Product Info Summary
| SKU: | A03298-1 |
|---|---|
| Size: | 100 μg/vial |
| Reactive Species: | Human, Mouse |
| Host: | Rabbit |
| Application: | ELISA, IHC, WB |
Customers Who Bought This Also Bought
Product info
Product Name
Anti-GSTM3 Antibody Picoband®
SKU/Catalog Number
A03298-1
Size
100 μg/vial
Form
Lyophilized
Description
Boster Bio Anti-GSTM3 Antibody Picoband® catalog # A03298-1. Tested in ELISA, IHC, WB applications. This antibody reacts with Human, Mouse. The brand Picoband indicates this is a premium antibody that guarantees superior quality, high affinity, and strong signals with minimal background in Western blot applications. Only our best-performing antibodies are designated as Picoband, ensuring unmatched performance.
Storage & Handling
Store at -20˚C for one year from date of receipt. After reconstitution, at 4˚C for one month. It can also be aliquotted and stored frozen at -20˚C for six months. Avoid repeated freeze-thaw cycles.
Cite This Product
Anti-GSTM3 Antibody Picoband® (Boster Biological Technology, Pleasanton CA, USA, Catalog # A03298-1)
Host
Rabbit
Contents
Each vial contains 4 mg Trehalose, 0.9 mg NaCl and 0.2 mg Na2HPO4.
Clonality
Polyclonal
Isotype
Rabbit IgG
Immunogen
E. coli-derived human GSTM3 recombinant protein (Position: E93-Q206).
Cross-reactivity
No cross-reactivity with other proteins.
Reactive Species
A03298-1 is reactive to GSTM3 in Human, Mouse
Observed Molecular Weight
27 kDa
Calculated molecular weight
26.6 kDa
Background of GSTM3
Glutathione S-transferase M3 (brain), also known as GSTM3, is an enzyme which in humans is encoded by theGSTM3 gene. Cytosolic and membrane-bound forms of glutathione S-transferase are encoded by two distinct supergene families. At present, eight distinct classes of the soluble cytoplasmic mammalian glutathione S-transferases have been identified: alpha, kappa, mu, omega, pi, sigma, theta and zeta. This gene encodes a glutathione S-transferase that belongs to the mu class. The mu class of enzymes functions in the detoxification of electrophilic compounds, including carcinogens, therapeutic drugs, environmental toxins and products of oxidative stress, by conjugation with glutathione. The genes encoding the mu class of enzymes are organized in a gene cluster on chromosome 1p13.3 and are known to be highly polymorphic. These genetic variations can change an individual's susceptibility to carcinogens and toxins as well as affect the toxicity and efficacy of certain drugs. Mutations of this class mu gene have been linked with a slight increase in a number of cancers, likely due to exposure with environmental toxins.
Antibody Validation
Boster validates all antibodies on WB, IHC, ICC, Immunofluorescence, and ELISA with known positive control and negative samples to ensure specificity and high affinity, including thorough antibody incubations.
Application & Images
Applications
A03298-1 is guaranteed for ELISA, IHC, WB Boster Guarantee
Assay Dilutions Recommendation
The recommendations below provide a starting point for assay optimization. The actual working concentration varies and should be decided by the user.
Western blot, 0.1-0.5μg/ml, Human, Mouse
Immunohistochemistry (Paraffin-embedded Section), 2-5μg/ml, Human
ELISA, 0.1-0.5μg/ml
Positive Control
WB: human Hela whole cell, human MCF-7 whole cell, human SiHa whole cell, human THP-1 whole cell, mouse testis tissue
IHC: human bladder cancer tissue
Validation Images & Assay Conditions
Click image to see more details
Western blot analysis of GSTM3 using anti-GSTM3 antibody (A03298-1).
Electrophoresis was performed on a 12% SDS-PAGE gel at 80V (Stacking gel) / 120V (Resolving gel) for 2 hours. The sample well of each lane was loaded with 30 ug of sample under reducing conditions.
Lane 1: human Hela whole cell lysates,
Lane 2: human MCF-7 whole cell lysates,
Lane 3: human SiHa whole cell lysates,
Lane 4: human THP-1 whole cell lysates,
Lane 5: mouse testis tissue lysates.
