Product Info Summary
| SKU: | M01103-4 |
|---|---|
| Size: | 100 μg/vial |
| Reactive Species: | Human, Monkey, Mouse, Rat |
| Host: | Mouse |
| Application: | Flow Cytometry, IF, IHC, ICC, WB |
Customers Who Bought This Also Bought
Product info
Product Name
Anti-Hsp90 alpha Antibody Picoband® (monoclonal, 6B5)
SKU/Catalog Number
M01103-4
Size
100 μg/vial
Form
Lyophilized
Description
Boster Bio Anti-Hsp90 alpha Antibody Picoband® (monoclonal, 6B5) catalog # M01103-4. Tested in Flow Cytometry, IF, IHC, ICC, WB applications. This antibody reacts with Human, Monkey, Mouse, Rat. The brand Picoband indicates this is a premium antibody that guarantees superior quality, high affinity, and strong signals with minimal background in Western blot applications. Only our best-performing antibodies are designated as Picoband, ensuring unmatched performance.
Storage & Handling
Store at -20˚C for one year from date of receipt. After reconstitution, at 4˚C for one month. It can also be aliquotted and stored frozen at -20˚C for six months. Avoid repeated freeze-thaw cycles.
Cite This Product
Anti-Hsp90 alpha Antibody Picoband® (monoclonal, 6B5) (Boster Biological Technology, Pleasanton CA, USA, Catalog # M01103-4)
Host
Mouse
Contents
Each vial contains 4mg Trehalose, 0.9mg NaCl and 0.2mg Na2HPO4.
Clonality
Monoclonal
Clone Number
6B5
Isotype
Mouse IgG2b
Immunogen
A synthetic peptide corresponding to a sequence at the C-terminus of human Hsp90 alpha, identical to the related mouse and rat sequences.
Cross-reactivity
No cross-reactivity with other proteins.
Reactive Species
M01103-4 is reactive to HSP90AA1 in Human, Monkey, Mouse, Rat
Observed Molecular Weight
90 kDa
Calculated molecular weight
84.7 kDa
Background of HSP90AA1
Heat shock protein HSP 90-alpha is a protein that in humans is encoded by the HSP90AA1 gene. The gene, HSP90AA1, encodes the human stress-inducible 90-kDa heat shock protein alpha (Hsp90A). Complemented by the constitutively expressed paralog Hsp90B which shares over 85% amino acid sequence identity, Hsp90A expression is initiated when a cell experiences proteotoxic stress. Once expressed Hsp90A dimers operate as molecular chaperones that bind and fold other proteins into their functional 3-dimensional structures. This molecular chaperoning ability of Hsp90A is driven by a cycle of structural rearrangements fueled by ATP hydrolysis. Current research on Hsp90A focuses in its role as a drug target due to its interaction with a large number of tumor promoting proteins and its role in cellular stress adaptation.
Antibody Validation
Boster validates all antibodies on WB, IHC, ICC, Immunofluorescence, and ELISA with known positive control and negative samples to ensure specificity and high affinity, including thorough antibody incubations.
Application & Images
Applications
M01103-4 is guaranteed for Flow Cytometry, IF, IHC, ICC, WB Boster Guarantee
Assay Dilutions Recommendation
The recommendations below provide a starting point for assay optimization. The actual working concentration varies and should be decided by the user.
Western blot, 0.25-0.5μg/ml, Human, Mouse, Rat, Monkey
Immunohistochemistry (Paraffin-embedded Section), 2-5μg/ml, Human
Immunocytochemistry/Immunofluorescence, 5μg/ml, Human
Flow Cytometry (Fixed), 1-3μg/1x106 cells, Human
Positive Control
WB: human Hela whole cell, human HEK293 whole cell, monkey COS-7 whole cell, human HepG2 whole cell, human A549 whole cell, rat PC-12 whole cell, rat RH35 whole cell, mouse HEPA1-6 whole cell
IHC: human cervical cancer tissue, human colon cancer tissue, human lung cancer tissue, human testis cancer tissue
ICC/IF: SiHa cell
FCM: A549 cell
Validation Images & Assay Conditions
Click image to see more details
Western blot analysis of Hsp90 alpha using anti-Hsp90 alpha antibody (M01103-4).
