Product Info Summary
| SKU: | A05754-3 |
|---|---|
| Size: | 100 μg/vial |
| Reactive Species: | Mouse, Rat |
| Host: | Rabbit |
| Application: | ELISA, Flow Cytometry, IHC, WB |
Customers Who Bought This Also Bought
Product info
Product Name
Anti-GILT/IFI30 Antibody Picoband®
SKU/Catalog Number
A05754-3
Size
100 μg/vial
Form
Lyophilized
Description
Boster Bio Anti-GILT/IFI30 Antibody Picoband® catalog # A05754-3. Tested in ELISA, Flow Cytometry, IHC, WB applications. This antibody reacts with Mouse, Rat. The brand Picoband indicates this is a premium antibody that guarantees superior quality, high affinity, and strong signals with minimal background in Western blot applications. Only our best-performing antibodies are designated as Picoband, ensuring unmatched performance.
Storage & Handling
Store at -20˚C for one year from date of receipt. After reconstitution, at 4˚C for one month. It can also be aliquotted and stored frozen at -20˚C for six months. Avoid repeated freeze-thaw cycles.
Cite This Product
Anti-GILT/IFI30 Antibody Picoband® (Boster Biological Technology, Pleasanton CA, USA, Catalog # A05754-3)
Host
Rabbit
Contents
Each vial contains 4mg Trehalose, 0.9mg NaCl, 0.2mg Na2HPO4, 0.01mg NaN3.
Clonality
Polyclonal
Isotype
Rabbit IgG
Immunogen
E.coli-derived mouse GILT/IFI30 recombinant protein (Position: A32-K248).
Cross-reactivity
No cross-reactivity with other proteins
Reactive Species
A05754-3 is reactive to Ifi30 in Mouse, Rat
Observed Molecular Weight
25 kDa
Calculated molecular weight
27.8 kDa
Background of Ifi30
Gamma-interferon-inducible lysosomal thiol reductase is an enzyme that, in humans, is encoded by the IFI30 gene. The protein encoded by this gene is a lysosomal thiol reductase that at low pH can reduce protein disulfide bonds. The enzyme is expressed constitutively in antigen-presenting cells and induced by gamma-interferon in other cell types. This enzyme has an important role in MHC class II-restricted antigen processing.
Antibody Validation
Boster validates all antibodies on WB, IHC, ICC, Immunofluorescence, and ELISA with known positive control and negative samples to ensure specificity and high affinity, including thorough antibody incubations.
Application & Images
Applications
A05754-3 is guaranteed for ELISA, Flow Cytometry, IHC, WB Boster Guarantee
Assay Dilutions Recommendation
The recommendations below provide a starting point for assay optimization. The actual working concentration varies and should be decided by the user.
Western blot, 0.1-0.25μg/ml, Mouse, Rat
Immunohistochemistry (Paraffin-embedded Section), 2-5μg/ml, Mouse, Rat
Flow Cytometry (Fixed), 1-3μg/1x106 cells, Mouse
ELISA, 0.1-0.5μg/ml, -
Positive Control
WB: mouse spleen tissue, mouse thymus tissue, mouse Raw1647 whole cell, mouse ANA-1 whole cell, rat spleen tissue, rat thymus tissue
IHC: mouse liver tissue, mouse spleen tissue, rat liver tissue
FCM: HEPA1-6 cell
Validation Images & Assay Conditions
Click image to see more details
Western blot analysis of GILT/IFI30 using anti-GILT/IFI30 antibody (A05754-3).
Electrophoresis was performed on a 5-20% SDS-PAGE gel at 70V (Stacking gel) / 90V (Resolving gel) for 2-3 hours. The sample well of each lane was loaded with 50ug of sample under reducing conditions.
Lane 1: mouse spleen tissue lysates,
Lane 2: mouse thymus tissue lysates,
Lane 3: mouse Raw164.7 whole cell lysates,
Lane 4: mouse ANA-1 whole cell lysates,
Lane 5: rat spleen tissue lysates,
Lane 6: rat thymus tissue lysates.
After Electrophoresis, proteins were transferred to a Nitrocellulose membrane at 150mA for 50-90 minutes. Blocked the membrane with 5% Non-fat Milk/ TBS for 1.5 hour at RT. The membrane was incubated with rabbit anti-GILT/IFI30 antigen affinity purified polyclonal antibody (Catalog # A05754-3) at 0.25 μg/mL overnight at 4°C, then washed with TBS-0.1%Tween 3 times with 5 minutes each and probed with a goat anti-rabbit IgG-HRP secondary antibody at a dilution of 1:5000 for 1.5 hour at RT. The signal is developed using an Enhanced Chemiluminescent detection (ECL) kit (Catalog # EK1002) with Tanon 5200 system. A specific band was detected for GILT/IFI30 at approximately 25KD. The expected band size for GILT/IFI30 is at 25KD.
