Product Info Summary
| SKU: | A04571 |
|---|---|
| Size: | 100ul |
| Reactive Species: | Human, Mouse, Rat |
| Host: | Rabbit |
| Application: | ELISA, IF, IHC, ICC |
Customers Who Bought This Also Bought
Product info
Product Name
Anti-Alpha-1D adrenergic receptor ADRA1D Antibody
SKU/Catalog Number
A04571
Size
100ul
Form
Liquid
Description
Boster Bio Anti-Alpha-1D adrenergic receptor ADRA1D Antibody (Catalog# A04571). Tested in IHC, ICC, IF, ELISA applications. This antibody reacts with Human, Mouse, Rat.
Storage & Handling
Store at -20°C for one year. For short-term storage and frequent use, store at 4°C for up to one month. Avoid repeated freeze-thaw cycles.
Cite This Product
Anti-Alpha-1D adrenergic receptor ADRA1D Antibody (Boster Biological Technology, Pleasanton CA, USA, Catalog # A04571)
Host
Rabbit
Contents
PBS containing 50% glycerol, 0.5% stabilizing protein and 0.02% sodium azide.
*This antibody is supplied in a stabilized formulation.
Compatibility with conjugation reactions depends on the chemistry of the conjugation method used.
For conjugation methods that are not compatible with the stabilizing components present in this formulation, a carrier-free antibody format is required.
Clonality
Polyclonal
Isotype
Rabbit IgG
Immunogen
A peptide derived from human ADRA1D. Immunogen sequence location: 451-500
Cross-reactivity
No cross reactivity with other proteins.
Reactive Species
A04571 is reactive to ADRA1D in Human, Mouse, Rat
Observed Molecular Weight
72 kDa
Calculated molecular weight
60.5 kDa
Antibody Validation
Boster validates all antibodies on WB, IHC, ICC, Immunofluorescence, and ELISA with known positive control and negative samples to ensure specificity and high affinity, including thorough antibody incubations.
Application & Images
Applications
A04571 is guaranteed for ELISA, IF, IHC, ICC Boster Guarantee
Assay Dilutions Recommendation
The recommendations below provide a starting point for assay optimization. The actual working concentration varies and should be decided by the user.
IHC 1:100 - 1:300.
ICC/IF 1:200 - 1:1000.
ELISA: 1:20000.
Not yet tested in other applications.
Validation Images & Assay Conditions
Click image to see more details
Immunofluorescence analysis of HeLa cells, using ADRA1D Antibody. The picture on the right is blocked with the synthesized peptide.
Click image to see more details
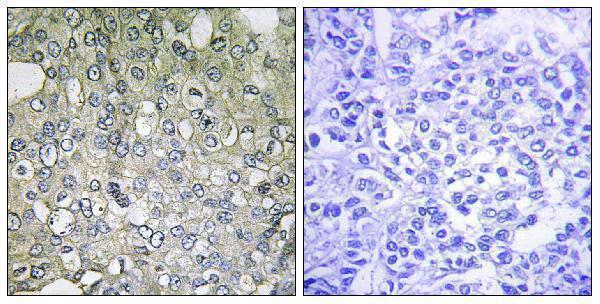
Immunohistochemistry analysis of paraffin-embedded human breast carcinoma tissue, using ADRA1D Antibody. The picture on the right is blocked with the synthesized peptide.
Specific Publications For Anti-Alpha-1D adrenergic receptor ADRA1D Antibody (A04571)
Loading publications
Recommended Resources
Here are featured tools and databases that you might find useful.
- Boster's Pathways Library
- Protein Databases
- Bioscience Research Protocol Resources
- Data Processing & Analysis Software
- Photo Editing Software
- Scientific Literature Resources
- Research Paper Management Tools
- Molecular Biology Software
- Primer Design Tools
- Bioinformatics Tools
- Phylogenetic Tree Analysis
Customer Reviews
Have you used Anti-Alpha-1D adrenergic receptor ADRA1D Antibody?
Share your experimental results or join a short interview to earn up to $1,000 in product credits or other rewards.
0 Reviews For Anti-Alpha-1D adrenergic receptor ADRA1D Antibody
Customer Q&As
Have a question?
Find answers in Q&As, reviews.
Can't find your answer?
Submit your question
13 Customer Q&As for Anti-Alpha-1D adrenergic receptor ADRA1D Antibody
Question
Will anti-ADRA1D antibody A04571 work for IHC with placenta prostate?
Verified Customer
Verified customer
Asked: 2019-12-24
Answer
According to the expression profile of placenta prostate, ADRA1D is highly expressed in placenta prostate. So, it is likely that anti-ADRA1D antibody A04571 will work for IHC with placenta prostate.
Boster Scientific Support
Answered: 2019-12-24
Question
Our lab want to know about to test anti-ADRA1D antibody A04571 on human placenta prostate for research purposes, then I may be interested in using anti-ADRA1D antibody A04571 for diagnostic purposes as well. Is the antibody suitable for diagnostic purposes?
Verified Customer
Verified customer
Asked: 2019-09-03
Answer
The products we sell, including anti-ADRA1D antibody A04571, are only intended for research use. They would not be suitable for use in diagnostic work. If you have the means to develop a product into diagnostic use, and are interested in collaborating with us and develop our product into an IVD product, please contact us for more discussions.
Boster Scientific Support
Answered: 2019-09-03
Question
I see that the anti-ADRA1D antibody A04571 works with IHC, what is the protocol used to produce the result images on the product page?
Verified Customer
Verified customer
Asked: 2019-08-05
Answer
You can find protocols for IHC on the "support/technical resources" section of our navigation menu. If you have any further questions, please send an email to support@bosterbio.com
Boster Scientific Support
Answered: 2019-08-05
Question
Does A04571 anti-ADRA1D antibody work on parafin embedded sections? If so, which fixation method do you recommend we use (PFA, paraformaldehyde, other)?