Electrophoresis was performed on a 5-20% SDS-PAGE gel at 70V (Stacking gel) / 90V (Resolving gel) for 2-3 hours. The sample well of each lane was loaded with 30ug of sample under reducing conditions.
Lane 1: human Hela whole cell lysates,
Lane 2: human HEK293 whole cell lysates,
Lane 3: monkey COS-7 whole cell lysates,
Lane 4: human HepG2 whole cell lysates,
Lane 5: human A549 whole cell lysates,
Lane 6: rat PC-12 whole cell lysates,
Lane 7: rat RH35 whole cell lysates,
Lane 8: mouse HEPA1-6 whole cell lysates.
After Electrophoresis, proteins were transferred to a Nitrocellulose membrane at 150mA for 50-90 minutes. Blocked the membrane with 5% Non-fat Milk/ TBS for 1.5 hour at RT. The membrane was incubated with mouse anti-Hsp90 alpha antigen affinity purified monoclonal antibody (Catalog # M01103-4) at 0.5 μg/mL overnight at 4°C, then washed with TBS-0.1%Tween 3 times with 5 minutes each and probed with a goat anti-mouse IgG-HRP secondary antibody at a dilution of 1:10000 for 1.5 hour at RT. The signal is developed using an Enhanced Chemiluminescent detection (ECL) kit (Catalog # EK1001) with Tanon 5200 system. A specific band was detected for Hsp90 alpha at approximately 90KD. The expected band size for Hsp90 alpha is at 90KD.
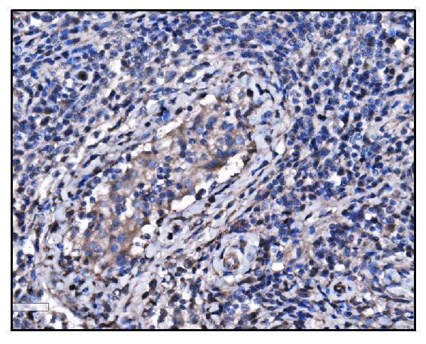
Click image to see more details
IHC analysis of Hsp90 alpha using anti-Hsp90 alpha antibody (M01103-4).
Hsp90 alpha was detected in paraffin-embedded section of human cervical cancer tissue. Heat mediated antigen retrieval was performed in EDTA buffer (pH8.0, epitope retrieval solution). The tissue section was blocked with 10% goat serum. The tissue section was then incubated with 2μg/ml mouse anti-Hsp90 alpha Antibody (M01103-4) overnight at 4°C. Biotinylated goat anti-mouse IgG was used as secondary antibody and incubated for 30 minutes at 37°C. The tissue section was developed using Strepavidin-Biotin-Complex (SABC) (Catalog # SA1021) with DAB as the chromogen.
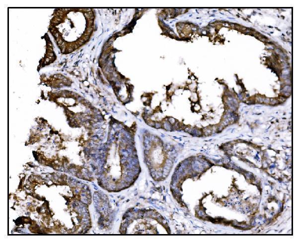
Click image to see more details
IHC analysis of Hsp90 alpha using anti-Hsp90 alpha antibody (M01103-4).
Hsp90 alpha was detected in paraffin-embedded section of human colon cancer tissue. Heat mediated antigen retrieval was performed in EDTA buffer (pH8.0, epitope retrieval solution). The tissue section was blocked with 10% goat serum. The tissue section was then incubated with 2μg/ml mouse anti-Hsp90 alpha Antibody (M01103-4) overnight at 4°C. Biotinylated goat anti-mouse IgG was used as secondary antibody and incubated for 30 minutes at 37°C. The tissue section was developed using Strepavidin-Biotin-Complex (SABC) (Catalog # SA1021) with DAB as the chromogen.
Click image to see more details
IHC analysis of Hsp90 alpha using anti-Hsp90 alpha antibody (M01103-4).
Hsp90 alpha was detected in paraffin-embedded section of human lung cancer tissue. Heat mediated antigen retrieval was performed in EDTA buffer (pH8.0, epitope retrieval solution). The tissue section was blocked with 10% goat serum. The tissue section was then incubated with 2μg/ml mouse anti-Hsp90 alpha Antibody (M01103-4) overnight at 4°C. Biotinylated goat anti-mouse IgG was used as secondary antibody and incubated for 30 minutes at 37°C. The tissue section was developed using Strepavidin-Biotin-Complex (SABC) (Catalog # SA1021) with DAB as the chromogen.
