This website uses cookies to ensure you get the best experience on our website.
- Table of Contents
1 Citations 9 Q&As
3 Citations 9 Q&As
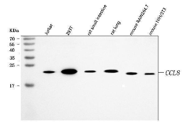
Facts about C-C motif chemokine 8.
This protein can bind heparin. The processed form MCP-2(6-76) doesn't reveal monocyte chemotactic activity, but inhibits the chemotactic effect most predominantly of CCL7, and also of CCL2 and CCL5 and CCL8.
| Human | |
|---|---|
| Gene Name: | CCL8 |
| Uniprot: | P80075 |
| Entrez: | 6355 |

| Belongs to: |
|---|
| intercrine beta (chemokine CC) family |

C-C motif chemokine 8; CCL8; chemokine (C-C motif) ligand 8; HC14; MCP2; MCP-2; member 8 (monocyte chemotactic protein 2); monocyte chemoattractant protein 2; SCYA10; small-inducible cytokine A8
Mass (kDA):
11.246 kDA

| Human | |
|---|---|
| Location: | 17q12 |
| Sequence: | 17; NC_000017.11 (34319435..34321402) |
Highest expression found in the small intestine and peripheral blood cells. Intermediate levels seen in the heart, placenta, lung, skeletal muscle, thymus, colon, ovary, spinal cord and pancreas. Low levels seen in the brain, liver, spleen and prostate.
Secreted.





PMID: 9119400 by van Coillie E., et al. The human MCP-2 gene (SCYA8): cloning, sequence analysis, tissue expression, and assignment to the CC chemokine gene contig on chromosome 17q11.2.
PMID: 9070881 by van Coillie E., et al. Human monocyte chemotactic protein-2: cDNA cloning and regulated expression of mRNA in mesenchymal cells.
*More publications can be found for each product on its corresponding product page