Verified Customer
Verified customer
Asked: 2019-07-25
Answer
You can see on the product datasheet, A04571 anti-ADRA1D antibody as been validated on IHC. It is best to use PFA for fixation because it has better tissue penetration ability. PFA needs to be prepared fresh before use. Long term stored PFA turns into formalin, as the PFA molecules congregate and become formalin.
Boster Scientific Support
Answered: 2019-07-25
Question
Is a blocking peptide available for product anti-ADRA1D antibody (A04571)?
Verified Customer
Verified customer
Asked: 2019-07-25
Answer
We do provide the blocking peptide for product anti-ADRA1D antibody (A04571). If you would like to place an order for it please contact support@bosterbio.com and make a special request.
Boster Scientific Support
Answered: 2019-07-25
Question
Do you have a BSA free version of anti-ADRA1D antibody A04571 available?
Verified Customer
Verified customer
Asked: 2019-07-24
Answer
We appreciate your recent telephone inquiry. I can confirm that some lots of this anti-ADRA1D antibody A04571 are BSA free. For now, these lots are available and we can make a BSA free formula for you free of charge. It will take 3 extra days to prepare. If you require this antibody BSA free again in future, please do not hesitate to contact me and I will be pleased to check which lots we have in stock that are BSA free.
Boster Scientific Support
Answered: 2019-07-24
Question
We appreciate helping with my inquiry over the phone. Here are the WB image, lot number and protocol we used for placenta prostate using anti-ADRA1D antibody A04571. Let me know if you need anything else.
Verified Customer
Verified customer
Asked: 2019-05-29
Answer
Thanks for the data. You have provided everything we needed. Our lab team are working to resolve your inquiry as quickly as possible, and we appreciate your patience and understanding! Please let me know if there is anything you need in the meantime.
Boster Scientific Support
Answered: 2019-05-29
Question
Is this A04571 anti-ADRA1D antibody reactive to the isotypes of ADRA1D?
Verified Customer
Verified customer
Asked: 2019-05-16
Answer
The immunogen of A04571 anti-ADRA1D antibody is A peptide derived from human ADRA1D. Immunogen sequence location: 451-500. Could you tell me which isotype you are interested in so I can help see if the immunogen is part of this isotype?
Boster Scientific Support
Answered: 2019-05-16
Question
I have attached the WB image, lot number and protocol we used for placenta prostate using anti-ADRA1D antibody A04571. Please let me know if you require anything else.
C. Mitchell
Verified customer
Asked: 2019-03-18
Answer
Thank you very much for the data. Our lab team are working to resolve this as quickly as possible, and we appreciate your patience and understanding! You have provided everything we needed. Please let me know if there is anything you need in the meantime.
Boster Scientific Support
Answered: 2019-03-18
Question
I was wanting to use your anti-ADRA1D antibody for IHC for human placenta prostate on frozen tissues, but I want to know if it has been validated for this particular application. Has this antibody been validated and is this antibody a good choice for human placenta prostate identification?
E. Collins
Verified customer
Asked: 2017-09-21
Answer
It shows on the product datasheet, A04571 anti-ADRA1D antibody has been tested for IF, IHC on human tissues. We have an innovator award program that if you test this antibody and show it works in human placenta prostate in IHC-frozen, you can get your next antibody for free.
Boster Scientific Support
Answered: 2017-09-21
Question
My question regarding product A04571, anti-ADRA1D antibody. I was wondering if it would be possible to conjugate this antibody with biotin. I would need it to be without BSA or sodium azide. I am planning on using a buffer exchange of sodium azide with PBS only. Would there be problems for me to conjugate the antibody and store it in -20 degrees in small aliquots?
B. Parker
Verified customer
Asked: 2016-09-30
Answer
We suggest not storing this antibody with PBS buffer only in -20 degrees. If you want to store it in -20 degrees it is best to add some cryoprotectant like glycerol. If you want carrier free A04571 anti-ADRA1D antibody, we can provide it to you in a special formula with trehalose and/or glycerol. These molecules will not interfere with conjugation chemistry and provide a good level of protection for the antibody from degradation. Please be sure to specify this in your purchase order.
Boster Scientific Support
Answered: 2016-09-30
Question
Will anti-ADRA1D antibody A04571 work on zebrafish IHC with placenta prostate?
H. Wu
Verified customer
Asked: 2016-08-29
Answer
Our lab technicians have not validated anti-ADRA1D antibody A04571 on zebrafish. You can run a BLAST between zebrafish and the immunogen sequence of anti-ADRA1D antibody A04571 to see if they may cross-react. If the sequence homology is close, then you can perform a pilot test. Keep in mind that since we have not validated zebrafish samples, this use of the antibody is not covered by our guarantee. However we have an innovator award program that if you test this antibody and show it works in zebrafish placenta prostate in IHC, you can get your next antibody for free.
Boster Scientific Support
Answered: 2016-08-29
Question
We are currently using anti-ADRA1D antibody A04571 for human tissue, and we are satisfied with the IF results. The species of reactivity given in the datasheet says human. Is it possible that the antibody can work on zebrafish tissues as well?
L. Li
Verified customer
Asked: 2013-02-20
Answer
The anti-ADRA1D antibody (A04571) has not been tested for cross reactivity specifically with zebrafish tissues, but there is a good chance of cross reactivity. We have an innovator award program that if you test this antibody and show it works in zebrafish you can get your next antibody for free. Please contact me if I can help you with anything.
Boster Scientific Support
Answered: 2013-02-20

