Product Info Summary
| SKU: | A11528 |
|---|---|
| Size: | 100ul |
| Reactive Species: | Human, Mouse |
| Host: | Rabbit |
| Application: | ELISA, IF, IHC, ICC, WB |
Customers Who Bought This Also Bought
Product info
Product Name
Anti-RCBTB1/Clld7 Antibody
SKU/Catalog Number
A11528
Size
100ul
Form
Liquid
Description
Boster Bio Anti-RCBTB1/Clld7 Antibody (Catalog# A11528). Tested in WB, IHC, ICC, IF, ELISA applications. This antibody reacts with Human, Mouse.
Storage & Handling
Store at -20°C for one year. For short-term storage and frequent use, store at 4°C for up to one month. Avoid repeated freeze-thaw cycles.
Cite This Product
Anti-RCBTB1/Clld7 Antibody (Boster Biological Technology, Pleasanton CA, USA, Catalog # A11528)
Host
Rabbit
Contents
PBS containing 50% glycerol, 0.5% stabilizing protein and 0.02% sodium azide.
This antibody is supplied in a stabilized formulation.
Compatibility with conjugation reactions depends on the chemistry of the conjugation method used.
For conjugation methods that are not compatible with the stabilizing components present in this formulation, a carrier-free antibody format is required.
Clonality
Polyclonal
Isotype
Rabbit IgG
Immunogen
A peptide derived from human RCBTB1. Immunogen sequence location: 251-300
Reactive Species
A11528 is reactive to RCBTB1 in Human, Mouse
Observed Molecular Weight
72 kDa
Calculated molecular weight
58.3 kDa
Antibody Validation
Boster validates all antibodies on WB, IHC, ICC, Immunofluorescence, and ELISA with known positive control and negative samples to ensure specificity and high affinity, including thorough antibody incubations.
Application & Images
Applications
A11528 is guaranteed for ELISA, IF, IHC, ICC, WB Boster Guarantee
Assay Dilutions Recommendation
The recommendations below provide a starting point for assay optimization. The actual working concentration varies and should be decided by the user.
WB 1:500 - 1:2000.
IHC 1:100 - 1:300.
ELISA: 1:20000.
ICC/IF 1:50-200
Validation Images & Assay Conditions
Click image to see more details
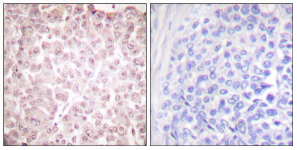
Immunohistochemistry analysis of paraffin-embedded human breast carcinoma tissue, using RCBTB1 Antibody. The picture on the right is blocked with the synthesized peptide.
Click image to see more details
Western blot analysis of lysates from LOVO cells, using RCBTB1 Antibody. The lane on the right is blocked with the synthesized peptide.
Specific Publications For Anti-RCBTB1/Clld7 Antibody (A11528)
Loading publications
Recommended Resources
Here are featured tools and databases that you might find useful.
- Boster's Pathways Library
- Protein Databases
- Bioscience Research Protocol Resources
- Data Processing & Analysis Software
- Photo Editing Software
- Scientific Literature Resources
- Research Paper Management Tools
- Molecular Biology Software
- Primer Design Tools
- Bioinformatics Tools
- Phylogenetic Tree Analysis
Customer Reviews
Have you used Anti-RCBTB1/Clld7 Antibody?
Share your experimental results or join a short interview to earn up to $1,000 in product credits or other rewards.
0 Reviews For Anti-RCBTB1/Clld7 Antibody
Customer Q&As
Have a question?
Find answers in Q&As, reviews.
Can't find your answer?
Submit your question
4 Customer Q&As for Anti-RCBTB1/Clld7 Antibody
Question
I appreciate helping with my inquiry over the phone. Here are the WB image, lot number and protocol we used for uterus using anti-RCBTB1/Clld7 antibody A11528. Let me know if you need anything else.
D. Taylor
Verified customer
Asked: 2020-02-25
Answer
Thanks for the data. You have provided everything we needed. Our lab team are working to resolve your inquiry as quickly as possible, and we appreciate your patience and understanding! Please let me know if there is anything you need in the meantime.
Boster Scientific Support
Answered: 2020-02-25
Question
I was wanting to use your anti-RCBTB1/Clld7 antibody for WB for human uterus on frozen tissues, but I want to know if it has been tested for this particular application. Has this antibody been tested and is this antibody a good choice for human uterus identification?
Verified Customer
Verified customer
Asked: 2020-01-02
Answer
As indicated on the product datasheet, A11528 anti-RCBTB1/Clld7 antibody has been tested for IHC, WB on human, mouse tissues. We have an innovator award program that if you test this antibody and show it works in human uterus in IHC-frozen, you can get your next antibody for free.
Boster Scientific Support
Answered: 2020-01-02
Question
Would anti-RCBTB1/Clld7 antibody A11528 work for WB with uterus?
A. Lewis
Verified customer
Asked: 2017-06-19
Answer
According to the expression profile of uterus, RCBTB1 is highly expressed in uterus. So, it is likely that anti-RCBTB1/Clld7 antibody A11528 will work for WB with uterus.
Boster Scientific Support
Answered: 2017-06-19
Question
We are currently using anti-RCBTB1/Clld7 antibody A11528 for human tissue, and we are satisfied with the IHC results. The species of reactivity given in the datasheet says human, mouse. Is it true that the antibody can work on feline tissues as well?
C. Kulkarni
Verified customer
Asked: 2013-05-22
Answer
The anti-RCBTB1/Clld7 antibody (A11528) has not been tested for cross reactivity specifically with feline tissues, but there is a good chance of cross reactivity. We have an innovator award program that if you test this antibody and show it works in feline you can get your next antibody for free. Please contact me if I can help you with anything.
Boster Scientific Support
Answered: 2013-05-22

