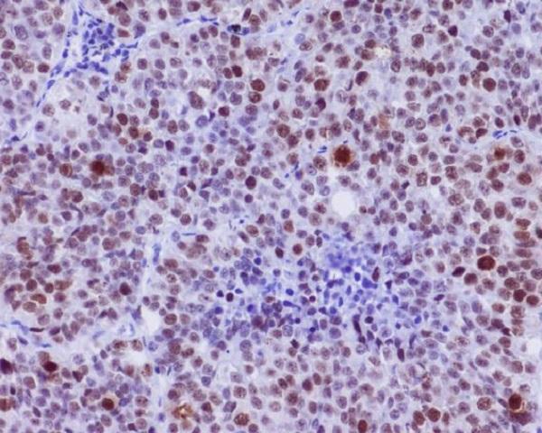
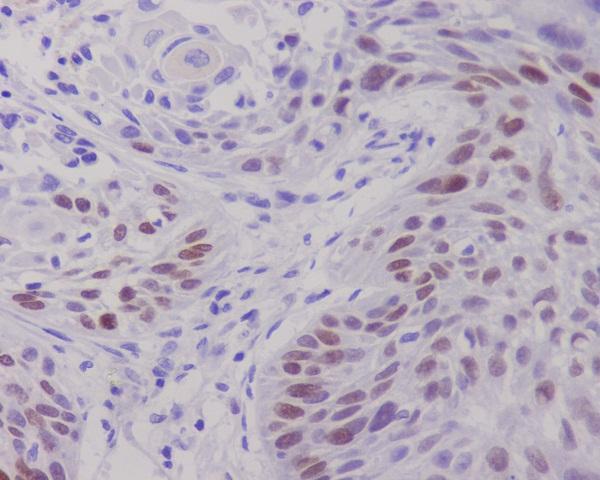
Facts about Myc proto-oncogene protein.
Binds to the VEGFA promoter, promoting VEGFA creation and subsequent sprouting angiogenesis (PubMed:24940000). .
| Human | |
|---|---|
| Gene Name: | MYC |
| Uniprot: | P01106 |
| Entrez: | 4609 |

| Belongs to: |
|---|
| No superfamily |

9E10 Myc; 9E10 Myc; avian myelocytomatosis viral oncogene homolog; BHLHE39; bHLHe39MRTL; Class E basic helix-loop-helix protein 39; cMyc; c-Myc; myc proto-oncogene protein; Myc; Myc2; MYCC; myc-related translation/localization regulatory factor; Niard; Nird; Proto-oncogene c-Myc; Transcription factor p64; v-myc avian myelocytomatosis viral oncogene homolog; v-myc myelocytomatosis viral oncogene homolog (avian)
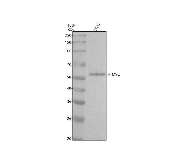
Mass (kDA):
48.804 kDA

| Human | |
|---|---|
| Location: | 8q24.21 |
| Sequence: | 8; NC_000008.11 (127735434..127742951) |
Nucleus, nucleoplasm. Nucleus, nucleolus.






PMID: 6414718 by Battey J., et al. The human c-myc oncogene: structural consequences of translocation into the IgH locus in Burkitt lymphoma.
PMID: 6321164 by Bernard O., et al. Sequence of the murine and human cellular myc oncogenes and two modes of myc transcription resulting from chromosome translocation in B lymphoid tumours.
*Showing only the more recent 20. More publications can be found for each product on its corresponding product page