This website uses cookies to ensure you get the best experience on our website.
- Table of Contents
1 Citations 5 Q&As
14 Citations 14 Q&As
7 Citations 14 Q&As
7 Citations 15 Q&As
6 Citations
1 Citations
32 Citations
15 Citations
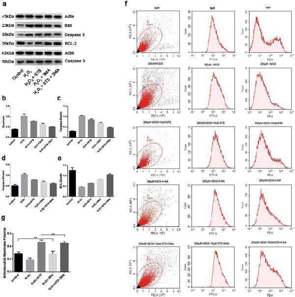
Facts about Caspase-9.
Promotes DNA damage-induced apoptosis in a ABL1/c-Abl-dependent method. Proteolytically cleaves poly(ADP- ribose) polymerase (PARP).
| Human | |
|---|---|
| Gene Name: | CASP9 |
| Uniprot: | P55211 |
| Entrez: | 842 |

| Belongs to: |
|---|
| peptidase C14A family |

APAF-3APAF3; apoptotic protease activating factor 3; Apoptotic protease Mch-6; Apoptotic protease-activating factor 3; CASP9; CASP-9; caspase 9, apoptosis-related cysteine peptidase; Caspase9; Caspase-9; EC 3.4.22.62; ICE-LAP6CASPASE-9c; ICE-like apoptotic protease 6; MCH6apoptosis-related cysteine protease
Mass (kDA):
46.281 kDA

| Human | |
|---|---|
| Location: | 1p36.21 |
| Sequence: | 1; NC_000001.11 (15491401..15524912, complement) |
Ubiquitous, with highest expression in the heart, moderate expression in liver, skeletal muscle, and pancreas. Low levels in all other tissues. Within the heart, specifically expressed in myocytes.





PMID: 8663294 by Duan H., et al. ICE-LAP6, a novel member of the ICE/Ced-3 gene family, is activated by the cytotoxic T cell protease granzyme B.
PMID: 8900201 by Srinivasula S.M., et al. The Ced-3/interleukin 1beta converting enzyme-like homolog Mch6 and the lamin-cleaving enzyme Mch2alpha are substrates for the apoptotic mediator CPP32.
*Showing only the more recent 20. More publications can be found for each product on its corresponding product page