Product Info Summary
| SKU: | A08031-1 |
|---|---|
| Size: | 100ul |
| Reactive Species: | Human, Mouse, Rat |
| Host: | Rabbit |
| Application: | IP, IF, IHC, WB |
Customers Who Bought This Also Bought
Product info
Product Name
Anti-CBP20 (R21) NCBP2 Antibody
SKU/Catalog Number
A08031-1
Size
100ul
Form
Liquid
Description
Boster Bio Anti-CBP20 (R21) NCBP2 Antibody catalog # A08031-1. Tested in WB,IHC,IF,IP applications. This antibody reacts with Human,Mouse,Rat.
Storage & Handling
Store at -20°C for one year. For short term storage and frequent use, store at 4°C for up to one month. Avoid repeated freeze-thaw cycles.
Cite This Product
Anti-CBP20 (R21) NCBP2 Antibody (Boster Biological Technology, Pleasanton CA, USA, Catalog # A08031-1)
Host
Rabbit
Contents
Rabbit IgG, 1mg/ml in PBS with 0.02% sodium azide, 50% glycerol, pH7.2
Clonality
Polyclonal
Isotype
IgG
Immunogen
Synthetic peptide, corresponding to amino acids N-terminus of Human CBP20.
Reactive Species
A08031-1 is reactive to NCBP2 in Human, Mouse, Rat
Calculated molecular weight
18.0 kDa
Antibody Validation
Boster validates all antibodies on WB, IHC, ICC, Immunofluorescence, and ELISA with known positive control and negative samples to ensure specificity and high affinity, including thorough antibody incubations.
Application & Images
Applications
A08031-1 is guaranteed for IP, IF, IHC, WB Boster Guarantee
Assay Dilutions Recommendation
The recommendations below provide a starting point for assay optimization. The actual working concentration varies and should be decided by the user.
WB: 1:500-1:1000
IHC/IF: 1:50-1:200
IP: 1:10-1:100
Validation Images & Assay Conditions
Click image to see more details
Western blot (WB) analysis of CBP20 (R21) pAb at 1:1000 dilution Lane1:MCF-7 whole cell lysate(40ug) Lane2:L02 whole cell lysate(40ug) Lane3:CT26 whole cell lysate(40ug) Lane4:H9C2 whole cell lysate(40ug)
Click image to see more details
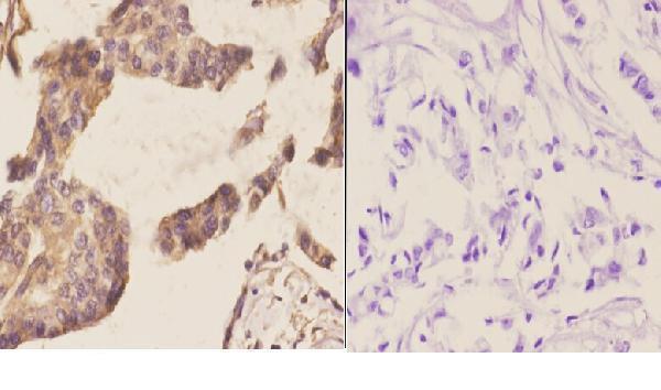
Immunohistochemistry (IHC) analyzes of CBP20 (R21) pAb in paraffin-embedded human breast carcinoma tissue at 1:50.showing cytoplasmic and nucleus staining. Negative control (the right)Using PBS instead of primary antibody, secondary antibody is Goat Anti-Rabbit IgG-biotin followed by avidin-peroxidase.
Click image to see more details
Immunoprecipitation of HEK293T cell lysate using CBP20 (R21) pAb (Sepharose Bead Conjugate) #BD0048(lane 2 and lane 3) and Nonspecific IgG Control (Sepharose Bead Conjugate) #BD0048 (lane 4 ) .Lane 1 is 30% input. The western blot was probed using CBP20 (R21) .“↑”(supernatant); “↓(deposition)
Specific Publications For Anti-CBP20 (R21) NCBP2 Antibody (A08031-1)
Loading publications
Recommended Resources
Here are featured tools and databases that you might find useful.
- Boster's Pathways Library
- Protein Databases
- Bioscience Research Protocol Resources
- Data Processing & Analysis Software
- Photo Editing Software
- Scientific Literature Resources
- Research Paper Management Tools
- Molecular Biology Software
- Primer Design Tools
- Bioinformatics Tools
- Phylogenetic Tree Analysis
Customer Reviews
Have you used Anti-CBP20 (R21) NCBP2 Antibody?
Share your experimental results or join a short interview to earn up to $1,000 in product credits or other rewards.
0 Reviews For Anti-CBP20 (R21) NCBP2 Antibody
Customer Q&As
Have a question?
Find answers in Q&As, reviews.
Can't find your answer?
Submit your question

