This website uses cookies to ensure you get the best experience on our website.
- Table of Contents
Facts about Poly(U)-binding-splicing factor PUF60.
Acts as a transcriptional repressor through the core-TFIIH basal transcription element. Represses FUBP1-induced transcriptional activation but not basal transcription.
| Human | |
|---|---|
| Gene Name: | PUF60 |
| Uniprot: | Q9UHX1 |
| Entrez: | 22827 |

| Belongs to: |
|---|
| RRM half pint family |

FBP interacting repressor; FBP-interacting repressor; FIRpoly-U binding splicing factor PUF60; FLJ31379; FUSE-binding protein-interacting repressor; poly(U)-binding-splicing factor PUF60; poly-U binding splicing factor 60KDa; Ro ribonucleoprotein binding protein 1; Ro ribonucleoprotein-binding protein 1; Ro-binding protein 1; roBP1; RoBPI; siah binding protein 1,60 kDa poly(U)-binding-splicing factor; Siah-binding protein 1; siah-BP1; SIAHBP1pyrimidine tract binding splicing factor
Mass (kDA):
59.875 kDA

| Human | |
|---|---|
| Location: | 8q24.3 |
| Sequence: | 8; NC_000008.11 (143816344..143829315, complement) |
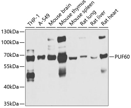
Isoform 2 is expressed in colonic epithelium and colorectal epithelium cancer (at protein level). Isoform 6 is expressed in colorectal epithelial cancer but below detection level in colonic epithelium. Expressed in heart, brain, placenta, lung, liver, skeletal muscle, kidney, pancreas, spleen, thymus, prostate, testis, ovary, small intestine, colon and peripheral blood leukocytes.
Nucleus. Colocalizes partially with TROVE2.





PMID: 10882074 by Liu J., et al. The FBP interacting repressor targets TFIIH to inhibit activated transcription.
PMID: 10668799 by Bouffard P., et al. Interaction cloning and characterization of RoBPI, a novel protein binding to human Ro ribonucleoproteins.