Product Info Summary
| SKU: | A02244-1 |
|---|---|
| Size: | 100 μg/vial |
| Reactive Species: | Human, Mouse, Rat |
| Host: | Rabbit |
| Application: | ELISA, Flow Cytometry, IF, IHC, ICC, WB |
Customers Who Bought This Also Bought
Product info
Product Name
Anti-ARG2 Antibody Picoband®
SKU/Catalog Number
A02244-1
Size
100 μg/vial
Form
Lyophilized
Description
Boster Bio Anti-ARG2 Antibody Picoband® catalog # A02244-1. Tested in ELISA, Flow Cytometry, IF, IHC, ICC, WB applications. This antibody reacts with Human, Mouse, Rat. The brand Picoband indicates this is a premium antibody that guarantees superior quality, high affinity, and strong signals with minimal background in Western blot applications. Only our best-performing antibodies are designated as Picoband, ensuring unmatched performance.
Storage & Handling
Store at -20˚C for one year from date of receipt. After reconstitution, at 4˚C for one month. It can also be aliquotted and stored frozen at -20˚C for six months. Avoid repeated freeze-thaw cycles.
Cite This Product
Anti-ARG2 Antibody Picoband® (Boster Biological Technology, Pleasanton CA, USA, Catalog # A02244-1)
Host
Rabbit
Contents
Each vial contains 4mg Trehalose, 0.9mg NaCl and 0.2mg Na2HPO4.
Clonality
Polyclonal
Isotype
Rabbit IgG
Immunogen
E.coli-derived human ARG2 recombinant protein (Position: E43-A320).
Cross-reactivity
No cross-reactivity with other proteins.
Reactive Species
A02244-1 is reactive to ARG2 in Human, Mouse, Rat
Observed Molecular Weight
39 kDa
Calculated molecular weight
38.6 kDa
Background of ARG2
ARG2 (arginase, type II) encodes a 355-amino acid polypeptide.Using Northern blotting and RT-PCR,Vockley et al. (1996)found thatARG2is expressed as a 1.5-kb mRNA in a wide variety of tissues, with highest levels of expression in prostate, brain, and kidney.By PCR analysis of somatic cell hybrid panels, fluorescence in situ hybridization, and radiation hybrid analysis,theARG2 gene is mapped to 14q24.1-q24.3. ARG2may be inducible and may be essential in the regulation of nitric oxide synthesis by modulating local arginine concentrations. Gotoh et al. (1996)showed thatARG2mRNA and nitric oxide synthase (NOS) mRNA were coinduced by lipopolysaccharide in a macrophage-like cell line. Arginase II has been implicated in the regulation of the arginine/ornithine concentrations in the cell. The mitochondrial location ofARG2and its coinduction with ornithine aminotransferase and involvement with proline biosynthesis in lactating rat mammary gland had led to the inference thatARG2is involved in biosynthetic functions, as opposed to the metabolic ones of the urea cycle.
Antibody Validation
Boster validates all antibodies on WB, IHC, ICC, Immunofluorescence, and ELISA with known positive control and negative samples to ensure specificity and high affinity, including thorough antibody incubations.
Application & Images
Applications
A02244-1 is guaranteed for ELISA, Flow Cytometry, IF, IHC, ICC, WB Boster Guarantee
Assay Dilutions Recommendation
The recommendations below provide a starting point for assay optimization. The actual working concentration varies and should be decided by the user.
Western blot, 0.25-0.5μg/ml, Human, Mouse, Rat
Immunohistochemistry (Paraffin-embedded Section, 2-5μg/ml, Human
Immunocytochemistry/Immunofluorescence, 5μg/ml, Human
Flow Cytometry (Fixed), 1-3μg/1x106 cells, Human
ELISA, 0.1-0.5μg/ml, -
Positive Control
WB: human HEK293 whole cell, human Sw620 whole cell, rat brain tissue, mouse kidney tissue
IHC: human rectal cancer tissue, human adrenocortical adenoma tissue, human pancreatic cancer tissue, human gallbladder adenocarcinoma tissue
ICC/IF: HepG2 cell
FCM: 293T cell
Validation Images & Assay Conditions
Click image to see more details
Western blot analysis of ARG2 using anti-ARG2 antibody (A02244-1).
Electrophoresis was performed on a 5-20% SDS-PAGE gel at 70V (Stacking gel) / 90V (Resolving gel) for 2-3 hours. The sample well of each lane was loaded with 30ug of sample under reducing conditions.
Lane 1: human HEK293 whole cell lysates,
Lane 2: human Sw620 whole cell lysates,
Lane 3: rat brain tissue lysates,
Lane 4: mouse kidney tissue lysates.
After Electrophoresis, proteins were transferred to a Nitrocellulose membrane at 150mA for 50-90 minutes. Blocked the membrane with 5% Non-fat Milk/ TBS for 1.5 hour at RT. The membrane was incubated with rabbit anti-ARG2 antigen affinity purified polyclonal antibody (Catalog # A02244-1) at 0.5 μg/mL overnight at 4°C, then washed with TBS-0.1%Tween 3 times with 5 minutes each and probed with a goat anti-rabbit IgG-HRP secondary antibody at a dilution of 1:5000 for 1.5 hour at RT. The signal is developed using an Enhanced Chemiluminescent detection (ECL) kit (Catalog # EK1002) with Tanon 5200 system. A specific band was detected for ARG2 at approximately 39KD. The expected band size for ARG2 is at 39KD.
