Product Info Summary
| SKU: | RP1112 |
|---|---|
| Size: | 100 μg/vial |
| Reactive Species: | Human, Mouse, Rat |
| Host: | Rabbit |
| Application: | IHC, WB |
Customers Who Bought This Also Bought
Product info
Product Name
Anti-L-Arginine decarboxylase/AZIN2 Antibody Picoband®
SKU/Catalog Number
RP1112
PB1101 is an alternative SKU for this antibody, used in previous lots.
Size
100 μg/vial
Form
Lyophilized
Description
Boster Bio Anti-L-Arginine decarboxylase/AZIN2 Antibody catalog # RP1112. Tested in IHC, WB applications. This antibody reacts with Human, Mouse, Rat. The brand Picoband indicates this is a premium antibody that guarantees superior quality, high affinity, and strong signals with minimal background in Western blot applications. Only our best-performing antibodies are designated as Picoband, ensuring unmatched performance.
Storage & Handling
Store at -20˚C for one year from date of receipt. After reconstitution, at 4˚C for one month. It can also be aliquotted and stored frozen at -20˚C for six months. Avoid repeated freeze-thaw cycles.
Cite This Product
Anti-L-Arginine decarboxylase/AZIN2 Antibody Picoband® (Boster Biological Technology, Pleasanton CA, USA, Catalog # RP1112)
Host
Rabbit
Contents
Each vial contains antibody formulated with stabilizing components, 0.9 mg NaCl, 0.2 mg Na2HPO4, and 0.05 mg NaN3.
*This antibody is supplied in a stabilized formulation.
Compatibility with conjugation reactions depends on the chemistry of the conjugation method used.
For conjugation methods that are not compatible with the stabilizing components present in this formulation, a carrier-free antibody format is required.
Clonality
Polyclonal
Isotype
Rabbit IgG
Immunogen
E. coli-derived human AZIN2 recombinant protein (Position: C111-Q301). Human AZIN2 shares 89.4% amino acid (aa) sequence identity with mouse AZIN2.
Cross-reactivity
No cross-reactivity with other proteins
Reactive Species
RP1112 is reactive to AZIN2 in Human, Mouse, Rat
Observed Molecular Weight
39 kDa
Calculated molecular weight
50.0 kDa
Background of AZIN2
Antizyme inhibitor 2 (AzI2), also known as arginine decarboxylase (ADC), is an enzyme that in humans is encoded by the AZIN2 gene. The protein encoded by this gene belongs to the antizyme inhibitor family, which plays a role in cell growth and proliferation by maintaining polyamine homeostasis within the cell. Antizyme inhibitors are homologs of ornithine decarboxylase (ODC, the key enzyme in polyamine biosynthesis) that have lost the ability to decarboxylase ornithine; however, retain the ability to bind to antizymes. Antizymes negatively regulate intracellular polyamine levels by binding to ODC and targeting it for degradation, as well as by inhibiting polyamine uptake. Antizyme inhibitors function as positive regulators of polyamine levels by sequestering antizymes and neutralizing their effect. This gene encodes antizyme inhibitor 2, the second member of this gene family. Like antizyme inhibitor 1, antizyme inhibitor 2 interacts with all 3 antizymes and stimulates ODC activity and polyamine uptake. However, unlike antizyme inhibitor 1, which is ubiquitously expressed and localized in the nucleus and cytoplasm, antizyme inhibitor 2 is predominantly expressed in the brain and testis and localized in the endoplasmic reticulum-golgi intermediate compartment. Recent studies indicate that antizyme inhibitor 2 is also expressed in specific cell types in ovaries, adrenal glands and pancreas, and in mast cells. The exact function of this gene is not known, however, available data suggest its role in cell growth, spermiogenesis, vesicular trafficking and secretion.
Antibody Validation
Boster validates all antibodies on WB, IHC, ICC, Immunofluorescence, and ELISA with known positive control and negative samples to ensure specificity and high affinity, including thorough antibody incubations.
Application & Images
Applications
RP1112 is guaranteed for IHC, WB Boster Guarantee
Assay Dilutions Recommendation
The recommendations below provide a starting point for assay optimization. The actual working concentration varies and should be decided by the user.
Western blot, 0.1-0.5μg/ml, Human, Mouse, Rat
Immunohistochemistry (Paraffin-embedded Section), 0.5-1μg/ml, Human, Mouse, Rat
Positive Control
WB: rat brain extract (rat brain tissue, mouse brain tissue, human testicar cancer tissue
Validation Images & Assay Conditions
Click image to see more details
AZIN2 was detected in paraffin-embedded sections of rat brain tissues using rabbit anti-AZIN2 Antigen Affinity purified polyclonal antibody (Catalog # RP1112) at 1 μg/mL. The immunohistochemical section was developed using SABC method (Catalog # SA1022).
Click image to see more details
AZIN2 was detected in paraffin-embedded sections of mouse brain tissues using rabbit anti-AZIN2 Antigen Affinity purified polyclonal antibody (Catalog # RP1112) at 1 μg/mL. The immunohistochemical section was developed using SABC method (Catalog # SA1022).
Click image to see more details
Western blot analysis of AZIN2 expression in rat brain extract (lane 1), mouse brain extract (lane 2) and HELA whole cell lysates (lane 3). AZIN2 at 50KD was detected using rabbit anti-AZIN2 Antigen Affinity purified polyclonal antibody (Catalog # RP1112) at 0.5 μg/mL. The blot was developed using chemiluminescence (ECL) method (Catalog # EK1002).
