Product Info Summary
| SKU: | A06543 |
|---|---|
| Size: | 100ul |
| Reactive Species: | Human, Mouse, Rat |
| Host: | Rabbit |
| Application: | IF, IHC, ICC, WB |
Customers Who Bought This Also Bought
Product info
Product Name
Anti-SECISBP2 Antibody
SKU/Catalog Number
A06543
Size
100ul
Form
Liquid
Description
Boster Bio Anti-SECISBP2 Antibody catalog # A06543. Tested in WB,IHC,ICC/IF applications. This antibody reacts with Human,Mouse,Rat.
Storage & Handling
Store at -20°C for one year. For short term storage and frequent use, store at 4°C for up to one month. Avoid repeated freeze-thaw cycles.
Cite This Product
Anti-SECISBP2 Antibody (Boster Biological Technology, Pleasanton CA, USA, Catalog # A06543)
Host
Rabbit
Contents
Rabbit IgG, 1mg/ml in PBS with 0.02% sodium azide, 50% glycerol, pH7.2
Clonality
Polyclonal
Isotype
IgG
Immunogen
Recombinant fusion protein of human SECISBP2(NP_076982.3).
Cross-reactivity
No cross reactivity with other proteins.
Reactive Species
A06543 is reactive to SECISBP2 in Human, Mouse, Rat
Calculated molecular weight
95.5 kDa
Antibody Validation
Boster validates all antibodies on WB, IHC, ICC, Immunofluorescence, and ELISA with known positive control and negative samples to ensure specificity and high affinity, including thorough antibody incubations.
Application & Images
Applications
A06543 is guaranteed for IF, IHC, ICC, WB Boster Guarantee
Assay Dilutions Recommendation
The recommendations below provide a starting point for assay optimization. The actual working concentration varies and should be decided by the user.
WB: 1:500-1:2000
IHC: 1:50-1:200
ICC/IF: 1:50-1:100
Validation Images & Assay Conditions
Click image to see more details
Western blot analysis of extracts of various cell lines, using SECISBP2 antibody at 1:500 dilution.
Secondary antibody: HRP Goat Anti-Rabbit IgG at 1:10000 dilution.
Lysates/proteins: 25ug per lane.
Blocking buffer: 3% nonfat dry milk in TBST.
Detection: ECL Basic Kit .
Exposure time: 180s.
Click image to see more details
Immunofluorescence analysis of HeLa cells using SECISBP2 Rabbit pAb at dilution of 1:50 . Blue: DAPI for nuclear staining.
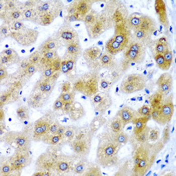
Click image to see more details
Immunohistochemistry of paraffin-embedded human liver damage using SECISBP2 antibody at dilution of 1:200 .Perform microwave antigen retrieval with 10 mM PBS buffer pH 7.2 before commencing with IHC staining protocol.
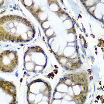
Click image to see more details
Immunohistochemistry of paraffin-embedded human colon carcinoma using SECISBP2 antibody at dilution of 1:200 .Perform microwave antigen retrieval with 10 mM PBS buffer pH 7.2 before commencing with IHC staining protocol.
Specific Publications For Anti-SECISBP2 Antibody (A06543)
Loading publications
Recommended Resources
Here are featured tools and databases that you might find useful.
- Boster's Pathways Library
- Protein Databases
- Bioscience Research Protocol Resources
- Data Processing & Analysis Software
- Photo Editing Software
- Scientific Literature Resources
- Research Paper Management Tools
- Molecular Biology Software
- Primer Design Tools
- Bioinformatics Tools
- Phylogenetic Tree Analysis
Customer Reviews
Have you used Anti-SECISBP2 Antibody?
Share your experimental results or join a short interview to earn up to $1,000 in product credits or other rewards.
0 Reviews For Anti-SECISBP2 Antibody
Customer Q&As
Have a question?
Find answers in Q&As, reviews.
Can't find your answer?
Submit your question