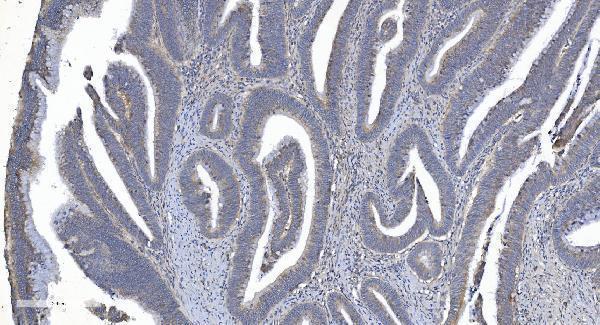
Click image to see more details
IHC analysis of ARG2 using anti-ARG2 antibody (A04887-1).
ARG2 was detected in paraffin-embedded section of human rectal cancer tissue. Heat mediated antigen retrieval was performed in EDTA buffer (pH8.0, epitope retrieval solution). The tissue section was blocked with 10% goat serum. The tissue section was then incubated with 2μg/ml rabbit anti-ARG2 Antibody (A04887-1) overnight at 4°C. Biotinylated goat anti-rabbit IgG was used as secondary antibody and incubated for 30 minutes at 37°C. The tissue section was developed using Strepavidin-Biotin-Complex (SABC) (Catalog # SA1022) with DAB as the chromogen.
Click image to see more details
IHC analysis of ARG2 using anti-ARG2 antibody (A04887-1).
ARG2 was detected in paraffin-embedded section of human adrenocortical adenoma tissue. Heat mediated antigen retrieval was performed in EDTA buffer (pH8.0, epitope retrieval solution). The tissue section was blocked with 10% goat serum. The tissue section was then incubated with 2μg/ml rabbit anti-ARG2 Antibody (A04887-1) overnight at 4°C. Biotinylated goat anti-rabbit IgG was used as secondary antibody and incubated for 30 minutes at 37°C. The tissue section was developed using Strepavidin-Biotin-Complex (SABC) (Catalog # SA1022) with DAB as the chromogen.
Click image to see more details
IHC analysis of ARG2 using anti-ARG2 antibody (A04887-1).
ARG2 was detected in paraffin-embedded section of human pancreatic cancer tissue. Heat mediated antigen retrieval was performed in EDTA buffer (pH8.0, epitope retrieval solution). The tissue section was blocked with 10% goat serum. The tissue section was then incubated with 2μg/ml rabbit anti-ARG2 Antibody (A04887-1) overnight at 4°C. Biotinylated goat anti-rabbit IgG was used as secondary antibody and incubated for 30 minutes at 37°C. The tissue section was developed using Strepavidin-Biotin-Complex (SABC) (Catalog # SA1022) with DAB as the chromogen.
Click image to see more details
IHC analysis of ARG2 using anti-ARG2 antibody (A04887-1).
ARG2 was detected in paraffin-embedded section of human gallbladder adenocarcinoma tissue. Heat mediated antigen retrieval was performed in EDTA buffer (pH8.0, epitope retrieval solution). The tissue section was blocked with 10% goat serum. The tissue section was then incubated with 2μg/ml rabbit anti-ARG2 Antibody (A04887-1) overnight at 4°C. Biotinylated goat anti-rabbit IgG was used as secondary antibody and incubated for 30 minutes at 37°C. The tissue section was developed using Strepavidin-Biotin-Complex (SABC) (Catalog # SA1022) with DAB as the chromogen.
Click image to see more details
IF analysis of ARG2 using anti-ARG2 antibody (A02244-1).
ARG2 was detected in immunocytochemical section of HepG2 cells. Enzyme antigen retrieval was performed using IHC enzyme antigen retrieval reagent (AR0022) for 15 mins. The cells were blocked with 10% goat serum. And then incubated with 5μg/mL rabbit anti-ARG2 Antibody (A02244-1) overnight at 4°C. DyLight®488 Conjugated Goat Anti-Rabbit IgG (BA1127) was used as secondary antibody at 1:100 dilution and incubated for 30 minutes at 37°C. The section was counterstained with DAPI. Visualize using a fluorescence microscope and filter sets appropriate for the label used.
Click image to see more details
Flow Cytometry analysis of 293T cells using anti-ARG2 antibody (A02244-1).
Overlay histogram showing 293T cells stained with A02244-1 (Blue line). To facilitate intracellular staining, cells were fixed with 4% paraformaldehyde and permeabilized with permeabilization buffer. The cells were blocked with 10% normal goat serum. And then incubated with rabbit anti-ARG2 Antibody (A02244-1, 1μg/1x106 cells) for 30 min at 20°C. DyLight®488 conjugated goat anti-rabbit IgG (BA1127, 5-10μg/1x106 cells) was used as secondary antibody for 30 minutes at 20°C. Isotype control antibody (Green line) was rabbit IgG (1μg/1x106) used under the same conditions. Unlabelled sample without incubation with primary antibody and secondary antibody (Red line) was used as a blank control.
Specific Publications For Anti-ARG2 Antibody Picoband® (A02244-1)
Loading publications
Recommended Resources
Here are featured tools and databases that you might find useful.
- Boster's Pathways Library
- Protein Databases
- Bioscience Research Protocol Resources
- Data Processing & Analysis Software
- Photo Editing Software
- Scientific Literature Resources
- Research Paper Management Tools
- Molecular Biology Software
- Primer Design Tools
- Bioinformatics Tools
- Phylogenetic Tree Analysis
Customer Reviews
Have you used Anti-ARG2 Antibody Picoband®?
Share your experimental results or join a short interview to earn up to $1,000 in product credits or other rewards.
0 Reviews For Anti-ARG2 Antibody Picoband®
Customer Q&As
Have a question?
Find answers in Q&As, reviews.
Can't find your answer?
Submit your question


