Product Info Summary
| SKU: | A00749 |
|---|---|
| Size: | 100ul |
| Reactive Species: | Human, Mouse |
| Host: | Rabbit |
| Application: | IHC, WB |
Customers Who Bought This Also Bought
Product info
Product Name
Anti-Myotubularin MTM1 Antibody
SKU/Catalog Number
A00749
Size
100ul
Form
Liquid
Description
Boster Bio Anti-Myotubularin MTM1 Antibody catalog # A00749. Tested in ELISA, WB applications. This antibody reacts with Human, Mouse.
Storage & Handling
Store at -20°C for one year. For short term storage and frequent use, store at 4°C for up to one month. Avoid repeated freeze-thaw cycles.
Cite This Product
Anti-Myotubularin MTM1 Antibody (Boster Biological Technology, Pleasanton CA, USA, Catalog # A00749)
Host
Rabbit
Contents
Liquid in PBS containing 50% glycerol, 0.5% stabilizing protein and 0.02% sodium azide.
*This antibody is supplied in a stabilized formulation.
Compatibility with conjugation reactions depends on the chemistry of the conjugation method used.
For conjugation methods that are not compatible with the stabilizing components present in this formulation, a carrier-free antibody format is required.
Clonality
Polyclonal
Isotype
IgG
Immunogen
The antiserum was produced against synthesized peptide derived from human Myotubularin. AA range:241-290
Cross-reactivity
No cross reactivity with other proteins.
Reactive Species
A00749 is reactive to MTM1 in Human, Mouse
Calculated molecular weight
69.9 kDa
Antibody Validation
Boster validates all antibodies on WB, IHC, ICC, Immunofluorescence, and ELISA with known positive control and negative samples to ensure specificity and high affinity, including thorough antibody incubations.
Application & Images
Applications
A00749 is guaranteed for IHC, WB Boster Guarantee
Assay Dilutions Recommendation
The recommendations below provide a starting point for assay optimization. The actual working concentration varies and should be decided by the user.
WB 1:500-2000
IHC 1:50-300
Validation Images & Assay Conditions
Click image to see more details
Western Blot analysis of various cells using Myotubularin Polyclonal Antibody diluted at 1:500
Click image to see more details
Western blot analysis of lysate from COLO205 cells, using Myotubularin antibody.
Click image to see more details
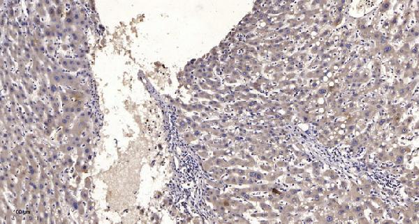
Immunohistochemical analysis of paraffin-embedded human liver cancer. 1, Antibody was diluted at 1:200 (4° overnight). 2, Tris-EDTA, pH9.0 was used for antigen retrieval. 3, Secondary antibody was diluted at 1:200 (room temperature, 45min).
Specific Publications For Anti-Myotubularin MTM1 Antibody (A00749)
Loading publications
Recommended Resources
Here are featured tools and databases that you might find useful.
- Boster's Pathways Library
- Protein Databases
- Bioscience Research Protocol Resources
- Data Processing & Analysis Software
- Photo Editing Software
- Scientific Literature Resources
- Research Paper Management Tools
- Molecular Biology Software
- Primer Design Tools
- Bioinformatics Tools
- Phylogenetic Tree Analysis
Customer Reviews
Have you used Anti-Myotubularin MTM1 Antibody?
Share your experimental results or join a short interview to earn up to $1,000 in product credits or other rewards.
0 Reviews For Anti-Myotubularin MTM1 Antibody
Customer Q&As
Have a question?
Find answers in Q&As, reviews.
Can't find your answer?
Submit your question

