This website uses cookies to ensure you get the best experience on our website.
- Table of Contents
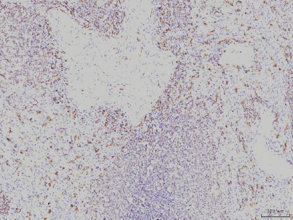
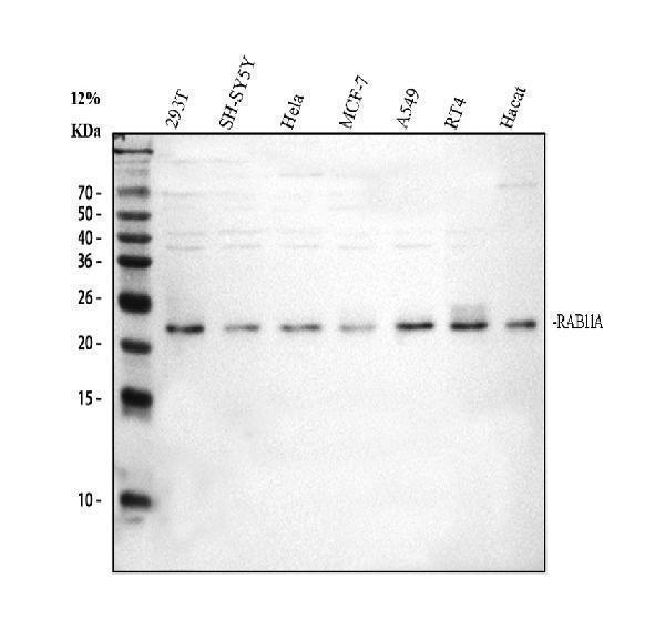
Facts about Ras-related protein Rab-11A.
This Rab regulates endocytic recycling. Acts as a major regulator of membrane delivery during cytokinesis.
| Human | |
|---|---|
| Gene Name: | RAB11A |
| Uniprot: | P62491 |
| Entrez: | 8766 |

| Belongs to: |
|---|
| small GTPase superfamily |

MGC1490; RAB 11A, member oncogene family; RAB11; Rab-11; Rab11A; RAB11A, member RAS oncogene family; YL8; YL8ras-related protein Rab-11A
Mass (kDA):
24.394 kDA

| Human | |
|---|---|
| Location: | 15q22.31 |
| Sequence: | 15; NC_000015.10 (65869491..65891989) |
Cell membrane; Lipid-anchor. Recycling endosome membrane; Lipid-anchor. Cleavage furrow. Cytoplasmic vesicle, phagosome. Cytoplasmic vesicle membrane. Translocates with RAB11FIP2 from the vesicles of the endocytic recycling compartment (ERC) to the plasma membrane (PubMed:11994279). Localizes to the cleavage furrow (PubMed:15601896). Colocalizes with PARD3, PRKCI, EXOC5, OCLN, PODXL and RAB8A in apical membrane initiation sites (AMIS) during the generation of apical surface and lumenogenesis (PubMed:20890297). Recruited to phagosomes containing S.aureus or M.tuberculosis (PubMed:21255211).






PMID: 1704119 by Drivas G.T., et al. Identification and characterization of a human homolog of the Schizosaccharomyces pombe ras-like gene YPT-3.
PMID: 9662449 by Gromov P.S., et al. Human rab11a: transcription, chromosome mapping and effect on the expression levels of host GTP-binding proteins.