Product Info Summary
| SKU: | P02586 |
|---|---|
| Size: | 100ul |
| Reactive Species: | Human, Mouse, Rat |
| Host: | Rabbit |
| Application: | ELISA, IF, IHC, ICC, WB |
Customers Who Bought This Also Bought
Product info
Product Name
Anti-Phospho PLD2 (Tyr169) Antibody
SKU/Catalog Number
P02586
Size
100ul
Form
Liquid
Description
Boster Bio Anti-Phospho PLD2 (Tyr169) Antibody (Catalog# P02586). Tested in WB, IHC, ICC, IF, ELISA applications. This antibody reacts with Human, Mouse, Rat.
Storage & Handling
Store at -20°C for one year. For short-term storage and frequent use, store at 4°C for up to one month. Avoid repeated freeze-thaw cycles.
Cite This Product
Anti-Phospho PLD2 (Tyr169) Antibody (Boster Biological Technology, Pleasanton CA, USA, Catalog # P02586)
Host
Rabbit
Contents
PBS containing 50% glycerol, 0.5% stabilizing protein and 0.02% sodium azide.
This antibody is supplied in a stabilized formulation.
Compatibility with conjugation reactions depends on the chemistry of the conjugation method used.
For conjugation methods that are not compatible with the stabilizing components present in this formulation, a carrier-free antibody format is required.
Clonality
Polyclonal
Isotype
Rabbit IgG
Immunogen
A peptide derived from human PLD2 around the phosphorylation site of Tyr169. Immunogen sequence location: 136-185
Reactive Species
P02586 is reactive to PLD2 in Human, Mouse, Rat
Observed Molecular Weight
72 kDa
Calculated molecular weight
106.0 kDa
Antibody Validation
Boster validates all antibodies on WB, IHC, ICC, Immunofluorescence, and ELISA with known positive control and negative samples to ensure specificity and high affinity, including thorough antibody incubations.
Application & Images
Applications
P02586 is guaranteed for ELISA, IF, IHC, ICC, WB Boster Guarantee
Assay Dilutions Recommendation
The recommendations below provide a starting point for assay optimization. The actual working concentration varies and should be decided by the user.
WB 1:500 - 1:2000.
IHC 1:100 - 1:300.
ELISA: 1:10000.
ICC/IF 1:50-200
Validation Images & Assay Conditions
Click image to see more details
Enzyme-Linked Immunosorbent Assay (Phospho-ELISA) for Immunogen Phosphopeptide (Phospho-left) and Non-Phosphopeptide (Phospho-right), using PLD2 (Phospho-Tyr169) Antibody
Click image to see more details
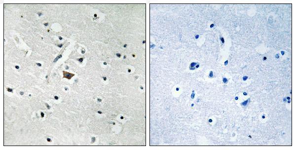
Immunohistochemistry analysis of paraffin-embedded human brain, using PLD2 (Phospho-Tyr169) Antibody. The picture on the right is blocked with the phospho peptide.
Click image to see more details
Western blot analysis of lysates from Jurkat cells treated with TNF 20ng/ml 30', using PLD2 (Phospho-Tyr169) Antibody. The lane on the right is blocked with the phospho peptide.
Specific Publications For Anti-Phospho PLD2 (Tyr169) Antibody (P02586)
Loading publications
Recommended Resources
Here are featured tools and databases that you might find useful.
- Boster's Pathways Library
- Protein Databases
- Bioscience Research Protocol Resources
- Data Processing & Analysis Software
- Photo Editing Software
- Scientific Literature Resources
- Research Paper Management Tools
- Molecular Biology Software
- Primer Design Tools
- Bioinformatics Tools
- Phylogenetic Tree Analysis
Customer Reviews
Have you used Anti-Phospho PLD2 (Tyr169) Antibody?
Share your experimental results or join a short interview to earn up to $1,000 in product credits or other rewards.
0 Reviews For Anti-Phospho PLD2 (Tyr169) Antibody
Customer Q&As
Have a question?
Find answers in Q&As, reviews.
Can't find your answer?
