This website uses cookies to ensure you get the best experience on our website.
- Table of Contents
1 Citations
Facts about Lymphoid enhancer-binding factor 1.
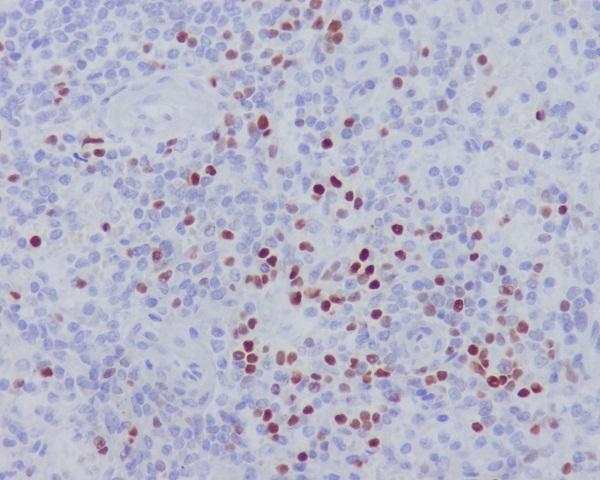
TLE1, TLE2, TLE3 and TLE4 repress transactivation mediated by LEF1 and CTNNB1 (By similarity). Regulates T-cell receptor alpha enhancer function.
| Mouse | |
|---|---|
| Gene Name: | Lef1 |
| Uniprot: | P27782 |
| Entrez: | 16842 |

| Belongs to: |
|---|
| TCF/LEF family |

DKFZp586H0919; FLJ46390; LEF1; LEF-1; lymphoid enhancer-binding factor 1; T cell-specific transcription factor 1-alpha; TCF10; TCF1ALPHA; TCF1-alpha; TCF7L3
Mass (kDA):
44.059 kDA

| Mouse | |
|---|---|
| Location: | 3 G3|3 60.78 cM |
| Sequence: | 3; |
Lymphocytes. Found in distinct epithelial cell compartments of the skin and is abundant in the hair-producing progenitors of the follicle.




PMID: 1827423 by Travis A., et al. LEF-1, a gene encoding a lymphoid-specific protein with an HMG domain, regulates T-cell receptor alpha enhancer function.
PMID: 8415007 by Fujimoto S., et al. Nucleotide sequence of a cDNA encoding an alternative form of LEF- 1.