This website uses cookies to ensure you get the best experience on our website.
- Table of Contents
1 Citations
2 Citations 1 Q&As
1 Citations
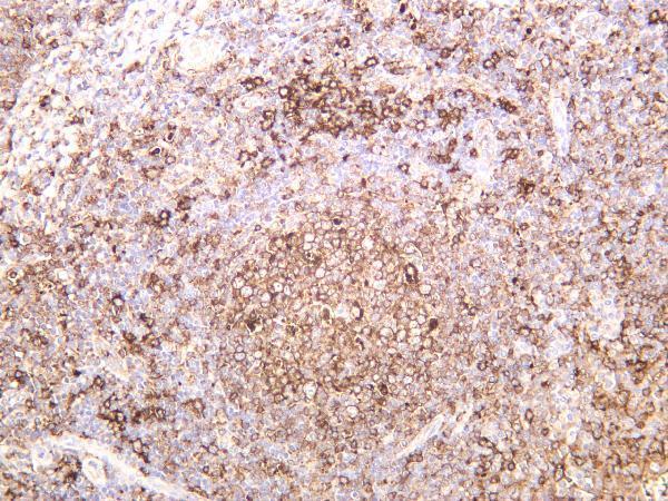
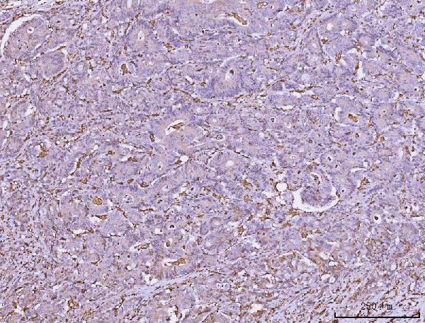
Facts about HLA class II histocompatibility antigen, DR alpha chain.
The peptides presented by MHC class II molecules are generated mostly by degradation of proteins that access the endocytic route, where they are processed by lysosomal proteases and other hydrolases. Exogenous antigens that have been endocytosed by the APC are thus readily available for presentation via MHC II molecules, and for this reason this antigen presentation pathway is usually referred to as exogenous.
| Human | |
|---|---|
| Gene Name: | HLA-DRA |
| Uniprot: | P01903 |
| Entrez: | 3122 |

| Belongs to: |
|---|
| MHC class II family |

FLJ51114; histocompatibility antigen HLA-DR alpha; HLA class II histocompatibility antigen, DR alpha chain; HLADR; HLA-DR; HLA-DRA; HLA-DRA1; major histocompatibility complex, class II, DR alpha; MHC cell surface glycoprotein; MHC class II antigen DRA; MHC Class II DR; MLRW
Mass (kDA):
28.607 kDA

| Human | |
|---|---|
| Location: | 6p21.32 |
| Sequence: | 6; NC_000006.12 (32439887..32445046) |
Cell membrane; Single-pass type I membrane protein. Endoplasmic reticulum membrane; Single-pass type I membrane protein. Golgi apparatus, trans-Golgi network membrane; Single-pass type I membrane protein. Endosome membrane; Single-pass type I membrane protein. Lysosome membrane; Single-pass type I membrane protein. Late endosome membrane; Single-pass type I membrane protein. The MHC class II complex transits through a number of intracellular compartments in the endocytic pathway until it reaches the cell membrane for antigen presentation.




PMID: 6811954 by Lee J.S., et al. Sequence of an HLA-DR alpha-chain cDNA clone and intron-exon organization of the corresponding gene.
PMID: 6416803 by Kajimura Y., et al. Cloning the heavy chain of human HLA-DR antigen using synthetic oligodeoxyribonucleotides as hybridization probes.
*More publications can be found for each product on its corresponding product page