Submit your question
7 Customer Q&As for Anti-Phospho PLD2 (Tyr169) Antibody
Question
Please see the WB image, lot number and protocol we used for brain using anti-Phospho PLD2 (Tyr169) antibody P02586. Please let me know if you require anything else.
Verified Customer
Verified customer
Asked: 2019-11-13
Answer
Thank you very much for the data. Our lab team are working to resolve this as quickly as possible, and we appreciate your patience and understanding! You have provided everything we needed. Please let me know if there is anything you need in the meantime.
Boster Scientific Support
Answered: 2019-11-13
Question
Does anti-Phospho PLD2 (Tyr169) antibody P02586 work on horse WB with skin uterus?
J. Singh
Verified customer
Asked: 2019-07-30
Answer
Our lab technicians have not tested anti-Phospho PLD2 (Tyr169) antibody P02586 on horse. You can run a BLAST between horse and the immunogen sequence of anti-Phospho PLD2 (Tyr169) antibody P02586 to see if they may cross-react. If the sequence homology is close, then you can perform a pilot test. Keep in mind that since we have not validated horse samples, this use of the antibody is not covered by our guarantee. However we have an innovator award program that if you test this antibody and show it works in horse skin uterus in WB, you can get your next antibody for free.
Boster Scientific Support
Answered: 2019-07-30
Question
Does anti-Phospho PLD2 (Tyr169) antibody P02586 work for IHC with brain?
Verified Customer
Verified customer
Asked: 2019-01-31
Answer
According to the expression profile of brain, PLD2 is highly expressed in brain. So, it is likely that anti-Phospho PLD2 (Tyr169) antibody P02586 will work for IHC with brain.
Boster Scientific Support
Answered: 2019-01-31
Question
Is there a BSA free version of anti-Phospho PLD2 (Tyr169) antibody P02586 available?
E. Anderson
Verified customer
Asked: 2018-12-24
Answer
I appreciate your recent telephone inquiry. I can confirm that some lots of this anti-Phospho PLD2 (Tyr169) antibody P02586 are BSA free. For now, these lots are available and we can make a BSA free formula for you free of charge. It will take 3 extra days to prepare. If you require this antibody BSA free again in future, please do not hesitate to contact me and I will be pleased to check which lots we have in stock that are BSA free.
Boster Scientific Support
Answered: 2018-12-24
Question
Will P02586 anti-Phospho PLD2 (Tyr169) antibody work on parafin embedded sections? If so, which fixation method do you recommend we use (PFA, paraformaldehyde, other)?
Verified Customer
Verified customer
Asked: 2018-11-08
Answer
You can see on the product datasheet, P02586 anti-Phospho PLD2 (Tyr169) antibody as been validated on IHC. It is best to use PFA for fixation because it has better tissue penetration ability. PFA needs to be prepared fresh before use. Long term stored PFA turns into formalin, as the PFA molecules congregate and become formalin.
Boster Scientific Support
Answered: 2018-11-08
Question
I see that the anti-Phospho PLD2 (Tyr169) antibody P02586 works with IHC, what is the protocol used to produce the result images on the product page?
Verified Customer
Verified customer
Asked: 2017-11-13
Answer
You can find protocols for IHC on the "support/technical resources" section of our navigation menu. If you have any further questions, please send an email to support@bosterbio.com
Boster Scientific Support
Answered: 2017-11-13
Question
We are currently using anti-Phospho PLD2 (Tyr169) antibody P02586 for rat tissue, and we are happy with the IHC results. The species of reactivity given in the datasheet says human, mouse, rat. Is it possible that the antibody can work on dog tissues as well?
M. Edwards
Verified customer
Asked: 2013-07-22
Answer
The anti-Phospho PLD2 (Tyr169) antibody (P02586) has not been validated for cross reactivity specifically with dog tissues, though there is a good chance of cross reactivity. We have an innovator award program that if you test this antibody and show it works in dog you can get your next antibody for free. Please contact me if I can help you with anything.
Boster Scientific Support
Answered: 2013-07-22

