This website uses cookies to ensure you get the best experience on our website.
- Table of Contents

Facts about WW domain-containing transcription regulator protein 1.
WWTR1 enriches PAX8 and NKX2-1/TTF1-dependent gene activation. Regulates the nuclear accumulation of SMADS and has a key role in coupling them to the transcriptional machinery such as the mediator complex.
| Human | |
|---|---|
| Gene Name: | WWTR1 |
| Uniprot: | Q9GZV5 |
| Entrez: | 25937 |

| Belongs to: |
|---|
| No superfamily |

FLJ27004; FLJ45718; TAZ; TAZDKFZp586I1419; transcriptional co-activator with PDZ-binding motif; Transcriptional coactivator with PDZ-binding motif; WW domain containing transcription regulator 1; WW domain-containing transcription regulator protein 1; WWTR1
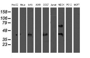
Mass (kDA):
44.101 kDA

| Human | |
|---|---|
| Location: | 3q25.1 |
| Sequence: | 3; NC_000003.12 (149517229..149724788, complement) |
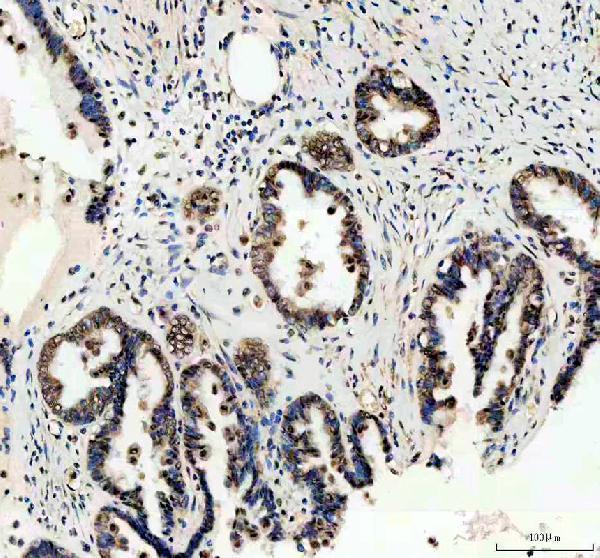
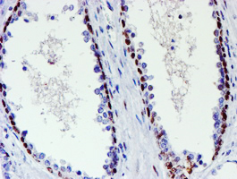
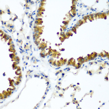
Highly expressed in kidney, heart, placenta and lung. Expressed in the thyroid tissue.
Nucleus. Cytoplasm. Concentrates along specific portions of the plasma membrane, and accumulates in punctate nuclear bodies. When phosphorylated, is retained in cytoplasm by YWHAZ. Can be retained in the nucleus by MED15.






PMID: 11118213 by Kanai F., et al. TAZ: a novel transcriptional co-activator regulated by interactions with 14-3-3 and PDZ domain proteins.
PMID: 18227151 by Lei Q.Y., et al. TAZ promotes cell proliferation and epithelial-mesenchymal transition and is inhibited by the hippo pathway.