Product Info Summary
| SKU: | A00385-1 |
|---|---|
| Size: | 100 μg/vial |
| Reactive Species: | Human, Mouse, Rat |
| Host: | Rabbit |
| Application: | ELISA, IHC |
Customers Who Bought This Also Bought
Product info
Product Name
Anti-CIC Antibody
SKU/Catalog Number
A00385-1
Size
100 μg/vial
Form
Lyophilized
Description
Boster Bio Anti-CIC Antibody catalog # A00385-1. Tested in ELISA, IHC applications. This antibody reacts with Human, Mouse, Rat.
Storage & Handling
Store at -20˚C for one year from date of receipt. After reconstitution, at 4˚C for one month. It can also be aliquotted and stored frozen at -20˚C for six months. Avoid repeated freeze-thaw cycles.
Cite This Product
Anti-CIC Antibody (Boster Biological Technology, Pleasanton CA, USA, Catalog # A00385-1)
Host
Rabbit
Contents
Each vial contains 4mg Trehalose, 0.9mg NaCl, 0.2mg Na2HPO4, 0.05mg NaN3.
Clonality
Polyclonal
Isotype
Rabbit IgG
Immunogen
E. coli-derived human CIC recombinant protein (Position: E1433-Q1527).
Cross-reactivity
No cross-reactivity with other proteins.
Reactive Species
A00385-1 is reactive to CIC in Human, Mouse, Rat
Calculated molecular weight
163.8 kDa
Background of CIC
Protein capicua homolog is a protein that in humans is encoded by the CIC gene. The protein encoded by this gene is an ortholog of the Drosophila melanogaster capicua gene, and is a member of the high mobility group (HMG)-box superfamily of transcriptional repressors. This protein contains a conserved HMG domain that is involved in DNA binding and nuclear localization, and a conserved C-terminus. Studies suggest that the N-terminal region of this protein interacts with Atxn1 (GeneID:6310), to form a transcription repressor complex, and in vitro studies suggest that polyglutamine-expansion of ATXN1 may alter the repressor activity of this complex. Mutations in this gene have been associated with olidogdendrogliomas (PMID:21817013). In addition, translocation events resulting in gene fusions of this gene with both DUX4 (GeneID:100288687) and FOXO4 (GeneID:4303) have been associated with round cell sarcomas. This gene is mapped to 19q13.2. Alternative splicing results in multiple transcript variants encoding different isoforms.
Antibody Validation
Boster validates all antibodies on WB, IHC, ICC, Immunofluorescence, and ELISA with known positive control and negative samples to ensure specificity and high affinity, including thorough antibody incubations.
Application & Images
Applications
A00385-1 is guaranteed for ELISA, IHC Boster Guarantee
Assay Dilutions Recommendation
The recommendations below provide a starting point for assay optimization. The actual working concentration varies and should be decided by the user.
Immunohistochemistry (Paraffin-embedded Section), 0.5-1μg/ml
ELISA, 0.1-0.5μg/ml
Positive Control
IHC: human brain tissue, human gastric cancer tissue, human placenta tissue, mouse lung tissue, rat intestine tissue
Validation Images & Assay Conditions
Click image to see more details
IHC analysis of CIC using anti-CIC antibody (A00385-1).
CIC was detected in paraffin-embedded section of human gastric cancer tissue. Heat mediated antigen retrieval was performed in citrate buffer (pH6, epitope retrieval solution) for 20 mins. The tissue section was blocked with 10% goat serum. The tissue section was then incubated with 1μg/ml rabbit anti-CIC Antibody (A00385-1) overnight at 4°C. Biotinylated goat anti-rabbit IgG was used as secondary antibody and incubated for 30 minutes at 37°C. The tissue section was developed using Strepavidin-Biotin-Complex (SABC)(Catalog # SA1022) with DAB as the chromogen.
Click image to see more details
IHC analysis of CIC using anti-CIC antibody (A00385-1).
CIC was detected in paraffin-embedded section of human placenta tissue. Heat mediated antigen retrieval was performed in citrate buffer (pH6, epitope retrieval solution) for 20 mins. The tissue section was blocked with 10% goat serum. The tissue section was then incubated with 1μg/ml rabbit anti-CIC Antibody (A00385-1) overnight at 4°C. Biotinylated goat anti-rabbit IgG was used as secondary antibody and incubated for 30 minutes at 37°C. The tissue section was developed using Strepavidin-Biotin-Complex (SABC)(Catalog # SA1022) with DAB as the chromogen.
Click image to see more details
IHC analysis of CIC using anti-CIC antibody (A00385-1).
