Product Info Summary
| SKU: | M10582 |
|---|---|
| Size: | 100 µl |
| Reactive Species: | Human, Mouse, Rat |
| Host: | Mouse |
| Application: | Flow Cytometry, IF, IHC, WB |
Customers Who Bought This Also Bought
Product info
Product Name
Anti-TLE2 Mouse Monoclonal Antibody [Clone ID: OTI5A6]
SKU/Catalog Number
M10582
Size
100 µl
Description
Boster Bio TLE2 mouse monoclonal antibody, clone OTI5A6 (formerly 5A6). Catalog# M10582. Tested in FC, IF, IHC, WB. This antibody reacts with Human, Mouse, Rat.
Storage & Handling
Store at -20°C as received.
Cite This Product
Anti-TLE2 Mouse Monoclonal Antibody [Clone ID: OTI5A6] (Boster Biological Technology, Pleasanton CA, USA, Catalog # M10582)
Host
Mouse
Contents
PBS (pH 7.3) containing 1% stabilizing protein, 50% glycerol and 0.02% sodium azide.
This antibody is supplied in a stabilized formulation.
Compatibility with conjugation reactions depends on the chemistry of the conjugation method used.
For conjugation methods that are not compatible with the stabilizing components present in this formulation, a carrier-free antibody format is required.
Clonality
Monoclonal
Clone Number
OTI5A6
Isotype
IgG1
Immunogen
Full length human recombinant protein of human TLE2 (NP_003251) produced in HEK293T cell.
Reactive Species
M10582 is reactive to TLE2 in Human, Mouse, Rat
Observed Molecular Weight
79.7 kDa
Calculated molecular weight
79.8 kDa
Antibody Validation
Boster validates all antibodies on WB, IHC, ICC, Immunofluorescence, and ELISA with known positive control and negative samples to ensure specificity and high affinity, including thorough antibody incubations.
Application & Images
Applications
M10582 is guaranteed for Flow Cytometry, IF, IHC, WB Boster Guarantee
Assay Dilutions Recommendation
The recommendations below provide a starting point for assay optimization. The actual working concentration varies and should be decided by the user.
WB: 1:2000
IHC: 1:50
IF: 1:100
Flow cytometry: 1:100
Validation Images & Assay Conditions
Click image to see more details
HEK293T cells were transfected with the pCMV6-ENTRY control (Left lane) or pCMV6-ENTRY TLE2 (Right lane) cDNA for 48 hrs and lysed. Equivalent amounts of cell lysates (5 ug per lane) were separated by SDS-PAGE and immunoblotted with anti-TLE2.
Click image to see more details
Immunohistochemical staining of paraffin-embedded Human pancreas tissue within the normal limits using anti-TLE2 mouse monoclonal antibody. (M10582)
Click image to see more details
Immunohistochemical staining of paraffin-embedded Adenocarcinoma of Human endometrium tissue using anti-TLE2 mouse monoclonal antibody. (M10582)
Click image to see more details
Immunohistochemical staining of paraffin-embedded Human tonsil within the normal limits using anti-TLE2 mouse monoclonal antibody. (M10582)
Click image to see more details
Immunohistochemical staining of paraffin-embedded Human Kidney tissue within the normal limits using anti-TLE2 mouse monoclonal antibody. (M10582)
Click image to see more details
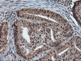
Immunohistochemical staining of paraffin-embedded Carcinoma of Human kidney tissue using anti-TLE2 mouse monoclonal antibody. (M10582)
Click image to see more details
Immunohistochemical staining of paraffin-embedded Human liver tissue within the normal limits using anti-TLE2 mouse monoclonal antibody. (M10582)
Click image to see more details
Immunohistochemical staining of paraffin-embedded Carcinoma of Human liver tissue using anti-TLE2 mouse monoclonal antibody. (M10582)
Click image to see more details
HEK293T cells transfected with either TLE2 (Myc-DDK-tagged) overexpress plasmid (Red) or empty vector control plasmid (Blue) were immunostained by anti-TLE2 antibody (M10582)
Click image to see more details
Flow cytometric Analysis of Hela cells
Click image to see more details
Flow cytometric Analysis of Jurkat cells
Click image to see more details
Anti-TLE2 mouse monoclonal antibody (M10582) immunofluorescent staining of COS7 cells transiently transfected by pCMV6-ENTRY TLE2.
Specific Publications For Anti-TLE2 Mouse Monoclonal Antibody [Clone ID: OTI5A6] (M10582)
Loading publications
Recommended Resources
Here are featured tools and databases that you might find useful.
- Boster's Pathways Library
- Protein Databases
- Bioscience Research Protocol Resources
- Data Processing & Analysis Software
- Photo Editing Software
- Scientific Literature Resources
- Research Paper Management Tools
- Molecular Biology Software
- Primer Design Tools
- Bioinformatics Tools
- Phylogenetic Tree Analysis
Customer Reviews
Have you used Anti-TLE2 Mouse Monoclonal Antibody [Clone ID: OTI5A6]?
Share your experimental results or join a short interview to earn up to $1,000 in product credits or other rewards.
0 Reviews For Anti-TLE2 Mouse Monoclonal Antibody [Clone ID: OTI5A6]
Customer Q&As
Have a question?
Find answers in Q&As, reviews.
Can't find your answer?
Submit your question

