This website uses cookies to ensure you get the best experience on our website.
- Table of Contents
Facts about Heterogeneous nuclear ribonucleoprotein U.
Required for the localization of the long non-coding Xist RNA on the inactive chromosome X (Xi) and the subsequent initiation and maintenance of X-linked transcriptional gene silencing during X-inactivation (By similarity). Plays a role for a RNA polymerase II (Pol II) holoenzyme transcription regulator (PubMed:8174554, PubMed:9353307, PubMed:10490622, PubMed:15711563, PubMed:19617346, PubMed:23811339).
| Human | |
|---|---|
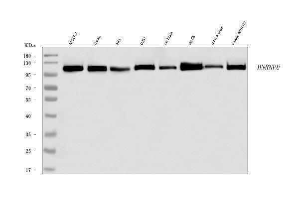
| Gene Name: | HNRNPU |
| Uniprot: | Q00839 |
| Entrez: | 3192 |

| Belongs to: |
|---|
| No superfamily |

heterogeneous nuclear ribonucleoprotein U (scaffold attachment factor A); heterogeneous nuclear ribonucleoprotein U; hnRNP U; HNRPU; p120 nuclear protein; p120; pp120; SAFA; SAF-AhnRNPU; Scaffold attachment factor A; U21.1
Mass (kDA):
90.584 kDA

| Human | |
|---|---|
| Location: | 1q44 |
| Sequence: | 1; NC_000001.11 (244850297..244864543, complement) |
Widely expressed.
Nucleus. Nucleus matrix. Chromosome. Nucleus speckle. Cytoplasm, cytoskeleton, microtubule organizing center, centrosome. Chromosome, centromere, kinetochore. Cytoplasm, cytoskeleton, spindle. Cytoplasm, cytoskeleton, spindle pole. Midbody. Cytoplasm. Cell surface. Cytoplasmic granule. Localizes at inactive X chromosome (Xi) regions (PubMed:11003645, PubMed:14608463, PubMed:15563465). Localizes in the nucleus during interphase (PubMed:21242313). At metaphase, localizes with mitotic spindle microtubules (MTs) (PubMed:21242313). At anaphase, localizes in the mitotic spindle midzone (PubMed:21242





PMID: 1628625 by Kiledjian M., et al. Primary structure and binding activity of the hnRNP U protein: binding RNA through RGG box.
PMID: 7509195 by Fackelmayer F.O., et al. hnRNP-U/SAF-A is encoded by two differentially polyadenylated mRNAs in human cells.