This website uses cookies to ensure you get the best experience on our website.
- Table of Contents
1 Citations
2 Citations
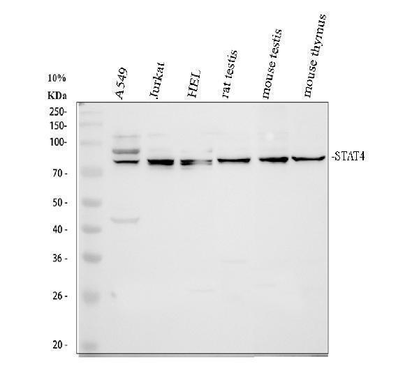
Facts about Signal transducer and activator of transcription 4.
Please shorten your article and try again.
| Human | |
|---|---|
| Gene Name: | STAT4 |
| Uniprot: | Q14765 |
| Entrez: | 6775 |

| Belongs to: |
|---|
| transcription factor STAT family |

signal transducer and activator of transcription 4; SLEB11; STAT4
Mass (kDA):
85.941 kDA

| Human | |
|---|---|
| Location: | 2q32.2-q32.3 |
| Sequence: | 2; NC_000002.12 (191029576..191172684, complement) |
Cytoplasm. Nucleus. Translocated into the nucleus in response to phosphorylation.






PMID: 10415122 by Yao B.B., et al. Direct interaction of STAT4 with the IL-12 receptor.
PMID: 9890938 by Naeger L.K., et al. Identification of a STAT4 binding site in the interleukin-12 receptor required for signaling.
*More publications can be found for each product on its corresponding product page