Product Info Summary
| SKU: | A04114 |
|---|---|
| Size: | 100ul |
| Reactive Species: | Human, Mouse, Rat |
| Host: | Rabbit |
| Application: | ELISA, IF, IHC, ICC |
Customers Who Bought This Also Bought
Product info
Product Name
Anti-LEG2 LGALS2 Antibody
SKU/Catalog Number
A04114
Size
100ul
Form
Liquid
Description
Boster Bio Anti-LEG2 LGALS2 Antibody (Catalog# A04114). Tested in IHC, ICC, IF, ELISA applications. This antibody reacts with Human, Mouse, Rat.
Storage & Handling
Store at -20°C for one year. For short-term storage and frequent use, store at 4°C for up to one month. Avoid repeated freeze-thaw cycles.
Cite This Product
Anti-LEG2 LGALS2 Antibody (Boster Biological Technology, Pleasanton CA, USA, Catalog # A04114)
Host
Rabbit
Contents
PBS containing 50% glycerol, 0.5% stabilizing protein and 0.02% sodium azide.
*This antibody is supplied in a stabilized formulation.
Compatibility with conjugation reactions depends on the chemistry of the conjugation method used.
For conjugation methods that are not compatible with the stabilizing components present in this formulation, a carrier-free antibody format is required.
Clonality
Polyclonal
Isotype
Rabbit IgG
Immunogen
A peptide derived from human LEG2. Immunogen sequence location: 31-80
Cross-reactivity
No cross reactivity with other proteins.
Reactive Species
A04114 is reactive to LGALS2 in Human, Mouse, Rat
Observed Molecular Weight
72 kDa
Calculated molecular weight
14.6 kDa
Antibody Validation
Boster validates all antibodies on WB, IHC, ICC, Immunofluorescence, and ELISA with known positive control and negative samples to ensure specificity and high affinity, including thorough antibody incubations.
Application & Images
Applications
A04114 is guaranteed for ELISA, IF, IHC, ICC Boster Guarantee
Assay Dilutions Recommendation
The recommendations below provide a starting point for assay optimization. The actual working concentration varies and should be decided by the user.
IHC 1:100 - 1:300.
ICC/IF 1:200 - 1:1000.
ELISA: 1:5000.
Not yet tested in other applications.
Validation Images & Assay Conditions
Click image to see more details
Immunofluorescence analysis of COS7 cells, using LEG2 Antibody. The picture on the right is blocked with the synthesized peptide.
Click image to see more details
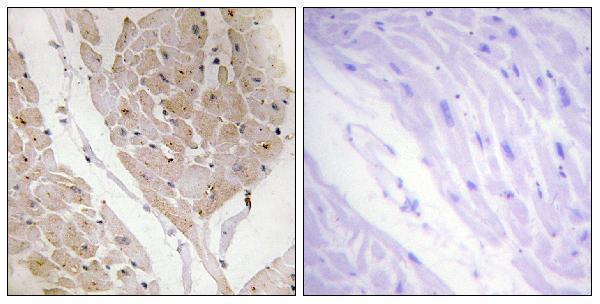
Immunohistochemistry analysis of paraffin-embedded human heart tissue, using LEG2 Antibody. The picture on the right is blocked with the synthesized peptide.
Specific Publications For Anti-LEG2 LGALS2 Antibody (A04114)
Loading publications
Recommended Resources
Here are featured tools and databases that you might find useful.
- Boster's Pathways Library
- Protein Databases
- Bioscience Research Protocol Resources
- Data Processing & Analysis Software
- Photo Editing Software
- Scientific Literature Resources
- Research Paper Management Tools
- Molecular Biology Software
- Primer Design Tools
- Bioinformatics Tools
- Phylogenetic Tree Analysis
Customer Reviews
Have you used Anti-LEG2 LGALS2 Antibody?
Share your experimental results or join a short interview to earn up to $1,000 in product credits or other rewards.
0 Reviews For Anti-LEG2 LGALS2 Antibody
Customer Q&As
Have a question?
Find answers in Q&As, reviews.
Can't find your answer?
Submit your question
13 Customer Q&As for Anti-LEG2 LGALS2 Antibody
Question
Would anti-LEG2 antibody A04114 work on horse IHC with body of pancreas?
Verified Customer
Verified customer
Asked: 2019-11-15
Answer
Our lab technicians have not validated anti-LEG2 antibody A04114 on horse. You can run a BLAST between horse and the immunogen sequence of anti-LEG2 antibody A04114 to see if they may cross-react. If the sequence homology is close, then you can perform a pilot test. Keep in mind that since we have not validated horse samples, this use of the antibody is not covered by our guarantee. However we have an innovator award program that if you test this antibody and show it works in horse body of pancreas in IHC, you can get your next antibody for free.
Boster Scientific Support
Answered: 2019-11-15
Question
See below the WB image, lot number and protocol we used for colon using anti-LEG2 antibody A04114. Please let me know if you require anything else.
Verified Customer
Verified customer
Asked: 2019-06-27
Answer
Thank you very much for the data. Our lab team are working to resolve this as quickly as possible, and we appreciate your patience and understanding! You have provided everything we needed. Please let me know if there is anything you need in the meantime.
Boster Scientific Support
Answered: 2019-06-27
Question
Is a blocking peptide available for product anti-LEG2 antibody (A04114)?
Verified Customer
Verified customer
Asked: 2019-06-26
Answer
We do provide the blocking peptide for product anti-LEG2 antibody (A04114). If you would like to place an order for it please contact support@bosterbio.com and make a special request.