Click image to see more details
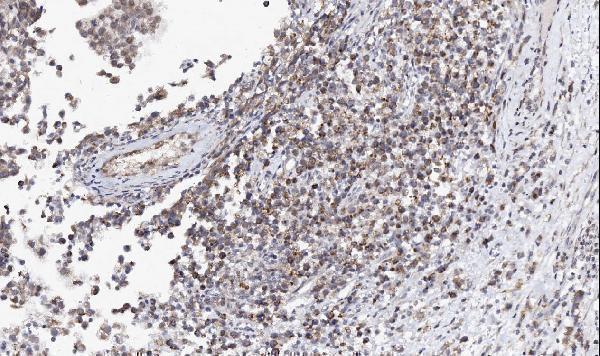
IHC analysis of AZIN2 using anti-AZIN2 antibody (RP1112).
AZIN2 was detected in paraffin-embedded section of human testicar cancer tissues. Heat mediated antigen retrieval was performed in citrate buffer (pH6, epitope retrieval solution) for 20 mins. The tissue section was blocked with 10% goat serum. The tissue section was then incubated with 1μg/ml rabbit anti-AZIN2 Antibody (RP1112) overnight at 4°C. Biotinylated goat anti-rabbit IgG was used as secondary antibody and incubated for 30 minutes at 37°C. The tissue section was developed using Strepavidin-Biotin-Complex (SABC)(Catalog # SA1022) with DAB as the chromogen.
Specific Publications For Anti-L-Arginine decarboxylase/AZIN2 Antibody Picoband® (RP1112)
Loading publications
Recommended Resources
Here are featured tools and databases that you might find useful.
- Boster's Pathways Library
- Protein Databases
- Bioscience Research Protocol Resources
- Data Processing & Analysis Software
- Photo Editing Software
- Scientific Literature Resources
- Research Paper Management Tools
- Molecular Biology Software
- Primer Design Tools
- Bioinformatics Tools
- Phylogenetic Tree Analysis
Customer Reviews
Have you used Anti-L-Arginine decarboxylase/AZIN2 Antibody Picoband®?
Share your experimental results or join a short interview to earn up to $1,000 in product credits or other rewards.
0 Reviews For Anti-L-Arginine decarboxylase/AZIN2 Antibody Picoband®
Customer Q&As
Have a question?
Find answers in Q&As, reviews.
Can't find your answer?
Submit your question
5 Customer Q&As for Anti-L-Arginine decarboxylase/AZIN2 Antibody Picoband®
Question
We are currently using anti-L-Arginine decarboxylase/AZIN2 antibody RP1112 for human tissue, and we are happy with the IHC-P results. The species of reactivity given in the datasheet says human, mouse, rat. Is it true that the antibody can work on horse tissues as well?
Verified Customer
Verified customer
Asked: 2020-02-03
Answer
The anti-L-Arginine decarboxylase/AZIN2 antibody (RP1112) has not been validated for cross reactivity specifically with horse tissues, though there is a good chance of cross reactivity. We have an innovator award program that if you test this antibody and show it works in horse you can get your next antibody for free. Please contact me if I can help you with anything.
Boster Scientific Support
Answered: 2020-02-03
Question
Is a blocking peptide available for product anti-L-Arginine decarboxylase/AZIN2 antibody (RP1112)?
Verified Customer
Verified customer
Asked: 2019-12-19
Answer
We do provide the blocking peptide for product anti-L-Arginine decarboxylase/AZIN2 antibody (RP1112). If you would like to place an order for it please contact support@bosterbio.com and make a special request.
Boster Scientific Support
Answered: 2019-12-19
Question
Would anti-L-Arginine decarboxylase/AZIN2 antibody RP1112 work on horse WB with testis?
Verified Customer
Verified customer
Asked: 2019-08-02
Answer
Our lab technicians have not validated anti-L-Arginine decarboxylase/AZIN2 antibody RP1112 on horse. You can run a BLAST between horse and the immunogen sequence of anti-L-Arginine decarboxylase/AZIN2 antibody RP1112 to see if they may cross-react. If the sequence homology is close, then you can perform a pilot test. Keep in mind that since we have not validated horse samples, this use of the antibody is not covered by our guarantee. However we have an innovator award program that if you test this antibody and show it works in horse testis in WB, you can get your next antibody for free.
Boster Scientific Support
Answered: 2019-08-02
Question
Is this RP1112 anti-L-Arginine decarboxylase/AZIN2 antibody reactive to the isotypes of AZIN2?
W. Thomas
Verified customer
Asked: 2015-01-19
Answer
The immunogen of RP1112 anti-L-Arginine decarboxylase/AZIN2 antibody is E. coli-derived human AZIN2 recombinant protein (Position: C111-Q301). Human AZIN2 shares 89.4% amino acid (aa) sequence identity with mouse AZIN2. Could you tell me which isotype you are interested in so I can help see if the immunogen is part of this isotype?
Boster Scientific Support
Answered: 2015-01-19
Question
I see that the anti-L-Arginine decarboxylase/AZIN2 antibody RP1112 works with IHC-P, what is the protocol used to produce the result images on the product page?
K. Dhar
Verified customer
Asked: 2013-09-17
Answer
You can find protocols for IHC-P on the "support/technical resources" section of our navigation menu. If you have any further questions, please send an email to support@bosterbio.com
Boster Scientific Support
Answered: 2013-09-17


