Product Info Summary
| SKU: | A01379 |
|---|---|
| Size: | 100ul |
| Reactive Species: | Human, Mouse, Rat |
| Host: | Rabbit |
| Application: | IF, IHC, ICC |
Customers Who Bought This Also Bought
Product info
Product Name
Anti-ID3 Antibody
SKU/Catalog Number
A01379
Size
100ul
Form
Liquid
Description
Boster Bio Anti-ID3 Antibody catalog # A01379. Tested in IHC,ICC/IF applications. This antibody reacts with Human,Mouse,Rat.
Storage & Handling
Store at -20°C for one year. For short term storage and frequent use, store at 4°C for up to one month. Avoid repeated freeze-thaw cycles.
Cite This Product
Anti-ID3 Antibody (Boster Biological Technology, Pleasanton CA, USA, Catalog # A01379)
Host
Rabbit
Contents
Rabbit IgG, 1mg/ml in PBS with 0.02% sodium azide, 50% glycerol, pH7.2
Clonality
Polyclonal
Isotype
IgG
Immunogen
Recombinant fusion protein of human ID3(NP_002158.3).
Cross-reactivity
No cross reactivity with other proteins.
Reactive Species
A01379 is reactive to ID3 in Human, Mouse, Rat
Calculated molecular weight
13.0 kDa
Antibody Validation
Boster validates all antibodies on WB, IHC, ICC, Immunofluorescence, and ELISA with known positive control and negative samples to ensure specificity and high affinity, including thorough antibody incubations.
Application & Images
Applications
A01379 is guaranteed for IF, IHC, ICC Boster Guarantee
Assay Dilutions Recommendation
The recommendations below provide a starting point for assay optimization. The actual working concentration varies and should be decided by the user.
IHC: 1:50-1:200
ICC/IF: 1:50-1:100
Validation Images & Assay Conditions
Click image to see more details
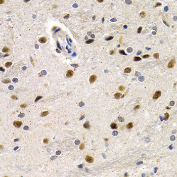
Immunohistochemistry of paraffin-embedded rat brain using ID3 antibody at dilution of 1:200 .Perform microwave antigen retrieval with 10 mM PBS buffer pH 7.2 before commencing with IHC staining protocol.
Click image to see more details
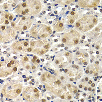
Immunohistochemistry of paraffin-embedded mouse pancreas using ID3 antibody at dilution of 1:200 .Perform microwave antigen retrieval with 10 mM PBS buffer pH 7.2 before commencing with IHC staining protocol.
Click image to see more details
Immunohistochemistry of paraffin-embedded human lung cancer using ID3 antibody at dilution of 1:200 .Perform microwave antigen retrieval with 10 mM PBS buffer pH 7.2 before commencing with IHC staining protocol.
Click image to see more details
Immunofluorescence analysis of HeLa cells using ID3 antibody .
Specific Publications For Anti-ID3 Antibody (A01379)
Loading publications
Recommended Resources
Here are featured tools and databases that you might find useful.
- Boster's Pathways Library
- Protein Databases
- Bioscience Research Protocol Resources
- Data Processing & Analysis Software
- Photo Editing Software
- Scientific Literature Resources
- Research Paper Management Tools
- Molecular Biology Software
- Primer Design Tools
- Bioinformatics Tools
- Phylogenetic Tree Analysis
Customer Reviews
Have you used Anti-ID3 Antibody?
Share your experimental results or join a short interview to earn up to $1,000 in product credits or other rewards.
0 Reviews For Anti-ID3 Antibody
Customer Q&As
Have a question?
Find answers in Q&As, reviews.
Can't find your answer?
Submit your question