After electrophoresis, proteins were transferred to a nitrocellulose membrane at 150 mA for 50-90 minutes. Blocked the membrane with 5% non-fat milk/TBS for 1.5 hour at RT. The membrane was incubated with rabbit anti-GSTM3 antigen affinity purified polyclonal antibody (A03298-1) at 0.5 μg/mL overnight at 4°C, then washed with TBS-0.1%Tween 3 times with 5 minutes each and probed with a goat anti-rabbit IgG-HRP secondary antibody at a dilution of 1:5000 for 1.5 hour at RT. The signal is developed using an ECL Plus Western Blotting Substrate (Catalog # AR1196-200) with Tanon 5200 system. A specific band was detected for GSTM3 at approximately 27 kDa. The expected band size for GSTM3 is at 27 kDa.
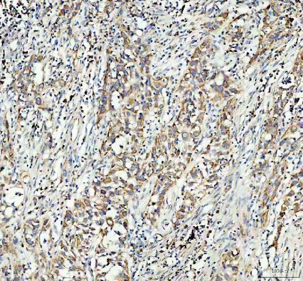
Click image to see more details
IHC analysis of GSTM3 using anti-GSTM3 antibody (A03298-1).
GSTM3 was detected in a paraffin-embedded section of human bladder cancer tissue. Heat mediated antigen retrieval was performed in EDTA buffer (pH 8.0, epitope retrieval solution). The tissue section was blocked with 10% goat serum. The tissue section was then incubated with 2 μg/ml rabbit anti-GSTM3 Antibody (A03298-1) overnight at 4°C. Peroxidase Conjugated Goat Anti-rabbit IgG was used as secondary antibody and incubated for 30 minutes at 37°C. The tissue section was developed using HRP Conjugated Rabbit IgG Super Vision Assay Kit (Catalog # SV0002) with DAB as the chromogen.
Specific Publications For Anti-GSTM3 Antibody Picoband® (A03298-1)
Loading publications
Recommended Resources
Here are featured tools and databases that you might find useful.
- Boster's Pathways Library
- Protein Databases
- Bioscience Research Protocol Resources
- Data Processing & Analysis Software
- Photo Editing Software
- Scientific Literature Resources
- Research Paper Management Tools
- Molecular Biology Software
- Primer Design Tools
- Bioinformatics Tools
- Phylogenetic Tree Analysis
Customer Reviews
Have you used Anti-GSTM3 Antibody Picoband®?
Share your experimental results or join a short interview to earn up to $1,000 in product credits or other rewards.
0 Reviews For Anti-GSTM3 Antibody Picoband®
Customer Q&As
Have a question?
Find answers in Q&As, reviews.
Can't find your answer?
Submit your question
4 Customer Q&As for Anti-GSTM3 Antibody Picoband®
Question
Is a blocking peptide available for product anti-GSTM3 antibody (A03298-1)?
Verified Customer
Verified customer
Asked: 2018-12-31
Answer
We do provide the blocking peptide for product anti-GSTM3 antibody (A03298-1). If you would like to place an order for it please contact support@bosterbio.com and make a special request.
Boster Scientific Support
Answered: 2018-12-31
Question
Does anti-GSTM3 antibody A03298-1 work on zebrafish WB with testis?
G. Collins
Verified customer
Asked: 2018-04-03
Answer
Our lab technicians have not tested anti-GSTM3 antibody A03298-1 on zebrafish. You can run a BLAST between zebrafish and the immunogen sequence of anti-GSTM3 antibody A03298-1 to see if they may cross-react. If the sequence homology is close, then you can perform a pilot test. Keep in mind that since we have not validated zebrafish samples, this use of the antibody is not covered by our guarantee. However we have an innovator award program that if you test this antibody and show it works in zebrafish testis in WB, you can get your next antibody for free.
Boster Scientific Support
Answered: 2018-04-03
Question
We are currently using anti-GSTM3 antibody A03298-1 for mouse tissue, and we are happy with the IHC results. The species of reactivity given in the datasheet says human, mouse, rat. Is it likely that the antibody can work on horse tissues as well?
Verified Customer
Verified customer
Asked: 2018-02-28
Answer
The anti-GSTM3 antibody (A03298-1) has not been tested for cross reactivity specifically with horse tissues, though there is a good chance of cross reactivity. We have an innovator award program that if you test this antibody and show it works in horse you can get your next antibody for free. Please contact me if I can help you with anything.
Boster Scientific Support
Answered: 2018-02-28
Question
Is this A03298-1 anti-GSTM3 antibody reactive to the isotypes of GSTM3?
K. Patel
Verified customer
Asked: 2015-10-22
Answer
The immunogen of A03298-1 anti-GSTM3 antibody is E. coli-derived human GSTM3 recombinant protein (Position: E93-Q206). Could you tell me which isotype you are interested in so I can help see if the immunogen is part of this isotype?
Boster Scientific Support
Answered: 2015-10-22


