This website uses cookies to ensure you get the best experience on our website.
- Table of Contents
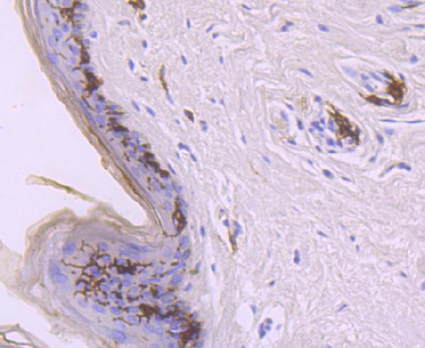
Facts about T-cell surface glycoprotein CD1a.
| Human | |
|---|---|
| Gene Name: | CD1A |
| Uniprot: | P06126 |
| Entrez: | 909 |

| Belongs to: |
|---|
| No superfamily |

CD1; CD1a antigen; CD1A antigen, a polypeptide; CD1a molecule; CD1a; cluster of differentiation 1 A; cortical thymocyte antigen CD1A; differentiation antigen CD1-alpha-3; epidermal dendritic cell marker CD1a; FCB6; hTa1 thymocyte antigen; HTA1; R4; T6; T-cell surface antigen T6/Leu-6; T-cell surface glycoprotein CD1a
Mass (kDA):
37.077 kDA

| Human | |
|---|---|
| Location: | 1q23.1 |
| Sequence: | 1; NC_000001.11 (158248336..158258269) |
Expressed on cortical thymocytes, epidermal Langerhans cells, dendritic cells, on certain T-cell leukemias, and in various other tissues.
Cell membrane; Single-pass type I membrane protein. Membrane raft; Single-pass type I membrane protein. Endosome membrane; Single-pass type I membrane protein. Subject to intracellular trafficking between the cell membrane and endosomes (PubMed:11231314). Localizes to cell surface lipid rafts (PubMed:18178838).






PMID: 2701945 by Aruffo A., et al. Expression of cDNA clones encoding the thymocyte antigens CD1a, b, c demonstrates a hierarchy of exclusion in fibroblasts.
PMID: 2447586 by Martin L.H., et al. Structure and expression of the human thymocyte antigens CD1a, CD1b, and CD1c.
*More publications can be found for each product on its corresponding product page