Product Info Summary
| SKU: | A12628 |
|---|---|
| Size: | 0.1 mg |
| Reactive Species: | Human, Mouse, Rat |
| Host: | Rabbit |
| Application: | ELISA, IF, IHC-P, WB |
Customers Who Bought This Also Bought
Product info
Product Name
Anti-AP-3 complex subunit mu-1 AP3M1 Antibody
SKU/Catalog Number
A12628
Size
0.1 mg
Form
Liquid
Description
Boster Bio Anti-AP-3 complex subunit mu-1 AP3M1 Antibody (Catalog # A12628). Tested in ELISA, WB, IHC-P, IF applications. This antibody reacts with Human, Mouse, Rat.
Storage & Handling
AP3M1 antibody can be stored at 4°C for three months and -20°C, stable for up to one year. Avoid repeated freeze-thaw cycles. Antibodies should not be exposed to prolonged high temperatures.
Cite This Product
Anti-AP-3 complex subunit mu-1 AP3M1 Antibody (Boster Biological Technology, Pleasanton CA, USA, Catalog # A12628)
Host
Rabbit
Contents
AP3M1 Antibody is supplied in PBS containing 0.02% sodium azide.
Clonality
Polyclonal
Isotype
IgG
Immunogen
AP3M1 antibody was raised against a 15 amino acid synthetic peptide near the carboxy terminus of human AP3M1. The immunogen is located within amino acids 340 - 390 of AP3M1.
Cross-reactivity
AP3M1 antibody may cross-react with AP3M2.
Reactive Species
A12628 is reactive to AP3M1 in Human, Mouse, Rat
Observed Molecular Weight
68 kDa
Calculated molecular weight
46.9 kDa
Background of AP3M1
The AP3 complex is a heterotetramer composed of two large adaptins (AP3D1, AP3B1 or AP3B2), a medium adaptin (AP3M1 or AP3M2) and a small adaptin (APS1 or AP3S2). The complex is associated with the Golgi region as well as more peripheral structures. It facilitates the budding of vesicles from the Golgi membrane and may be directly involved in trafficking to lysosomes. AP3M1 is highly homologous to AP3M2 but is the preferred binding partner to the YQRL motif from the cytosolic domain of TGN38. AP3M1 has also been shown to interact with the HIV-1 virulence protein Nef.
Antibody Validation
Boster validates all antibodies on WB, IHC, ICC, Immunofluorescence, and ELISA with known positive control and negative samples to ensure specificity and high affinity, including thorough antibody incubations.
Application & Images
Applications
A12628 is guaranteed for ELISA, IF, IHC-P, WB Boster Guarantee
Assay Dilutions Recommendation
The recommendations below provide a starting point for assay optimization. The actual working concentration varies and should be decided by the user.
AP3M1 antibody can be used for detection of AP3M1 by Western blot at 1 - 2 μg/mL. Antibody can also be used for immunohistochemistry starting at 5 μg/mL. For immunofluorescence start at 20 μg/mL.
Antibody validated: Western Blot in human samples; Immunohistochemistry in mouse samples and Immunofluorescence in mouse samples. All other applications and species not yet tested. Optimal dilutions for each application should be determined by the researcher.
Validation Images & Assay Conditions
Click image to see more details
Western blot analysis of AP3M1 in human brain tissue lysate with AP3M1 antibody at (A) 1 and (B) 2 μg/mL .
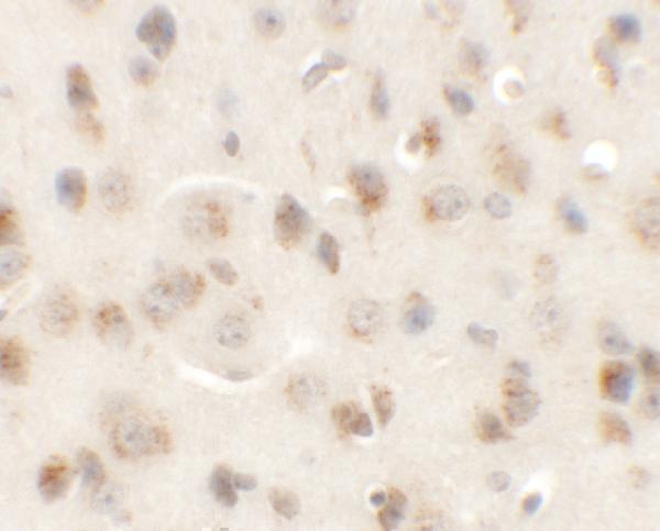
Click image to see more details
Immunohistochemistry of AP3M1 in mouse brain tissue with AP3M1 antibody at 5 μg/mL.
Click image to see more details
Immunofluorescence of AP3M1 in mouse brain tissue with AP3M1 antibody at 20 μg/mL.
Specific Publications For Anti-AP-3 complex subunit mu-1 AP3M1 Antibody (A12628)
Loading publications
Recommended Resources
Here are featured tools and databases that you might find useful.
- Boster's Pathways Library
- Protein Databases
- Bioscience Research Protocol Resources
- Data Processing & Analysis Software
- Photo Editing Software
- Scientific Literature Resources
- Research Paper Management Tools
- Molecular Biology Software
- Primer Design Tools
- Bioinformatics Tools
- Phylogenetic Tree Analysis
Customer Reviews
Have you used Anti-AP-3 complex subunit mu-1 AP3M1 Antibody?
Share your experimental results or join a short interview to earn up to $1,000 in product credits or other rewards.
0 Reviews For Anti-AP-3 complex subunit mu-1 AP3M1 Antibody
Customer Q&As
Have a question?
Find answers in Q&As, reviews.
Can't find your answer?
Submit your question

