This website uses cookies to ensure you get the best experience on our website.
- Table of Contents
Facts about Protein S100-P.
May stimulate cell proliferation in an autocrine manner via activation of this receptor for activated glycation end products (RAGE). .
| Human | |
|---|---|
| Gene Name: | S100P |
| Uniprot: | P25815 |
| Entrez: | 6286 |

| Belongs to: |
|---|
| S-100 family |

MIG9; migration-inducing gene 9; Protein S100-E; S100 calcium binding protein P; S100 calcium-binding protein Pprotein S100-P; S100E; S100P
Mass (kDA):
10.4 kDA

| Human | |
|---|---|
| Location: | 4p16.1 |
| Sequence: | 4; NC_000004.12 (6693878..6697170) |
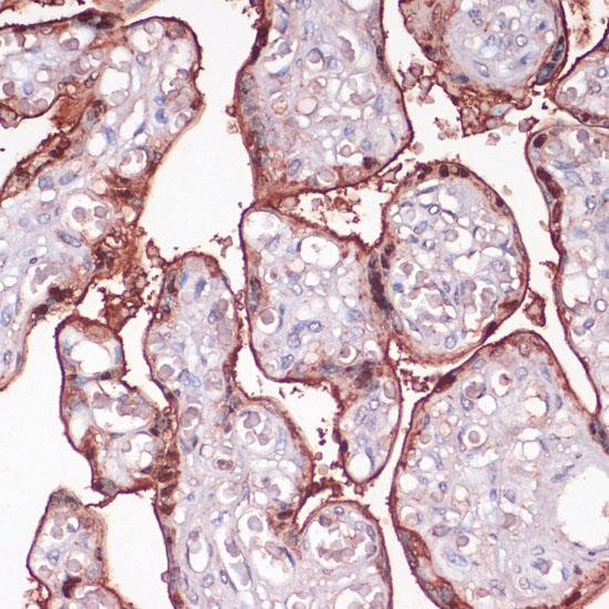
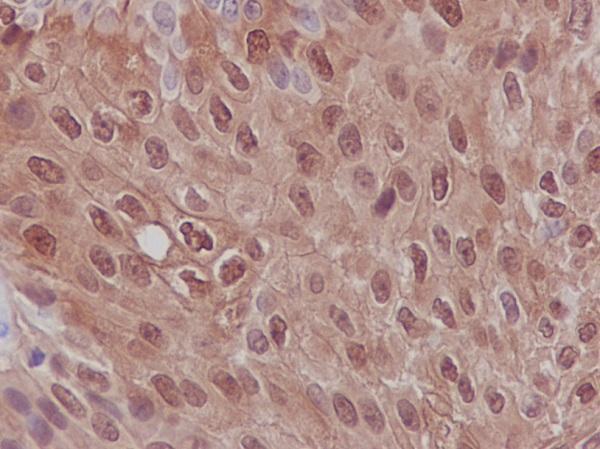
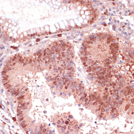
Detected in all of the tissues except brain, testis and small intestine, expression level is higher in placenta, heart, lung, skeletal muscle, spleen and leukocyte. Up- regulated in various pancreatic ductal adenocarcinomas and pancreatic intraepithelial neoplasias.
Nucleus. Cytoplasm. Cell projection, microvillus membrane. Colocalizes with S100PBP in the nucleus. Colocolizes with EZR in the microvilli in a calcium-dependent manner.





PMID: 1633809 by Becker T., et al. S100P, a novel Ca(2+)-binding protein from human placenta. cDNA cloning, recombinant protein expression and Ca2+ binding properties.
PMID: 1540168 by Emoto Y., et al. Purification and characterization of a new member of the S-100 protein family from human placenta.