This website uses cookies to ensure you get the best experience on our website.
- Table of Contents
30 Citations 7 Q&As
2 Citations 5 Q&As
10 Citations 8 Q&As
9 Citations 17 Q&As
1 Citations
12 Citations 16 Q&As
1 Citations
7 Citations
Facts about Pro-epidermal growth factor.
Can induce neurite outgrowth in motoneurons of the pond snail Lymnaea stagnalis in vitro (PubMed:10964941). .
| Human | |
|---|---|
| Gene Name: | EGF |
| Uniprot: | P01133 |
| Entrez: | 1950 |

| Belongs to: |
|---|
| No superfamily |

beta-urogastrone; EGF; epidermal growth factor (beta-urogastrone); epidermal growth factor; HOMG4; pro-epidermal growth factor; URG; Urogastrone
Mass (kDA):
133.994 kDA

| Human | |
|---|---|
| Location: | 4q25 |
| Sequence: | 4; NC_000004.12 (109912883..110013766) |
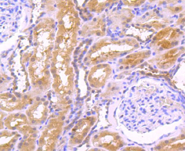
Expressed in kidney, salivary gland, cerebrum and prostate.
Membrane; Single-pass type I membrane protein.






PMID: 3491360 by Bell G.I., et al. Human epidermal growth factor precursor: cDNA sequence, expression in vitro and gene organization.
PMID: 300079 by Gregory H., et al. The primary structure of human urogastrone.
*Showing only the more recent 20. More publications can be found for each product on its corresponding product page