Product Info Summary
| SKU: | M09982-1 |
|---|---|
| Size: | 100 μg/vial |
| Reactive Species: | Human, Mouse, Rat |
| Host: | Mouse |
| Application: | Flow Cytometry, IF, IHC, ICC, WB |
Customers Who Bought This Also Bought
Product info
Product Name
Anti-hnRNP D/AUF1/HNRNPD Antibody Picoband® (monoclonal, 4F3)
SKU/Catalog Number
M09982-1
Size
100 μg/vial
Form
Lyophilized
Description
Boster Bio Anti-hnRNP D/AUF1/HNRNPD Antibody Picoband® (monoclonal, 4F3) catalog # M09982-1. Tested in Flow Cytometry, IF, IHC, ICC, WB applications. This antibody reacts with Human, Mouse, Rat. The brand Picoband indicates this is a premium antibody that guarantees superior quality, high affinity, and strong signals with minimal background in Western blot applications. Only our best-performing antibodies are designated as Picoband, ensuring unmatched performance.
Storage & Handling
Store at -20˚C for one year from date of receipt. After reconstitution, at 4˚C for one month. It can also be aliquotted and stored frozen at -20˚C for six months. Avoid repeated freeze-thaw cycles.
Cite This Product
Anti-hnRNP D/AUF1/HNRNPD Antibody Picoband® (monoclonal, 4F3) (Boster Biological Technology, Pleasanton CA, USA, Catalog # M09982-1)
Host
Mouse
Contents
Each vial contains 4mg Trehalose, 0.9mg NaCl, 0.2mg Na2HPO4, 0.01mg NaN3.
Clonality
Monoclonal
Clone Number
4F3
Isotype
Mouse IgG1
Immunogen
E.coli-derived human hnRNP D/AUF1/HNRNPD recombinant protein (Position: E88-N246).
Cross-reactivity
No cross-reactivity with other proteins.
Reactive Species
M09982-1 is reactive to HNRNPD in Human, Mouse, Rat
Observed Molecular Weight
43-45 kDa
Calculated molecular weight
38.4 kDa
Background of HNRNPD
Heterogeneous nuclear ribonucleoprotein D0 (HNRNPD) also known as AU-rich element RNA-binding protein 1 (AUF1) is a protein that in humans is encoded by the HNRNPD gene. It is mapped to 4q21.22. This gene belongs to the subfamily of ubiquitously expressed heterogeneous nuclear ribonucleoproteins (hnRNPs). The hnRNPs are nucleic acid binding proteins and they complex with heterogeneous nuclear RNA (hnRNA). These proteins are associated with pre-mRNAs in the nucleus and appear to influence pre-mRNA processing and other aspects of mRNA metabolism and transport. While all of the hnRNPs are present in the nucleus, some seem to shuttle between the nucleus and the cytoplasm. The hnRNP proteins have distinct nucleic acid binding properties. The protein encoded by this gene has two repeats of quasi-RRM domains that bind to RNAs. It localizes to both the nucleus and the cytoplasm. This protein is implicated in the regulation of mRNA stability. Alternative splicing of this gene results in four transcript variants.
Antibody Validation
Boster validates all antibodies on WB, IHC, ICC, Immunofluorescence, and ELISA with known positive control and negative samples to ensure specificity and high affinity, including thorough antibody incubations.
Application & Images
Applications
M09982-1 is guaranteed for Flow Cytometry, IF, IHC, ICC, WB Boster Guarantee
Assay Dilutions Recommendation
The recommendations below provide a starting point for assay optimization. The actual working concentration varies and should be decided by the user.
