Product Info Summary
| SKU: | M01639-1 |
|---|---|
| Size: | 100 μl |
| Reactive Species: | Human, Mouse, Rat |
| Host: | Rabbit |
| Application: | IHC, WB |
Customers Who Bought This Also Bought
Product info
Product Name
Anti-Cytokeratin 1 Rabbit Monoclonal Antibody
SKU/Catalog Number
M01639-1
BM4596 is an alternative SKU for this antibody, used in previous lots.
Size
100 μl
Form
Liquid
Description
Boster Bio Anti-Cytokeratin 1 Rabbit Monoclonal Antibody catalog # M01639-1. Tested in WB, IHC applications. This antibody reacts with Human, Mouse, Rat.
Storage & Handling
Store at -20°C for one year. For short term storage and frequent use, store at 4°C for up to one month. Avoid repeated freeze-thaw cycles.
Cite This Product
Anti-Cytokeratin 1 Rabbit Monoclonal Antibody (Boster Biological Technology, Pleasanton CA, USA, Catalog # M01639-1)
Host
Rabbit
Contents
Rabbit IgG in stabilizing components, phosphate buffered saline, pH 7.4, 150mM NaCl, 0.02% sodium azide and 50% glycerol.
*This antibody is supplied in a stabilized formulation.
Compatibility with conjugation reactions depends on the chemistry of the conjugation method used.
For conjugation methods that are not compatible with the stabilizing components present in this formulation, a carrier-free antibody format is required.
Clonality
Monoclonal
Clone Number
GBH-11
Isotype
Rabbit IgG
Immunogen
A synthesized peptide derived from human Cytokeratin 1
Reactive Species
M01639-1 is reactive to KRT1 in Human, Mouse, Rat
Observed Molecular Weight
66 kDa
Calculated molecular weight
66.0 kDa
Antibody Validation
Boster validates all antibodies on WB, IHC, ICC, Immunofluorescence, and ELISA with known positive control and negative samples to ensure specificity and high affinity, including thorough antibody incubations.
Application & Images
Applications
M01639-1 is guaranteed for IHC, WB Boster Guarantee
Assay Dilutions Recommendation
The recommendations below provide a starting point for assay optimization. The actual working concentration varies and should be decided by the user.
WB 1:5000-1:20000
IHC 1:50-1:200
Positive Control
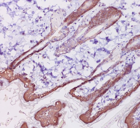
IHC: rat skin tissue
Validation Images & Assay Conditions
Click image to see more details
All lanes use the Antibody at 1:2W dilution for 1 hour at room temperature.
Click image to see more details
Western blot analysis of Cytokeratin 1 expression in Human skin lysate.
Click image to see more details
Immunohistochemical analysis of paraffin-embedded rat skin, using Cytokeratin 1 Antibody.
Specific Publications For Anti-Cytokeratin 1 Rabbit Monoclonal Antibody (M01639-1)
Loading publications
Recommended Resources
Here are featured tools and databases that you might find useful.
- Boster's Pathways Library
- Protein Databases
- Bioscience Research Protocol Resources
- Data Processing & Analysis Software
- Photo Editing Software
- Scientific Literature Resources
- Research Paper Management Tools
- Molecular Biology Software
- Primer Design Tools
- Bioinformatics Tools
- Phylogenetic Tree Analysis
Customer Reviews
Have you used Anti-Cytokeratin 1 Rabbit Monoclonal Antibody?
Share your experimental results or join a short interview to earn up to $1,000 in product credits or other rewards.
0 Reviews For Anti-Cytokeratin 1 Rabbit Monoclonal Antibody
Customer Q&As
Have a question?
Find answers in Q&As, reviews.
Can't find your answer?
Submit your question


