This website uses cookies to ensure you get the best experience on our website.
- Table of Contents
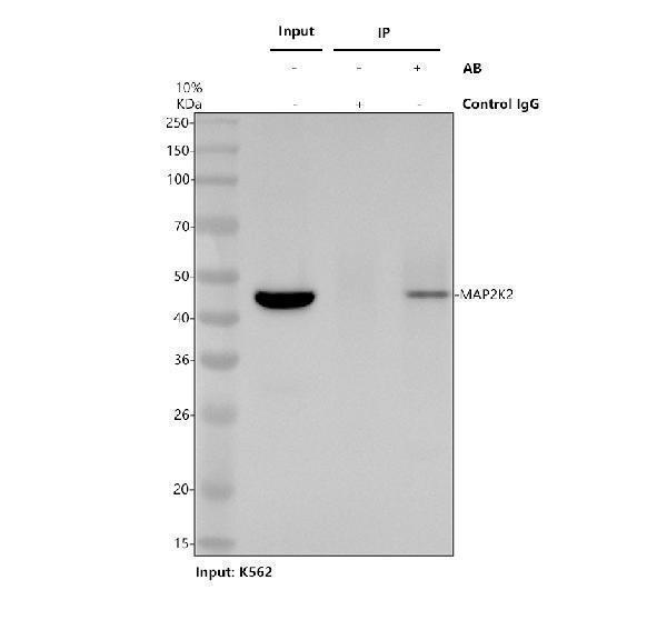
Facts about Dual specificity mitogen-activated protein kinase kinase 2.
. .
| Human | |
|---|---|
| Gene Name: | MAP2K2 |
| Uniprot: | P36507 |
| Entrez: | 5605 |

| Belongs to: |
|---|
| protein kinase superfamily |

ERK activator kinase 2; MAP2K2; MAPKK 2; MEK 2; MEK2; MEK2EC 2.7.12.2; mitogen-activated protein kinase kinase 2; MKK2; MKK2FLJ26075; p45; PRKMK2MAPKK2
Mass (kDA):
44.424 kDA

| Human | |
|---|---|
| Location: | 19p13.3 |
| Sequence: | 19; NC_000019.10 (4090321..4124184, complement) |
Cytoplasm. Membrane; Peripheral membrane protein. Membrane localization is probably regulated by its interaction with KSR1.






PMID: 8388392 by Zheng C.-F., et al. Cloning and characterization of two distinct human extracellular signal-regulated kinase activator kinases, MEK1 and MEK2.
PMID: 17116858 by Mittal R., et al. Acetylation of MEK2 and I kappa B kinase (IKK) activation loop residues by YopJ inhibits signaling.