Product Info Summary
| SKU: | A06380 |
|---|---|
| Size: | 100ul |
| Reactive Species: | Human, Mouse |
| Host: | Rabbit |
| Application: | ELISA, IF, IHC, WB |
Customers Who Bought This Also Bought
Product info
Product Name
Anti-JIP-3 MAPK8IP3 Antibody
SKU/Catalog Number
A06380
Size
100ul
Form
Liquid
Description
Boster Bio Anti-JIP-3 MAPK8IP3 Antibody catalog # A06380. Tested in ELISA, IF, IHC, WB applications. This antibody reacts with Human, Mouse.
Storage & Handling
Store at -20°C for one year. For short term storage and frequent use, store at 4°C for up to one month. Avoid repeated freeze-thaw cycles.
Cite This Product
Anti-JIP-3 MAPK8IP3 Antibody (Boster Biological Technology, Pleasanton CA, USA, Catalog # A06380)
Host
Rabbit
Contents
Liquid in PBS containing 50% glycerol, 0.5% stabilizing protein and 0.02% sodium azide.
*This antibody is supplied in a stabilized formulation.
Compatibility with conjugation reactions depends on the chemistry of the conjugation method used.
For conjugation methods that are not compatible with the stabilizing components present in this formulation, a carrier-free antibody format is required.
Clonality
Polyclonal
Isotype
IgG
Immunogen
The antiserum was produced against synthesized peptide derived from human JIP3. AA range:621-670
Reactive Species
A06380 is reactive to MAPK8IP3 in Human, Mouse
Calculated molecular weight
147.5 kDa
Antibody Validation
Boster validates all antibodies on WB, IHC, ICC, Immunofluorescence, and ELISA with known positive control and negative samples to ensure specificity and high affinity, including thorough antibody incubations.
Application & Images
Applications
A06380 is guaranteed for ELISA, IF, IHC, WB Boster Guarantee
Assay Dilutions Recommendation
The recommendations below provide a starting point for assay optimization. The actual working concentration varies and should be decided by the user.
WB 1:500-1:2000
IHC 1:100-1:300
IF 1:200-1:1000
ELISA 1:20000
Validation Images & Assay Conditions
Click image to see more details
Western blotting validation for Anti-JIP-3 MAPK8IP3 Antibody A06380
Western Blot (WB) analysis of specific cells using JIP-3 polyclonal antibody.Electrophoresis was performed on a SDS-PAGE gel. To determine SDS-PAGE gel concentration
Click image to see more details
Immunohistochemistry validation of MAPK8IP3 using Anti-JIP-3 MAPK8IP3 Antibody (A06380).
Immunohistochemical analysis of paraffin-embedded human lung cancer. Antibody was diluted at 1:100 (4°C
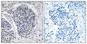
Click image to see more details
Immunohistochemistry validation of MAPK8IP3 using Anti-JIP-3 MAPK8IP3 Antibody (A06380).
For more protocol information of IHC
Specific Publications For Anti-JIP-3 MAPK8IP3 Antibody (A06380)
Loading publications
Recommended Resources
Here are featured tools and databases that you might find useful.
- Boster's Pathways Library
- Protein Databases
- Bioscience Research Protocol Resources
- Data Processing & Analysis Software
- Photo Editing Software
- Scientific Literature Resources
- Research Paper Management Tools
- Molecular Biology Software
- Primer Design Tools
- Bioinformatics Tools
- Phylogenetic Tree Analysis
Customer Reviews
Have you used Anti-JIP-3 MAPK8IP3 Antibody?
Share your experimental results or join a short interview to earn up to $1,000 in product credits or other rewards.
0 Reviews For Anti-JIP-3 MAPK8IP3 Antibody
Customer Q&As
Have a question?
Find answers in Q&As, reviews.
Can't find your answer?
Submit your question

