Product Info Summary
| SKU: | A14178 |
|---|---|
| Size: | 100μl |
| Reactive Species: | Human, Mouse, Rat |
| Host: | Rabbit |
| Application: | ELISA, IF, IHC, WB |
Customers Who Bought This Also Bought
Product info
Product Name
Anti-RBM34 Antibody
SKU/Catalog Number
A14178
Size
100μl
Form
Liquid
Description
Boster Bio Anti-RBM34 Antibody catalog # A14178. Tested in WB, IHC, IF, ELISA applications. This antibody reacts with Human, Mouse, Rat.
Storage & Handling
Store at -20°C for one year. For short term storage and frequent use, store at 4°C for up to one month. Avoid repeated freeze-thaw cycles.
Cite This Product
Anti-RBM34 Antibody (Boster Biological Technology, Pleasanton CA, USA, Catalog # A14178)
Host
Rabbit
Contents
Liquid in PBS containing 50% glycerol, 0.5% stabilizing protein and 0.02% sodium azide.
This antibody is supplied in a stabilized formulation.
Compatibility with conjugation reactions depends on the chemistry of the conjugation method used.
For conjugation methods that are not compatible with the stabilizing components present in this formulation, a carrier-free antibody format is required.
Clonality
Polyclonal
Isotype
IgG
Immunogen
The antiserum was produced against synthesized peptide derived from human RBM34. AA range:345-394
Reactive Species
A14178 is reactive to RBM34 in Human, Mouse, Rat
Calculated molecular weight
48.6 kDa
Antibody Validation
Boster validates all antibodies on WB, IHC, ICC, Immunofluorescence, and ELISA with known positive control and negative samples to ensure specificity and high affinity, including thorough antibody incubations.
Application & Images
Applications
A14178 is guaranteed for ELISA, IF, IHC, WB Boster Guarantee
Assay Dilutions Recommendation
The recommendations below provide a starting point for assay optimization. The actual working concentration varies and should be decided by the user.
WB 1:500-1:2000
IHC 1:100-1:300
ELISA 1:20000
IF 1:50-200
Validation Images & Assay Conditions
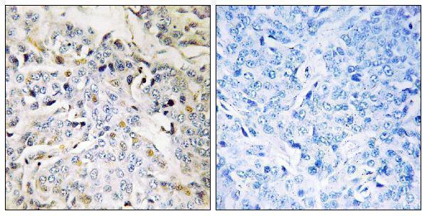
Click image to see more details
Immunohistochemistry analysis of paraffin-embedded human breast carcinoma tissue, using RBM34 Antibody. The picture on the right is blocked with the synthesized peptide.
Click image to see more details
Western Blot analysis of 3T3 cells using RBM34 Polyclonal Antibody cells nucleus extracted by Minute TM Cytoplasmic and Nuclear Fractionation kit .
Specific Publications For Anti-RBM34 Antibody (A14178)
Loading publications
Recommended Resources
Here are featured tools and databases that you might find useful.
- Boster's Pathways Library
- Protein Databases
- Bioscience Research Protocol Resources
- Data Processing & Analysis Software
- Photo Editing Software
- Scientific Literature Resources
- Research Paper Management Tools
- Molecular Biology Software
- Primer Design Tools
- Bioinformatics Tools
- Phylogenetic Tree Analysis
Customer Reviews
Have you used Anti-RBM34 Antibody?
Share your experimental results or join a short interview to earn up to $1,000 in product credits or other rewards.
0 Reviews For Anti-RBM34 Antibody
Customer Q&As
Have a question?
Find answers in Q&As, reviews.
Can't find your answer?
Submit your question
5 Customer Q&As for Anti-RBM34 Antibody
Question
I see that the anti-RBM34 antibody A14178 works with WB, what is the protocol used to produce the result images on the product page?
Verified Customer
Verified customer
Asked: 2020-01-29
Answer
You can find protocols for WB on the "support/technical resources" section of our navigation menu. If you have any further questions, please send an email to support@bosterbio.com
Boster Scientific Support
Answered: 2020-01-29
Question
Is a blocking peptide available for product anti-RBM34 antibody (A14178)?
Verified Customer
Verified customer
Asked: 2019-10-02
Answer
We do provide the blocking peptide for product anti-RBM34 antibody (A14178). If you would like to place an order for it please contact support@bosterbio.com and make a special request.
Boster Scientific Support
Answered: 2019-10-02
Question
I was wanting to use your anti-RBM34 antibody for WB for mouse bone marrow on frozen tissues, but I want to know if it has been tested for this particular application. Has this antibody been tested and is this antibody a good choice for mouse bone marrow identification?
Verified Customer
Verified customer
Asked: 2019-05-29
Answer
As indicated on the product datasheet, A14178 anti-RBM34 antibody has been tested for WB on human, mouse, rat tissues. We have an innovator award program that if you test this antibody and show it works in mouse bone marrow in IHC-frozen, you can get your next antibody for free.
Boster Scientific Support
Answered: 2019-05-29
Question
Will A14178 anti-RBM34 antibody work on parafin embedded sections? If so, which fixation method do you recommend we use (PFA, paraformaldehyde, other)?
Verified Customer
Verified customer
Asked: 2018-04-30
Answer
It shows on the product datasheet, A14178 anti-RBM34 antibody as been tested on WB. It is best to use PFA for fixation because it has better tissue penetration ability. PFA needs to be prepared fresh before use. Long term stored PFA turns into formalin, as the PFA molecules congregate and become formalin.
Boster Scientific Support
Answered: 2018-04-30
Question
We are currently using anti-RBM34 antibody A14178 for rat tissue, and we are happy with the WB results. The species of reactivity given in the datasheet says human, mouse, rat. Is it true that the antibody can work on monkey tissues as well?
P. Li
Verified customer
Asked: 2013-10-09
Answer
The anti-RBM34 antibody (A14178) has not been tested for cross reactivity specifically with monkey tissues, but there is a good chance of cross reactivity. We have an innovator award program that if you test this antibody and show it works in monkey you can get your next antibody for free. Please contact me if I can help you with anything.
Boster Scientific Support
Answered: 2013-10-09

