Product Info Summary
| SKU: | A10698 |
|---|---|
| Size: | 0.1 mg |
| Reactive Species: | Human, Mouse, Rat |
| Host: | Rabbit |
| Application: | ELISA, IF, IHC-P, WB |
Customers Who Bought This Also Bought
Product info
Product Name
Anti-SESTD1 Antibody
SKU/Catalog Number
A10698
Size
0.1 mg
Form
Liquid
Description
Boster Bio Anti-SESTD1 Antibody (Catalog # A10698). Tested in ELISA, WB, IHC-P, IF applications. This antibody reacts with Human, Mouse, Rat.
Storage & Handling
SESTD1 antibody can be stored at 4°C for three months and -20°C, stable for up to one year. Avoid repeated freeze-thaw cycles. Antibodies should not be exposed to prolonged high temperatures.
Cite This Product
Anti-SESTD1 Antibody (Boster Biological Technology, Pleasanton CA, USA, Catalog # A10698)
Host
Rabbit
Contents
SESTD1 Antibody is supplied in PBS containing 0.02% sodium azide.
Clonality
Polyclonal
Isotype
IgG
Immunogen
SESTD1 antibody was raised against a 15 amino acid synthetic peptide near the carboxy terminus of human SESTD1. The immunogen is located within the last 50 amino acids of SESTD1.
Reactive Species
A10698 is reactive to SESTD1 in Human, Mouse, Rat
Observed Molecular Weight
68 kDa
Calculated molecular weight
79.3 kDa
Background of SESTD1
SESTD1 was initially identified in mutant zebrafish with defects in the spontaneous contraction and touch response as a novel gene, solo, encoding a protein containing SEC14 and spectrin repeat domains. Other experiments indicated that SESTD1 interacts with the TRPC4 and TRPC5, members of the transient receptor potential channel family, via the TRPC calmodulin- and inositol 1, 4, 5-triphosphate receptor-binding domain and is essential for efficient receptor-mediated activation of TRPC5, suggesting that SESTD1 is a novel regulator of these TRPC proteins.
Antibody Validation
Boster validates all antibodies on WB, IHC, ICC, Immunofluorescence, and ELISA with known positive control and negative samples to ensure specificity and high affinity, including thorough antibody incubations.
Application & Images
Applications
A10698 is guaranteed for ELISA, IF, IHC-P, WB Boster Guarantee
Assay Dilutions Recommendation
The recommendations below provide a starting point for assay optimization. The actual working concentration varies and should be decided by the user.
SESTD1 antibody can be used for detection of SESTD1 by Western blot at 1 μg/mL. Antibody can also be used for immunohistochemistry starting at 5 μg/mL. For immunofluorescence start at 20 μg/mL.
Antibody validated: Western Blot in rat samples; Immunohistochemistry in human samples and Immunofluorescence in human samples. All other applications and species not yet tested. Optimal dilutions for each application should be determined by the researcher.
Validation Images & Assay Conditions
Click image to see more details
Western blot analysis of SESTD1 in rat brain tissue lysate with SESTD1 antibody at 1 μg/mL in (A) the absence and (B) the presence of blocking peptide.
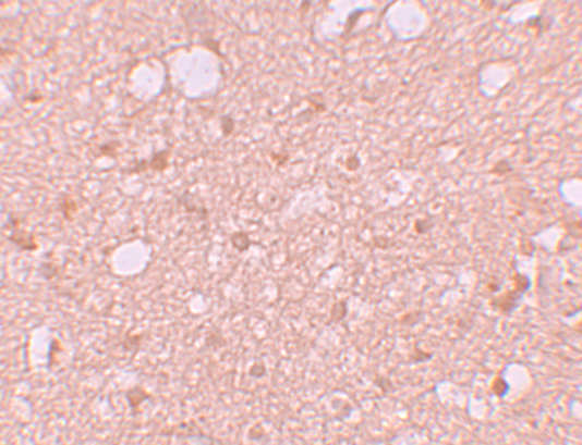
Click image to see more details
Immunohistochemistry of SESTD1 in human brain tissue with SESTD1 antibody at 5 μg/mL.
Click image to see more details
Immunofluorescence of SESTD1 in Human Brain cells with SESTD1 antibody at 20 μg/mL.
Specific Publications For Anti-SESTD1 Antibody (A10698)
Loading publications
Recommended Resources
Here are featured tools and databases that you might find useful.
- Boster's Pathways Library
- Protein Databases
- Bioscience Research Protocol Resources
- Data Processing & Analysis Software
- Photo Editing Software
- Scientific Literature Resources
- Research Paper Management Tools
- Molecular Biology Software
- Primer Design Tools
- Bioinformatics Tools
- Phylogenetic Tree Analysis
Customer Reviews
Have you used Anti-SESTD1 Antibody?
Share your experimental results or join a short interview to earn up to $1,000 in product credits or other rewards.
0 Reviews For Anti-SESTD1 Antibody
Customer Q&As
Have a question?
Find answers in Q&As, reviews.
Can't find your answer?
Submit your question

