Product Info Summary
| SKU: | A06116 |
|---|---|
| Size: | 100ul |
| Reactive Species: | Human, Mouse |
| Host: | Rabbit |
| Application: | ELISA, IF, IHC, ICC, WB |
Customers Who Bought This Also Bought
Product info
Product Name
Anti-RHG1 ARHGAP1 Antibody
SKU/Catalog Number
A06116
Size
100ul
Form
Liquid
Description
Boster Bio Anti-RHG1 ARHGAP1 Antibody (Catalog# A06116). Tested in WB, IHC, ICC, IF, ELISA applications. This antibody reacts with Human, Mouse.
Storage & Handling
Store at -20°C for one year. For short-term storage and frequent use, store at 4°C for up to one month. Avoid repeated freeze-thaw cycles.
Cite This Product
Anti-RHG1 ARHGAP1 Antibody (Boster Biological Technology, Pleasanton CA, USA, Catalog # A06116)
Host
Rabbit
Contents
PBS containing 50% glycerol, 0.5% stabilizing protein and 0.02% sodium azide.
*This antibody is supplied in a stabilized formulation.
Compatibility with conjugation reactions depends on the chemistry of the conjugation method used.
For conjugation methods that are not compatible with the stabilizing components present in this formulation, a carrier-free antibody format is required.
Clonality
Polyclonal
Isotype
Rabbit IgG
Immunogen
A peptide derived from human RHG1. Immunogen sequence location: 189 - 238
Reactive Species
A06116 is reactive to ARHGAP1 in Human, Mouse
Observed Molecular Weight
72 kDa
Calculated molecular weight
50.4 kDa
Antibody Validation
Boster validates all antibodies on WB, IHC, ICC, Immunofluorescence, and ELISA with known positive control and negative samples to ensure specificity and high affinity, including thorough antibody incubations.
Application & Images
Applications
A06116 is guaranteed for ELISA, IF, IHC, ICC, WB Boster Guarantee
Assay Dilutions Recommendation
The recommendations below provide a starting point for assay optimization. The actual working concentration varies and should be decided by the user.
WB 1:500 - 1:2000.
IHC 1:100 - 1:300.
ELISA: 1:10000.
ICC/IF 1:50-200
Validation Images & Assay Conditions
Click image to see more details
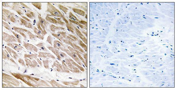
Immunohistochemistry analysis of paraffin-embedded human heart tissue, using RHG1 Antibody. The picture on the right is blocked with the synthesized peptide.
Click image to see more details
Western blot analysis of lysates from HeLa and HUVEC cells, using RHG1 Antibody. The lane on the right is blocked with the synthesized peptide.
Specific Publications For Anti-RHG1 ARHGAP1 Antibody (A06116)
Loading publications
Recommended Resources
Here are featured tools and databases that you might find useful.
- Boster's Pathways Library
- Protein Databases
- Bioscience Research Protocol Resources
- Data Processing & Analysis Software
- Photo Editing Software
- Scientific Literature Resources
- Research Paper Management Tools
- Molecular Biology Software
- Primer Design Tools
- Bioinformatics Tools
- Phylogenetic Tree Analysis
Customer Reviews
Have you used Anti-RHG1 ARHGAP1 Antibody?
Share your experimental results or join a short interview to earn up to $1,000 in product credits or other rewards.
0 Reviews For Anti-RHG1 ARHGAP1 Antibody
Customer Q&As
Have a question?
Find answers in Q&As, reviews.
Can't find your answer?
Submit your question
1 Customer Q&As for Anti-RHG1 ARHGAP1 Antibody
Question
We are currently using anti-RHG1 antibody A06116 for human tissue, and we are content with the WB results. The species of reactivity given in the datasheet says human, mouse. Is it likely that the antibody can work on horse tissues as well?
Verified Customer
Verified customer
Asked: 2017-12-01
Answer
The anti-RHG1 antibody (A06116) has not been validated for cross reactivity specifically with horse tissues, but there is a good chance of cross reactivity. We have an innovator award program that if you test this antibody and show it works in horse you can get your next antibody for free. Please contact me if I can help you with anything.
Boster Scientific Support
Answered: 2017-12-01

