Product Info Summary
| SKU: | A08354 |
|---|---|
| Size: | 100ul |
| Reactive Species: | Human |
| Host: | Rabbit |
| Application: | ELISA, IF, IHC, ICC |
Customers Who Bought This Also Bought
Product info
Product Name
Anti-CALCB Antibody
SKU/Catalog Number
A08354
Size
100ul
Form
Liquid
Description
Boster Bio Anti-CALCB Antibody catalog # A08354. Tested in ELISA,IHC,IF,ICC applications. This antibody reacts with Human.
Storage & Handling
Store at -20°C for one year. For short term storage and frequent use, store at 4°C for up to one month. Avoid repeated freeze-thaw cycles.
Cite This Product
Anti-CALCB Antibody (Boster Biological Technology, Pleasanton CA, USA, Catalog # A08354)
Host
Rabbit
Contents
Rabbit IgG, 1mg/ml in PBS with 0.02% sodium azide, 50% glycerol, pH7.2
Clonality
Polyclonal
Isotype
IgG
Immunogen
KLH conjugated synthetic peptide derived from human CALCB
Reactive Species
A08354 is reactive to CALCB in Human
Calculated molecular weight
13.7 kDa
Antibody Validation
Boster validates all antibodies on WB, IHC, ICC, Immunofluorescence, and ELISA with known positive control and negative samples to ensure specificity and high affinity, including thorough antibody incubations.
Application & Images
Applications
A08354 is guaranteed for ELISA, IF, IHC, ICC Boster Guarantee
Assay Dilutions Recommendation
The recommendations below provide a starting point for assay optimization. The actual working concentration varies and should be decided by the user.
ELISA: 1:5000-1:10000
IHC: 1:100-1:500
IF: 1:100-1:500
ICC: 1:100-1:500
Validation Images & Assay Conditions
Click image to see more details
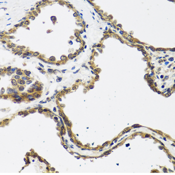
Immunohistochemistry of paraffin-embedded rat heart using CALCB antibody at dilution of 1:100 (40x lens).
Click image to see more details
Immunohistochemistry of paraffin-embedded human prostate using CALCB antibody at dilution of 1:100 (40x lens).
Specific Publications For Anti-CALCB Antibody (A08354)
Loading publications
Recommended Resources
Here are featured tools and databases that you might find useful.
- Boster's Pathways Library
- Protein Databases
- Bioscience Research Protocol Resources
- Data Processing & Analysis Software
- Photo Editing Software
- Scientific Literature Resources
- Research Paper Management Tools
- Molecular Biology Software
- Primer Design Tools
- Bioinformatics Tools
- Phylogenetic Tree Analysis
Customer Reviews
Have you used Anti-CALCB Antibody?
Share your experimental results or join a short interview to earn up to $1,000 in product credits or other rewards.
0 Reviews For Anti-CALCB Antibody
Customer Q&As
Have a question?
Find answers in Q&As, reviews.
Can't find your answer?
Submit your question