Western blot, 0.1-0.5μg/ml, Human, Mouse, Rat
Immunohistochemistry (Paraffin-embedded Section), 0.5-1μg/ml, Human, Rat
Immunocytochemistry/Immunofluorescence, 4μg/ml, Human
Immunofluorescence, 4μg/ml, Human
Flow Cytometry (Fixed), 1-3μg/1x106 cells, Human
Positive Control
WB: human HEK293 whole cell, human K562 whole cell, human A431 whole cell, human HEPG2 whole cell, human placenta tissue, rat brain tissue, mouse brain tissue
IHC: human rectal cancer tissue, rat brain tissue
ICC/IF: A431 cell
IF: human rectal cancer tissue
FCM: SiHa cell, U937 cell
Validation Images & Assay Conditions
Click image to see more details
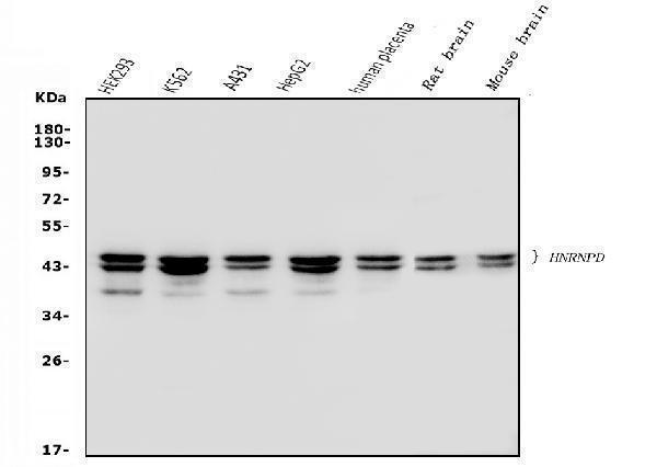
Western blot analysis of hnRNP D/AUF1/HNRNPD using anti-hnRNP D/AUF1/HNRNPD antibody (M09982-1).
Electrophoresis was performed on a 5-20% SDS-PAGE gel at 70V (Stacking gel) / 90V (Resolving gel) for 2-3 hours. The sample well of each lane was loaded with 50ug of sample under reducing conditions.
Lane 1: human HEK293 whole cell lysates,
Lane 2: human K562 whole cell lysates,
Lane 3: human A431 whole cell lysates,
Lane 4: human HEPG2 whole cell lysates,
Lane 5: human placenta tissue lysates,
Lane 6: rat brain tissue lysates,
Lane 7: mouse brain tissue lysates.
After Electrophoresis, proteins were transferred to a Nitrocellulose membrane at 150mA for 50-90 minutes. Blocked the membrane with 5% Non-fat Milk/ TBS for 1.5 hour at RT. The membrane was incubated with mouse anti-hnRNP D/AUF1/HNRNPD antigen affinity purified monoclonal antibody (Catalog # M09982-1) at 0.5 μg/mL overnight at 4°C, then washed with TBS-0.1%Tween 3 times with 5 minutes each and probed with a goat anti-mouse IgG-HRP secondary antibody at a dilution of 1:10000 for 1.5 hour at RT. The signal is developed using an Enhanced Chemiluminescent detection (ECL) kit (Catalog # EK1001) with Tanon 5200 system. A specific band was detected for hnRNP D/AUF1/HNRNPD at approximately 43-45KD. The expected band size for hnRNP D/AUF1/HNRNPD is at 38KD.
Click image to see more details
IHC analysis of hnRNP D/AUF1/HNRNPD using anti-hnRNP D/AUF1/HNRNPD antibody (M09982-1).
hnRNP D/AUF1/HNRNPD was detected in paraffin-embedded section of human rectal cancer tissue. Heat mediated antigen retrieval was performed in EDTA buffer (pH8.0, epitope retrieval solution). The tissue section was blocked with 10% goat serum. The tissue section was then incubated with 1μg/ml mouse anti-hnRNP D/AUF1/HNRNPD Antibody (M09982-1) overnight at 4°C. Biotinylated goat anti-mouse IgG was used as secondary antibody and incubated for 30 minutes at 37°C. The tissue section was developed using Strepavidin-Biotin-Complex (SABC) (Catalog # SA1021) with DAB as the chromogen.
Click image to see more details
IHC analysis of hnRNP D/AUF1/HNRNPD using anti-hnRNP D/AUF1/HNRNPD antibody (M09982-1).
hnRNP D/AUF1/HNRNPD was detected in paraffin-embedded section of rat brain tissue. Heat mediated antigen retrieval was performed in EDTA buffer (pH8.0, epitope retrieval solution). The tissue section was blocked with 10% goat serum. The tissue section was then incubated with 1μg/ml mouse anti-hnRNP D/AUF1/HNRNPD Antibody (M09982-1) overnight at 4°C. Biotinylated goat anti-mouse IgG was used as secondary antibody and incubated for 30 minutes at 37°C. The tissue section was developed using Strepavidin-Biotin-Complex (SABC) (Catalog # SA1021) with DAB as the chromogen.
