Product Info Summary
| SKU: | M01727 |
|---|---|
| Size: | 100 μl |
| Reactive Species: | Human, Mouse, Rat |
| Host: | Rabbit |
| Application: | Flow Cytometry, IP, IF, IHC, ICC, WB |
Customers Who Bought This Also Bought
Product info
Product Name
Anti-eIF5A Rabbit Monoclonal Antibody
SKU/Catalog Number
M01727
BM4476 is an alternative SKU for this antibody, used in previous lots.
Size
100 μl
Form
Liquid
Description
Boster Bio Anti-eIF5A Rabbit Monoclonal Antibody catalog # M01727. Tested in WB, IHC, ICC/IF, IP, Flow Cytometry applications. This antibody reacts with Human, Mouse, Rat.
Storage & Handling
Store at -20°C for one year. For short term storage and frequent use, store at 4°C for up to one month. Avoid repeated freeze-thaw cycles.
Cite This Product
Anti-eIF5A Rabbit Monoclonal Antibody (Boster Biological Technology, Pleasanton CA, USA, Catalog # M01727)
Host
Rabbit
Contents
Rabbit IgG in stabilizing components, phosphate buffered saline, pH 7.4, 150mM NaCl, 0.02% sodium azide and 50% glycerol.
*This antibody is supplied in a stabilized formulation.
Compatibility with conjugation reactions depends on the chemistry of the conjugation method used.
For conjugation methods that are not compatible with the stabilizing components present in this formulation, a carrier-free antibody format is required.
Clonality
Monoclonal
Clone Number
FAO-5
Isotype
Rabbit IgG
Immunogen
A synthesized peptide derived from human eIF5A
Reactive Species
M01727 is reactive to EIF5A in Human, Mouse, Rat
Observed Molecular Weight
18 kDa
Calculated molecular weight
16.8 kDa
Antibody Validation
Boster validates all antibodies on WB, IHC, ICC, Immunofluorescence, and ELISA with known positive control and negative samples to ensure specificity and high affinity, including thorough antibody incubations.
Application & Images
Applications
M01727 is guaranteed for Flow Cytometry, IP, IF, IHC, ICC, WB Boster Guarantee
Assay Dilutions Recommendation
The recommendations below provide a starting point for assay optimization. The actual working concentration varies and should be decided by the user.
WB 1:1000-5000
IHC 1:50-200
ICC/IF 1:50-200
IP 1:20
FC 1:20
Positive Control
IHC: human uterus cancer tissue
ICC/IF: Hela cell
Validation Images & Assay Conditions
Click image to see more details
All lanes use the Antibody at 1:5K dilution for 1 hour at room temperature.
Click image to see more details
Immunofluorescent analysis of Hela cells, using eIF5A Antibody.
Click image to see more details
Western blot analysis of eIF5A expression in Jurkat cell lysate.
Click image to see more details
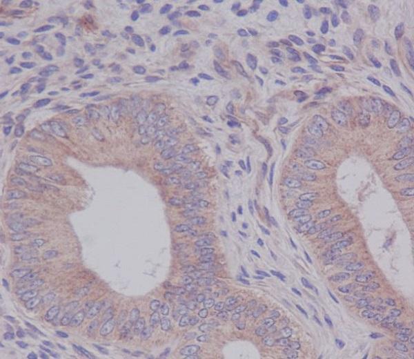
Immunohistochemical analysis of paraffin-embedded human uterus cancer, using eIF5A Antibody.
Specific Publications For Anti-eIF5A Rabbit Monoclonal Antibody (M01727)
Loading publications
Recommended Resources
Here are featured tools and databases that you might find useful.
- Boster's Pathways Library
- Protein Databases
- Bioscience Research Protocol Resources
- Data Processing & Analysis Software
- Photo Editing Software
- Scientific Literature Resources
- Research Paper Management Tools
- Molecular Biology Software
- Primer Design Tools
- Bioinformatics Tools
- Phylogenetic Tree Analysis
Customer Reviews
Have you used Anti-eIF5A Rabbit Monoclonal Antibody?
Share your experimental results or join a short interview to earn up to $1,000 in product credits or other rewards.
0 Reviews For Anti-eIF5A Rabbit Monoclonal Antibody
Customer Q&As
Have a question?
Find answers in Q&As, reviews.
Can't find your answer?
Submit your question
3 Customer Q&As for Anti-eIF5A Rabbit Monoclonal Antibody
Question
See below the WB image, lot number and protocol we used for right testis using anti-eIF5A Rabbit Monoclonal antibody M01727. Please let me know if you require anything else.
Verified Customer
Verified customer
Asked: 2019-05-14
Answer
Thank you very much for the data. Our lab team are working to resolve this as quickly as possible, and we appreciate your patience and understanding! You have provided everything we needed. Please let me know if there is anything you need in the meantime.
Boster Scientific Support
Answered: 2019-05-14
Question
Will anti-eIF5A Rabbit Monoclonal antibody M01727 work for IF with right testis?
Verified Customer
Verified customer
Asked: 2017-08-08
Answer
According to the expression profile of right testis, EIF5A is highly expressed in right testis. So, it is likely that anti-eIF5A Rabbit Monoclonal antibody M01727 will work for IF with right testis.
Boster Scientific Support
Answered: 2017-08-08
Question
I see that the anti-eIF5A Rabbit Monoclonal antibody M01727 works with IF, what is the protocol used to produce the result images on the product page?
C. Kulkarni
Verified customer
Asked: 2013-09-18
Answer
You can find protocols for IF on the "support/technical resources" section of our navigation menu. If you have any further questions, please send an email to support@bosterbio.com
Boster Scientific Support
Answered: 2013-09-18


