Product Info Summary
| SKU: | A13267-1 |
|---|---|
| Size: | 100ul |
| Reactive Species: | Human, Mouse |
| Host: | Rabbit |
| Application: | ELISA, IF, IHC, ICC |
Customers Who Bought This Also Bought
Product info
Product Name
Anti-COX19 Antibody
SKU/Catalog Number
A13267-1
Size
100ul
Form
Liquid
Description
Boster Bio Anti-COX19 Antibody (Catalog# A13267-1). Tested in IHC, ICC, IF, ELISA applications. This antibody reacts with Human, Mouse.
Storage & Handling
Store at -20°C for one year. For short-term storage and frequent use, store at 4°C for up to one month. Avoid repeated freeze-thaw cycles.
Cite This Product
Anti-COX19 Antibody (Boster Biological Technology, Pleasanton CA, USA, Catalog # A13267-1)
Host
Rabbit
Contents
PBS containing 50% glycerol, 0.5% stabilizing protein and 0.02% sodium azide.
This antibody is supplied in a stabilized formulation.
Compatibility with conjugation reactions depends on the chemistry of the conjugation method used.
For conjugation methods that are not compatible with the stabilizing components present in this formulation, a carrier-free antibody format is required.
Clonality
Polyclonal
Isotype
Rabbit IgG
Immunogen
A peptide derived from human COX19. Immunogen sequence location: 10-59
Reactive Species
A13267-1 is reactive to COX19 in Human, Mouse
Observed Molecular Weight
72 kDa
Calculated molecular weight
10.4 kDa
Antibody Validation
Boster validates all antibodies on WB, IHC, ICC, Immunofluorescence, and ELISA with known positive control and negative samples to ensure specificity and high affinity, including thorough antibody incubations.
Application & Images
Applications
A13267-1 is guaranteed for ELISA, IF, IHC, ICC Boster Guarantee
Assay Dilutions Recommendation
The recommendations below provide a starting point for assay optimization. The actual working concentration varies and should be decided by the user.
IHC 1:100 - 1:300.
ELISA: 1:20000.
ICC/IF 1:50-200
Validation Images & Assay Conditions
Click image to see more details
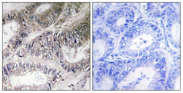
Immunohistochemistry analysis of paraffin-embedded human colon carcinoma tissue, using COX19 Antibody. The picture on the right is blocked with the synthesized peptide.
Specific Publications For Anti-COX19 Antibody (A13267-1)
Loading publications
Recommended Resources
Here are featured tools and databases that you might find useful.
- Boster's Pathways Library
- Protein Databases
- Bioscience Research Protocol Resources
- Data Processing & Analysis Software
- Photo Editing Software
- Scientific Literature Resources
- Research Paper Management Tools
- Molecular Biology Software
- Primer Design Tools
- Bioinformatics Tools
- Phylogenetic Tree Analysis
Customer Reviews
Have you used Anti-COX19 Antibody?
Share your experimental results or join a short interview to earn up to $1,000 in product credits or other rewards.
0 Reviews For Anti-COX19 Antibody
Customer Q&As
Have a question?
Find answers in Q&As, reviews.
Can't find your answer?
Submit your question
4 Customer Q&As for Anti-COX19 Antibody
Question
Does anti-COX19 antibody A13267-1 work on dog IHC with lung?
Verified Customer
Verified customer
Asked: 2020-04-21
Answer
Our lab technicians have not validated anti-COX19 antibody A13267-1 on dog. You can run a BLAST between dog and the immunogen sequence of anti-COX19 antibody A13267-1 to see if they may cross-react. If the sequence homology is close, then you can perform a pilot test. Keep in mind that since we have not validated dog samples, this use of the antibody is not covered by our guarantee. However we have an innovator award program that if you test this antibody and show it works in dog lung in IHC, you can get your next antibody for free.
Boster Scientific Support
Answered: 2020-04-21
Question
We are currently using anti-COX19 antibody A13267-1 for mouse tissue, and we are satisfied with the IHC results. The species of reactivity given in the datasheet says human, mouse. Is it true that the antibody can work on primate tissues as well?
Verified Customer
Verified customer
Asked: 2020-03-30
Answer
The anti-COX19 antibody (A13267-1) has not been tested for cross reactivity specifically with primate tissues, though there is a good chance of cross reactivity. We have an innovator award program that if you test this antibody and show it works in primate you can get your next antibody for free. Please contact me if I can help you with anything.
Boster Scientific Support
Answered: 2020-03-30
Question
Is a blocking peptide available for product anti-COX19 antibody (A13267-1)?
Verified Customer
Verified customer
Asked: 2019-01-16
Answer
We do provide the blocking peptide for product anti-COX19 antibody (A13267-1). If you would like to place an order for it please contact support@bosterbio.com and make a special request.
Boster Scientific Support
Answered: 2019-01-16
Question
See attached the WB image, lot number and protocol we used for lung using anti-COX19 antibody A13267-1. Please let me know if you require anything else.
Verified Customer
Verified customer
Asked: 2018-03-16
Answer
Thank you very much for the data. Our lab team are working to resolve this as quickly as possible, and we appreciate your patience and understanding! You have provided everything we needed. Please let me know if there is anything you need in the meantime.
Boster Scientific Support
Answered: 2018-03-16

