Product Info Summary
| SKU: | A05609 |
|---|---|
| Size: | 100ul |
| Reactive Species: | Human, Mouse, Rat |
| Host: | Rabbit |
| Application: | IP, IHC, WB |
Customers Who Bought This Also Bought
Product info
Product Name
Anti-JunD (V249) Antibody
SKU/Catalog Number
A05609
Size
100ul
Form
Liquid
Description
Boster Bio Anti-JunD (V249) Antibody catalog # A05609. Tested in WB,IHC,IP applications. This antibody reacts with Human,Mouse,Rat.
Storage & Handling
Store at -20°C for one year. For short term storage and frequent use, store at 4°C for up to one month. Avoid repeated freeze-thaw cycles.
Cite This Product
Anti-JunD (V249) Antibody (Boster Biological Technology, Pleasanton CA, USA, Catalog # A05609)
Host
Rabbit
Contents
Rabbit IgG, 1mg/ml in PBS with 0.02% sodium azide, 50% glycerol, pH7.2
Clonality
Polyclonal
Isotype
IgG
Immunogen
Synthetic peptide, corresponding to amino acids 220-270 of Human JunD.
Reactive Species
A05609 is reactive to JUND in Human, Mouse, Rat
Observed Molecular Weight
111 kDa
Calculated molecular weight
35.2 kDa
Antibody Validation
Boster validates all antibodies on WB, IHC, ICC, Immunofluorescence, and ELISA with known positive control and negative samples to ensure specificity and high affinity, including thorough antibody incubations.
Application & Images
Applications
A05609 is guaranteed for IP, IHC, WB Boster Guarantee
Assay Dilutions Recommendation
The recommendations below provide a starting point for assay optimization. The actual working concentration varies and should be decided by the user.
WB: 1:500-1:1000
IHC: 1:50-1:200
IP: 1:50-1:200
Validation Images & Assay Conditions
Click image to see more details
Western blot (WB) analysis of JunD (V249) polyclonal antibody in extracts from A549 cells.
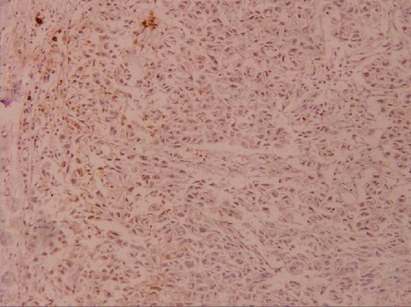
Click image to see more details
Immunohistochemistry (IHC) analyzes of JunD (V249) pAb in paraffin-embedded human breast carcinoma tissue at 1:100.
Specific Publications For Anti-JunD (V249) Antibody (A05609)
Loading publications
Recommended Resources
Here are featured tools and databases that you might find useful.
- Boster's Pathways Library
- Protein Databases
- Bioscience Research Protocol Resources
- Data Processing & Analysis Software
- Photo Editing Software
- Scientific Literature Resources
- Research Paper Management Tools
- Molecular Biology Software
- Primer Design Tools
- Bioinformatics Tools
- Phylogenetic Tree Analysis
Customer Reviews
Have you used Anti-JunD (V249) Antibody?
Share your experimental results or join a short interview to earn up to $1,000 in product credits or other rewards.
0 Reviews For Anti-JunD (V249) Antibody
Customer Q&As
Have a question?
Find answers in Q&As, reviews.
Can't find your answer?
Submit your question

