Product Info Summary
| SKU: | M03826 |
|---|---|
| Size: | 100 µl |
| Reactive Species: | Human, Mouse, Rat |
| Host: | Mouse |
| Application: | IHC, WB |
Customers Who Bought This Also Bought
Product info
Product Name
Anti-DDX6 Mouse Monoclonal Antibody [Clone ID: OTI2D6]
SKU/Catalog Number
M03826
Size
100 µl
Description
Boster Bio DDX6 mouse monoclonal antibody, clone OTI2D6 (formerly 2D6). Catalog# M03826. Tested in IHC, WB. This antibody reacts with Human, Mouse, Rat.
Storage & Handling
Store at -20°C for one year. For short term storage and frequent use, store at 4°C for up to one month. Avoid repeated freeze-thaw cycles.
Cite This Product
Anti-DDX6 Mouse Monoclonal Antibody [Clone ID: OTI2D6] (Boster Biological Technology, Pleasanton CA, USA, Catalog # M03826)
Host
Mouse
Contents
PBS (pH 7.3) containing 1% stabilizing protein, 50% glycerol and 0.02% sodium azide.
This antibody is supplied in a stabilized formulation.
Compatibility with conjugation reactions depends on the chemistry of the conjugation method used.
For conjugation methods that are not compatible with the stabilizing components present in this formulation, a carrier-free antibody format is required.
Clonality
Monoclonal
Clone Number
OTI2D6
Isotype
IgG2a
Immunogen
Human recombinant protein fragment corresponding to amino acids 1-298 of human DDX6 (NP_004388) produced in E.coli.
Reactive Species
M03826 is reactive to DDX6 in Human, Mouse, Rat
Calculated molecular weight
54.4 kDa
Antibody Validation
Boster validates all antibodies on WB, IHC, ICC, Immunofluorescence, and ELISA with known positive control and negative samples to ensure specificity and high affinity, including thorough antibody incubations.
Application & Images
Applications
M03826 is guaranteed for IHC, WB Boster Guarantee
Assay Dilutions Recommendation
The recommendations below provide a starting point for assay optimization. The actual working concentration varies and should be decided by the user.
WB 1:500
IHC 1:150
Validation Images & Assay Conditions
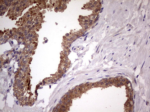
Click image to see more details
Immunohistochemical staining of paraffin-embedded Carcinoma of Human prostate tissue using anti-DDX6 mouse monoclonal antibody. (Heat-induced epitope retrieval by 1 mM EDTA in 10mM Tris
Click image to see more details
HEK293T cells were transfected with the pCMV6-ENTRY control (Left lane) or pCMV6-ENTRY DDX6 (Right lane) cDNA for 48 hrs and lysed. Equivalent amounts of cell lysates (5 ug per lane) were separated by SDS-PAGE and immunoblotted with anti-DDX6.
Specific Publications For Anti-DDX6 Mouse Monoclonal Antibody [Clone ID: OTI2D6] (M03826)
Loading publications
Recommended Resources
Here are featured tools and databases that you might find useful.
- Boster's Pathways Library
- Protein Databases
- Bioscience Research Protocol Resources
- Data Processing & Analysis Software
- Photo Editing Software
- Scientific Literature Resources
- Research Paper Management Tools
- Molecular Biology Software
- Primer Design Tools
- Bioinformatics Tools
- Phylogenetic Tree Analysis
Customer Reviews
Have you used Anti-DDX6 Mouse Monoclonal Antibody [Clone ID: OTI2D6]?
Share your experimental results or join a short interview to earn up to $1,000 in product credits or other rewards.
0 Reviews For Anti-DDX6 Mouse Monoclonal Antibody [Clone ID: OTI2D6]
Customer Q&As
Have a question?
Find answers in Q&As, reviews.
Can't find your answer?
Submit your question