Click image to see more details
IHC analysis of Hsp90 alpha using anti-Hsp90 alpha antibody (M01103-4).
Hsp90 alpha was detected in paraffin-embedded section of human testis cancer tissue. Heat mediated antigen retrieval was performed in EDTA buffer (pH8.0, epitope retrieval solution). The tissue section was blocked with 10% goat serum. The tissue section was then incubated with 2μg/ml mouse anti-Hsp90 alpha Antibody (M01103-4) overnight at 4°C. Biotinylated goat anti-mouse IgG was used as secondary antibody and incubated for 30 minutes at 37°C. The tissue section was developed using Strepavidin-Biotin-Complex (SABC) (Catalog # SA1021) with DAB as the chromogen.
Click image to see more details
IF analysis of Hsp90 alpha using anti-Hsp90 alpha antibody (M01103-4).
Hsp90 alpha was detected in immunocytochemical section of SiHa cells. Enzyme antigen retrieval was performed using IHC enzyme antigen retrieval reagent (AR0022) for 15 mins. The cells were blocked with 10% goat serum. And then incubated with 5μg/mL mouse anti-Hsp90 alpha Antibody (M01103-4) overnight at 4°C. DyLight®488 Conjugated Goat Anti-Mouse IgG (BA1126) was used as secondary antibody at 1:100 dilution and incubated for 30 minutes at 37°C. The section was counterstained with DAPI. Visualize using a fluorescence microscope and filter sets appropriate for the label used.
Click image to see more details
Flow Cytometry analysis of A549 cells using anti-Hsp90 alpha antibody (M01103-4).
Overlay histogram showing A549 cells stained with M01103-4 (Blue line). To facilitate intracellular staining, cells were fixed with 4% paraformaldehyde and permeabilized with permeabilization buffer. The cells were blocked with 10% normal goat serum. And then incubated with mouse anti-Hsp90 alpha Antibody (M01103-4, 1μg/1x106 cells) for 30 min at 20°C. DyLight®488 conjugated goat anti-mouse IgG (BA1126, 5-10μg/1x106 cells) was used as secondary antibody for 30 minutes at 20°C. Isotype control antibody (Green line) was mouse IgG (1μg/1x106) used under the same conditions. Unlabelled sample without incubation with primary antibody and secondary antibody (Red line) was used as a blank control.
Specific Publications For Anti-Hsp90 alpha Antibody Picoband® (monoclonal, 6B5) (M01103-4)
Loading publications
Recommended Resources
Here are featured tools and databases that you might find useful.
- Boster's Pathways Library
- Protein Databases
- Bioscience Research Protocol Resources
- Data Processing & Analysis Software
- Photo Editing Software
- Scientific Literature Resources
- Research Paper Management Tools
- Molecular Biology Software
- Primer Design Tools
- Bioinformatics Tools
- Phylogenetic Tree Analysis
Customer Reviews
Have you used Anti-Hsp90 alpha Antibody Picoband® (monoclonal, 6B5)?
Share your experimental results or join a short interview to earn up to $1,000 in product credits or other rewards.
0 Reviews For Anti-Hsp90 alpha Antibody Picoband® (monoclonal, 6B5)
Customer Q&As
Have a question?
Find answers in Q&As, reviews.
Can't find your answer?
Submit your question
1 Customer Q&As for Anti-Hsp90 alpha Antibody Picoband® (monoclonal, 6B5)
Question
Would you please clarify the immunogen for Anti-Hsp90 Alpha Antibody Picoband™ (Monoclonal, 6B5) (M01103-4)?
Verified customer
Asked: 2022-03-17
Answer
The immunogen for this antibody is E.coli-derived human PTBP2 recombinant protein (Position: M1-A504), a synthetic peptide corresponding to a sequence at the C-terminus of human Hsp90 alpha (454-488aa QNRKKLSELLRYYTSASGDEMVSLKDYCTRMKENQ), identical to the related mouse and rat sequences.
Boster Scientific Support
Answered: 2022-03-17


