This website uses cookies to ensure you get the best experience on our website.
- Table of Contents
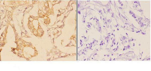
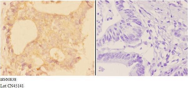
Facts about Disintegrin and metalloproteinase domain-containing protein 28.
.
| Human | |
|---|---|
| Gene Name: | ADAM28 |
| Uniprot: | Q9UKQ2 |
| Entrez: | 10863 |

| Belongs to: |
|---|
| No superfamily |

a disintegrin and metalloproteinase domain 28; ADAM metallopeptidase domain 28; ADAM23MDC-L; ADAM28; disintegrin and metalloproteinase domain-containing protein 28; Dtgn1; EC 3.4.24; EC 3.4.24.-; eMDC II; eMDCII; Epididymial metalloproteinase-like, disintegrin-like, and cysteine-rich proteinII; MDCL; MDCLADAM 28; MDC-Lm; MDC-Ls; Metalloproteinase-like, disintegrin-like, and cysteine-rich protein L; metalloproteinase-like, disintegrin-like, and cysteine-rich protein-L; Protein-L
Mass (kDA):
87.148 kDA

| Human | |
|---|---|
| Location: | 8p21.2 |
| Sequence: | 8; NC_000008.11 (24294040..24359014) |
Expressed predominantly in secondary lymphoid tissues, such as lymph node, spleen, small intestine, stomach, colon, appendix and trachea. The lymphocyte population is responsible for expression of this protein in these tissues. Isoform 2 is expressed preferentially in spleen.
[Isoform 1]: Cell membrane; Single-pass type I membrane protein.; [Isoform 2]: Secreted.





PMID: 10506182 by Roberts C.M., et al. MDC-L, a novel metalloprotease disintegrin cysteine-rich protein family member expressed by human lymphocytes.
PMID: 10587367 by Jury J.A., et al. Identification, sequence analysis and expression of transcripts encoding a putative metalloproteinase, eMDC II, in human and macaque epididymis.