This website uses cookies to ensure you get the best experience on our website.
- Table of Contents
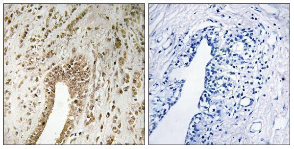
Facts about PHD finger protein 3.
| Human | |
|---|---|
| Gene Name: | PHF3 |
| Uniprot: | Q92576 |
| Entrez: | 23469 |

| Belongs to: |
|---|
| No superfamily |

KIAA0244MGC142210; MGC142212; PHD finger protein 3
Mass (kDA):
229.481 kDA

| Human | |
|---|---|
| Location: | 6q12 |
| Sequence: | 6; NC_000006.12 (63635802..63726011) |
Ubiquitous. Expression is significantly reduced or lost in glioblastomas, glioblastoma cell lines, anaplastic astrocytomas, and astrocytomas.



PMID: 11856869 by Fischer U., et al. PHF3 expression is frequently reduced in glioma.