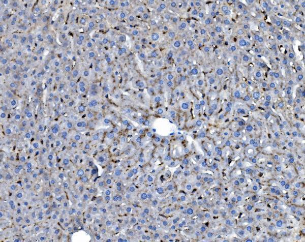
Click image to see more details
IHC analysis of GILT/IFI30 using anti-GILT/IFI30 antibody (A05754-3).
GILT/IFI30 was detected in paraffin-embedded section of mouse liver tissue. Heat mediated antigen retrieval was performed in EDTA buffer (pH8.0, epitope retrieval solution). The tissue section was blocked with 10% goat serum. The tissue section was then incubated with 2μg/ml rabbit anti-GILT/IFI30 Antibody (A05754-3) overnight at 4°C. Biotinylated goat anti-rabbit IgG was used as secondary antibody and incubated for 30 minutes at 37°C. The tissue section was developed using Strepavidin-Biotin-Complex (SABC) (Catalog # SA1022) with DAB as the chromogen.
Click image to see more details
IHC analysis of GILT/IFI30 using anti-GILT/IFI30 antibody (A05754-3).
GILT/IFI30 was detected in paraffin-embedded section of mouse spleen tissue. Heat mediated antigen retrieval was performed in EDTA buffer (pH8.0, epitope retrieval solution). The tissue section was blocked with 10% goat serum. The tissue section was then incubated with 2μg/ml rabbit anti-GILT/IFI30 Antibody (A05754-3) overnight at 4°C. Biotinylated goat anti-rabbit IgG was used as secondary antibody and incubated for 30 minutes at 37°C. The tissue section was developed using Strepavidin-Biotin-Complex (SABC) (Catalog # SA1022) with DAB as the chromogen.
Click image to see more details
IHC analysis of GILT/IFI30 using anti-GILT/IFI30 antibody (A05754-3).
GILT/IFI30 was detected in paraffin-embedded section of rat liver tissue. Heat mediated antigen retrieval was performed in EDTA buffer (pH8.0, epitope retrieval solution). The tissue section was blocked with 10% goat serum. The tissue section was then incubated with 2μg/ml rabbit anti-GILT/IFI30 Antibody (A05754-3) overnight at 4°C. Biotinylated goat anti-rabbit IgG was used as secondary antibody and incubated for 30 minutes at 37°C. The tissue section was developed using Strepavidin-Biotin-Complex (SABC) (Catalog # SA1022) with DAB as the chromogen.
Click image to see more details
Flow Cytometry analysis of HEPA1-6 cells using anti-GILT/IFI30 antibody (A05754-3).
Overlay histogram showing HEPA1-6 cells stained with A05754-3 (Blue line). To facilitate intracellular staining, cells were fixed with 4% paraformaldehyde and permeabilized with permeabilization buffer. The cells were blocked with 10% normal goat serum. And then incubated with rabbit anti-GILT/IFI30 Antibody (A05754-3, 1μg/1x106 cells) for 30 min at 20°C. DyLight®488 conjugated goat anti-rabbit IgG (BA1127, 5-10μg/1x106 cells) was used as secondary antibody for 30 minutes at 20°C. Isotype control antibody (Green line) was rabbit IgG (1μg/1x106) used under the same conditions. Unlabelled sample without incubation with primary antibody and secondary antibody (Red line) was used as a blank control.
Specific Publications For Anti-GILT/IFI30 Antibody Picoband® (A05754-3)
Loading publications
Recommended Resources
Here are featured tools and databases that you might find useful.
- Boster's Pathways Library
- Protein Databases
- Bioscience Research Protocol Resources
- Data Processing & Analysis Software
- Photo Editing Software
- Scientific Literature Resources
- Research Paper Management Tools
- Molecular Biology Software
- Primer Design Tools
- Bioinformatics Tools
- Phylogenetic Tree Analysis
Customer Reviews
Have you used Anti-GILT/IFI30 Antibody Picoband®?
Share your experimental results or join a short interview to earn up to $1,000 in product credits or other rewards.
0 Reviews For Anti-GILT/IFI30 Antibody Picoband®
Customer Q&As
Have a question?
Find answers in Q&As, reviews.
Can't find your answer?
Submit your question
1 Customer Q&As for Anti-GILT/IFI30 Antibody Picoband®
Question
Have you used fluorescent 2nd antibody in A05754-3?
Verified customer
Asked: 2021-11-12
Answer
Our lab hasn't used fluorescent 2nd antibody in the Anti-GILT/IFI30 Antibody Picoband™ (A05754-3). Please run a pilot test with a fluorescent 2nd antibody.
Boster Scientific Support
Answered: 2021-11-13


