Product Info Summary
| SKU: | A30574 |
|---|---|
| Size: | 100ul |
| Reactive Species: | Human, Mouse, Rat |
| Host: | Rabbit |
| Application: | ELISA, IF, IHC, ICC |
Customers Who Bought This Also Bought
Product info
Product Name
Anti-GLB1L3 Antibody
SKU/Catalog Number
A30574
Size
100ul
Form
Liquid
Description
Boster Bio Anti-GLB1L3 Antibody (Catalog# A30574). Tested in IHC, ICC, IF, ELISA applications. This antibody reacts with Human, Mouse, Rat.
Storage & Handling
Store at -20°C for one year. For short-term storage and frequent use, store at 4°C for up to one month. Avoid repeated freeze-thaw cycles.
Cite This Product
Anti-GLB1L3 Antibody (Boster Biological Technology, Pleasanton CA, USA, Catalog # A30574)
Host
Rabbit
Contents
PBS containing 50% glycerol, 0.5% stabilizing protein and 0.02% sodium azide.
This antibody is supplied in a stabilized formulation.
Compatibility with conjugation reactions depends on the chemistry of the conjugation method used.
For conjugation methods that are not compatible with the stabilizing components present in this formulation, a carrier-free antibody format is required.
Clonality
Polyclonal
Isotype
Rabbit IgG
Immunogen
A peptide derived from human BGLL3. Immunogen sequence location: 291-340
Reactive Species
A30574 is reactive to GLB1L3 in Human, Mouse, Rat
Observed Molecular Weight
72 kDa
Calculated molecular weight
74.8 kDa
Antibody Validation
Boster validates all antibodies on WB, IHC, ICC, Immunofluorescence, and ELISA with known positive control and negative samples to ensure specificity and high affinity, including thorough antibody incubations.
Application & Images
Applications
A30574 is guaranteed for ELISA, IF, IHC, ICC Boster Guarantee
Assay Dilutions Recommendation
The recommendations below provide a starting point for assay optimization. The actual working concentration varies and should be decided by the user.
IHC 1:100 - 1:300.
ELISA: 1:40000.
ICC/IF 1:50-200
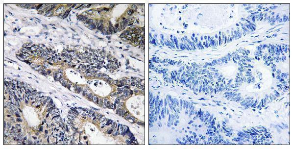
Validation Images & Assay Conditions
Click image to see more details
Immunohistochemistry analysis of paraffin-embedded human colon carcinoma, using GLB1L3 Antibody. The picture on the right is blocked with the synthesized peptide.
Specific Publications For Anti-GLB1L3 Antibody (A30574)
Loading publications
Recommended Resources
Here are featured tools and databases that you might find useful.
- Boster's Pathways Library
- Protein Databases
- Bioscience Research Protocol Resources
- Data Processing & Analysis Software
- Photo Editing Software
- Scientific Literature Resources
- Research Paper Management Tools
- Molecular Biology Software
- Primer Design Tools
- Bioinformatics Tools
- Phylogenetic Tree Analysis
Customer Reviews
Have you used Anti-GLB1L3 Antibody?
Share your experimental results or join a short interview to earn up to $1,000 in product credits or other rewards.
0 Reviews For Anti-GLB1L3 Antibody
Customer Q&As
Have a question?
Find answers in Q&As, reviews.
Can't find your answer?
Submit your question
1 Customer Q&As for Anti-GLB1L3 Antibody
Question
We are currently using anti-GLB1L3 antibody A30574 for human tissue, and we are happy with the IHC results. The species of reactivity given in the datasheet says human. Is it possible that the antibody can work on canine tissues as well?
Verified Customer
Verified customer
Asked: 2020-03-31
Answer
The anti-GLB1L3 antibody (A30574) has not been tested for cross reactivity specifically with canine tissues, though there is a good chance of cross reactivity. We have an innovator award program that if you test this antibody and show it works in canine you can get your next antibody for free. Please contact me if I can help you with anything.
Boster Scientific Support
Answered: 2020-03-31