Click image to see more details
IF analysis of hnRNP D/AUF1/HNRNPD using anti-hnRNP D/AUF1/HNRNPD antibody (M09982-1).
hnRNP D/AUF1/HNRNPD was detected in paraffin-embedded section of human rectal cancer tissue. Heat mediated antigen retrieval was performed in EDTA buffer (pH8.0, epitope retrieval solution). The tissue section was blocked with 10% goat serum. The tissue section was then incubated with 4μg/mL mouse anti-hnRNP D/AUF1/HNRNPD Antibody (M09982-1) overnight at 4°C. Biotin conjugated goat anti-mouse IgG (BA1001) was used as secondary antibody and incubated for 30 minutes at 37°C. The tissue section was developed using DyLight®488 Conjugated Avidin (BA1128). The section was counterstained with DAPI. Visualize using a fluorescence microscope and filter sets appropriate for the label used.
Click image to see more details
Flow Cytometry analysis of SiHa cells using anti- hnRNP D/AUF1/HNRNPD antibody (M09982-1).
Overlay histogram showing SiHa cells stained with M09982-1 (Blue line). To facilitate intracellular staining, cells were fixed with 4% paraformaldehyde and permeabilized with permeabilization buffer. The cells were blocked with 10% normal goat serum. And then incubated with mouse anti-hnRNP D/AUF1/HNRNPD Antibody (M09982-1, 1μg/1x106 cells) for 30 min at 20°C. DyLight®488 conjugated goat anti-mouse IgG (BA1126, 5-10μg/1x106 cells) was used as secondary antibody for 30 minutes at 20°C. Isotype control antibody (Green line) was mouse IgG (1μg/1x106) used under the same conditions. Unlabelled sample without incubation with primary antibody and secondary antibody (Red line) was used as a blank control.
Click image to see more details
Flow Cytometry analysis of U937 cells using anti- hnRNP D/AUF1/HNRNPD antibody (M09982-1).
Overlay histogram showing U937 cells stained with M09982-1 (Blue line). To facilitate intracellular staining, cells were fixed with 4% paraformaldehyde and permeabilized with permeabilization buffer. The cells were blocked with 10% normal goat serum. And then incubated with mouse anti-hnRNP D/AUF1/HNRNPD Antibody (M09982-1, 1μg/1x106 cells) for 30 min at 20°C. DyLight®488 conjugated goat anti-mouse IgG (BA1126, 5-10μg/1x106 cells) was used as secondary antibody for 30 minutes at 20°C. Isotype control antibody (Green line) was mouse IgG (1μg/1x106) used under the same conditions. Unlabelled sample without incubation with primary antibody and secondary antibody (Red line) was used as a blank control.
Click image to see more details
IF analysis of hnRNP D/AUF1/HNRNPD using anti-hnRNP D/AUF1/HNRNPD antibody (M09982-1).
hnRNP D/AUF1/HNRNPD was detected in an immunocytochemical section of A431 cells. Enzyme antigen retrieval was performed using IHC enzyme antigen retrieval reagent (AR0022) for 15 mins. The cells were blocked with 10% goat serum. And then incubated with 5 μg/mL mouse anti-hnRNP D/AUF1/HNRNPD Antibody (M09982-1) overnight at 4°C. DyLight®488 Conjugated Goat Anti-Mouse IgG (BA1126) was used as secondary antibody at 1:500 dilution and incubated for 30 minutes at 37°C. Visualize using a fluorescence microscope and filter sets appropriate for the label used.
Specific Publications For Anti-hnRNP D/AUF1/HNRNPD Antibody Picoband® (monoclonal, 4F3) (M09982-1)
Loading publications
Recommended Resources
Here are featured tools and databases that you might find useful.
- Boster's Pathways Library
- Protein Databases
- Bioscience Research Protocol Resources
- Data Processing & Analysis Software
- Photo Editing Software
- Scientific Literature Resources
- Research Paper Management Tools
- Molecular Biology Software
- Primer Design Tools
- Bioinformatics Tools
- Phylogenetic Tree Analysis
Customer Reviews
Have you used Anti-hnRNP D/AUF1/HNRNPD Antibody Picoband® (monoclonal, 4F3)?
Share your experimental results or join a short interview to earn up to $1,000 in product credits or other rewards.
0 Reviews For Anti-hnRNP D/AUF1/HNRNPD Antibody Picoband® (monoclonal, 4F3)
Customer Q&As
Have a question?
Find answers in Q&As, reviews.
Can't find your answer?
Submit your question