Boster Scientific Support
Answered: 2019-06-26
Question
Will anti-LEG2 antibody A04114 work for IF with colon?
P. Evans
Verified customer
Asked: 2018-10-23
Answer
According to the expression profile of colon, LGALS2 is highly expressed in colon. So, it is likely that anti-LEG2 antibody A04114 will work for IF with colon.
Boster Scientific Support
Answered: 2018-10-23
Question
I see that the anti-LEG2 antibody A04114 works with IF, what is the protocol used to produce the result images on the product page?
Verified Customer
Verified customer
Asked: 2018-09-03
Answer
You can find protocols for IF on the "support/technical resources" section of our navigation menu. If you have any further questions, please send an email to support@bosterbio.com
Boster Scientific Support
Answered: 2018-09-03
Question
I was wanting to use your anti-LEG2 antibody for IF for rat colon on frozen tissues, but I want to know if it has been validated for this particular application. Has this antibody been validated and is this antibody a good choice for rat colon identification?
Verified Customer
Verified customer
Asked: 2017-10-20
Answer
As indicated on the product datasheet, A04114 anti-LEG2 antibody has been tested for IF, IHC on human, mouse, rat tissues. We have an innovator award program that if you test this antibody and show it works in rat colon in IHC-frozen, you can get your next antibody for free.
Boster Scientific Support
Answered: 2017-10-20
Question
We want to test anti-LEG2 antibody A04114 on rat colon for research purposes, then I may be interested in using anti-LEG2 antibody A04114 for diagnostic purposes as well. Is the antibody suitable for diagnostic purposes?
M. Lewis
Verified customer
Asked: 2017-07-14
Answer
The products we sell, including anti-LEG2 antibody A04114, are only intended for research use. They would not be suitable for use in diagnostic work. If you have the means to develop a product into diagnostic use, and are interested in collaborating with us and develop our product into an IVD product, please contact us for more discussions.
Boster Scientific Support
Answered: 2017-07-14
Question
Is this A04114 anti-LEG2 antibody reactive to the isotypes of LGALS2?
Verified Customer
Verified customer
Asked: 2017-05-26
Answer
The immunogen of A04114 anti-LEG2 antibody is A peptide derived from human LEG2. Immunogen sequence location: 31-80. Could you tell me which isotype you are interested in so I can help see if the immunogen is part of this isotype?
Boster Scientific Support
Answered: 2017-05-26
Question
I have a question about product A04114, anti-LEG2 antibody. I was wondering if it would be possible to conjugate this antibody with biotin. I would need it to be without BSA or sodium azide. I am planning on using a buffer exchange of sodium azide with PBS only. Would there be problems for me to conjugate the antibody and store it in -20 degrees in small aliquots?
B. Parker
Verified customer
Asked: 2016-02-02
Answer
We do not advise storing this antibody with PBS buffer only in -20 degrees. If you want to store it in -20 degrees it is best to add some cryoprotectant like glycerol. If you want carrier free A04114 anti-LEG2 antibody, we can provide it to you in a special formula with trehalose and/or glycerol. These molecules will not interfere with conjugation chemistry and provide a good level of protection for the antibody from degradation. Please be sure to specify this in your purchase order.
Boster Scientific Support
Answered: 2016-02-02
Question
We appreciate helping with my inquiry over the phone. Here are the WB image, lot number and protocol we used for colon using anti-LEG2 antibody A04114. Let me know if you need anything else.
H. Zhao
Verified customer
Asked: 2015-10-30
Answer
I appreciate the data. You have provided everything we needed. Our lab team are working to resolve your inquiry as quickly as possible, and we appreciate your patience and understanding! Please let me know if there is anything you need in the meantime.
Boster Scientific Support
Answered: 2015-10-30
Question
We are currently using anti-LEG2 antibody A04114 for human tissue, and we are satisfied with the IHC results. The species of reactivity given in the datasheet says human, mouse, rat. Is it possible that the antibody can work on primate tissues as well?
B. Jackson
Verified customer
Asked: 2014-12-26
Answer
The anti-LEG2 antibody (A04114) has not been tested for cross reactivity specifically with primate tissues, though there is a good chance of cross reactivity. We have an innovator award program that if you test this antibody and show it works in primate you can get your next antibody for free. Please contact me if I can help you with anything.
Boster Scientific Support
Answered: 2014-12-26
Question
Would A04114 anti-LEG2 antibody work on parafin embedded sections? If so, which fixation method do you recommend we use (PFA, paraformaldehyde, other)?
M. Li
Verified customer
Asked: 2014-11-28
Answer
As indicated on the product datasheet, A04114 anti-LEG2 antibody as been tested on IF. It is best to use PFA for fixation because it has better tissue penetration ability. PFA needs to be prepared fresh before use. Long term stored PFA turns into formalin, as the PFA molecules congregate and become formalin.
Boster Scientific Support
Answered: 2014-11-28
Question
Do you have a BSA free version of anti-LEG2 antibody A04114 available?
C. Jha
Verified customer
Asked: 2013-08-23
Answer
I appreciate your recent telephone inquiry. I can confirm that some lots of this anti-LEG2 antibody A04114 are BSA free. For now, these lots are available and we can make a BSA free formula for you free of charge. It will take 3 extra days to prepare. If you require this antibody BSA free again in future, please do not hesitate to contact me and I will be pleased to check which lots we have in stock that are BSA free.
Boster Scientific Support
Answered: 2013-08-23