CIC was detected in paraffin-embedded section of mouse lung tissues. Heat mediated antigen retrieval was performed in citrate buffer (pH6, epitope retrieval solution) for 20 mins. The tissue section was blocked with 10% goat serum. The tissue section was then incubated with 1μg/ml rabbit anti-CIC Antibody (A00385-1) overnight at 4°C. Biotinylated goat anti-rabbit IgG was used as secondary antibody and incubated for 30 minutes at 37°C. The tissue section was developed using Strepavidin-Biotin-Complex (SABC)(Catalog # SA1022) with DAB as the chromogen.
Click image to see more details
IHC analysis of CIC using anti-CIC antibody (A00385-1).
CIC was detected in paraffin-embedded section of rat intestine tissues. Heat mediated antigen retrieval was performed in citrate buffer (pH6, epitope retrieval solution) for 20 mins. The tissue section was blocked with 10% goat serum. The tissue section was then incubated with 1μg/ml rabbit anti-CIC Antibody (A00385-1) overnight at 4°C. Biotinylated goat anti-rabbit IgG was used as secondary antibody and incubated for 30 minutes at 37°C. The tissue section was developed using Strepavidin-Biotin-Complex (SABC)(Catalog # SA1022) with DAB as the chromogen.
Click image to see more details
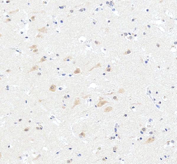
IHC analysis of CIC using anti-CIC antibody (A00385-1).
CIC was detected in a paraffin-embedded section of human brain tissue. Heat mediated antigen retrieval was performed in EDTA buffer (pH 8.0, epitope retrieval solution). The tissue section was blocked with 10% goat serum. The tissue section was then incubated with 2 μg/ml rabbit anti-CIC Antibody (A00385-1) overnight at 4°C. Peroxidase Conjugated Goat Anti-rabbit IgG was used as secondary antibody and incubated for 30 minutes at 37°C. The tissue section was developed using HRP Conjugated Rabbit IgG Super Vision Assay Kit (Catalog # SV0002) with DAB as the chromogen.
Specific Publications For Anti-CIC Antibody (A00385-1)
Loading publications
Recommended Resources
Here are featured tools and databases that you might find useful.
- Boster's Pathways Library
- Protein Databases
- Bioscience Research Protocol Resources
- Data Processing & Analysis Software
- Photo Editing Software
- Scientific Literature Resources
- Research Paper Management Tools
- Molecular Biology Software
- Primer Design Tools
- Bioinformatics Tools
- Phylogenetic Tree Analysis
Customer Reviews
Have you used Anti-CIC Antibody?
Share your experimental results or join a short interview to earn up to $1,000 in product credits or other rewards.
0 Reviews For Anti-CIC Antibody
Customer Q&As
Have a question?
Find answers in Q&As, reviews.
Can't find your answer?
Submit your question
3 Customer Q&As for Anti-CIC Antibody
Question
We are currently using anti-CIC antibody A00385-1 for rat tissue, and we are happy with the ELISA results. The species of reactivity given in the datasheet says human, mouse, rat. Is it true that the antibody can work on dog tissues as well?
Verified Customer
Verified customer
Asked: 2019-10-07
Answer
The anti-CIC antibody (A00385-1) has not been validated for cross reactivity specifically with dog tissues, though there is a good chance of cross reactivity. We have an innovator award program that if you test this antibody and show it works in dog you can get your next antibody for free. Please contact me if I can help you with anything.
Boster Scientific Support
Answered: 2019-10-07
Question
Is there a BSA free version of anti-CIC antibody A00385-1 available?
K. Jones
Verified customer
Asked: 2016-11-14
Answer
Thanks for your recent telephone inquiry. I can confirm that some lots of this anti-CIC antibody A00385-1 are BSA free. For now, these lots are available and we can make a BSA free formula for you free of charge. It will take 3 extra days to prepare. If you require this antibody BSA free again in future, please do not hesitate to contact me and I will be pleased to check which lots we have in stock that are BSA free.
Boster Scientific Support
Answered: 2016-11-14
Question
Is this A00385-1 anti-CIC antibody reactive to the isotypes of CIC?
E. Edwards
Verified customer
Asked: 2014-09-25
Answer
The immunogen of A00385-1 anti-CIC antibody is E. coli-derived human CIC recombinant protein (Position: E1433-Q1527). Could you tell me which isotype you are interested in so I can help see if the immunogen is part of this isotype?
Boster Scientific Support
Answered: 2014-09-25


