This website uses cookies to ensure you get the best experience on our website.
- Table of Contents
Facts about Alpha-hemoglobin-stabilizing protein.
It is predicted to modulate pathological states of alpha-hemoglobin excess like beta-thalassemia. .
| Human | |
|---|---|
| Gene Name: | AHSP |
| Uniprot: | Q9NZD4 |
| Entrez: | 51327 |

| Belongs to: |
|---|
| AHSP family |

alpha hemoglobin stabilizing protein; EDRFalpha hemoglobin stabilising protein; ERAFalpha-hemoglobin-stabilizing protein; erythroid associated factor; erythroid differentiation associated factor; Erythroid differentiation-related factor; Erythroid-associated factor
Mass (kDA):
11.84 kDA

| Human | |
|---|---|
| Location: | 16p11.2 |
| Sequence: | 16; NC_000016.10 (31527900..31528804) |
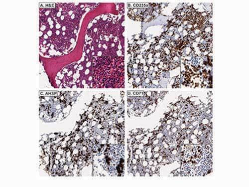
Expressed in blood and bone marrow.
Cytoplasm.





PMID: 11231637 by Miele G., et al. A novel erythroid-specific marker of transmissible spongiform encephalopathies.
PMID: 12066189 by Kihm A.J., et al. An abundant erythroid protein that stabilizes free alpha- haemoglobin.