This website uses cookies to ensure you get the best experience on our website.
- Table of Contents
Facts about DNA polymerase kappa.
Based on the circumstance, it inserts the proper base, but causes frequent foundation transitions, transversions and frameshifts. Lacks 3'-5' proofreading exonuclease activity.
| Mouse | |
|---|---|
| Gene Name: | Polk |
| Uniprot: | Q9QUG2 |
| Entrez: | 27015 |

| Belongs to: |
|---|
| DNA polymerase type-Y family |

DINB protein; DINPPOLQDINB1EC 2.7.7.7; DNA polymerase kappa; polymerase (DNA directed) kappa
Mass (kDA):
96.003 kDA

| Mouse | |
|---|---|
| Location: | 13|13 D1 |
| Sequence: | 13; |
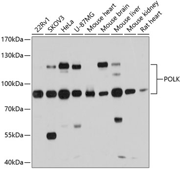
Detected at low levels in heart, brain, lung, liver, kidney and testis.



PMID: 10620008 by Ogi T., et al. Mutation enhancement by DINB1, a mammalian homologue of the Escherichia coli mutagenesis protein dinB.
PMID: 10518552 by Gerlach V.L., et al. Human and mouse homologs of Escherichia coli DinB (DNA polymerase IV), members of the UmuC/DinB superfamily.