Product Info Summary
| SKU: | A11085-1 |
|---|---|
| Size: | 100ul |
| Reactive Species: | Human, Mouse |
| Host: | Rabbit |
| Application: | ELISA, IF, IHC, ICC, WB |
Customers Who Bought This Also Bought
Product info
Product Name
Anti-MAST4 Antibody
SKU/Catalog Number
A11085-1
Size
100ul
Form
Liquid
Description
Boster Bio Anti-MAST4 Antibody (Catalog# A11085-1). Tested in WB, IHC, ICC, IF, ELISA applications. This antibody reacts with Human, Mouse.
Storage & Handling
Store at -20°C for one year. For short-term storage and frequent use, store at 4°C for up to one month. Avoid repeated freeze-thaw cycles.
Cite This Product
Anti-MAST4 Antibody (Boster Biological Technology, Pleasanton CA, USA, Catalog # A11085-1)
Host
Rabbit
Contents
PBS containing 50% glycerol, 0.5% stabilizing protein and 0.02% sodium azide.
This antibody is supplied in a stabilized formulation.
Compatibility with conjugation reactions depends on the chemistry of the conjugation method used.
For conjugation methods that are not compatible with the stabilizing components present in this formulation, a carrier-free antibody format is required.
Clonality
Polyclonal
Isotype
Rabbit IgG
Immunogen
A peptide derived from human MAST4. Immunogen sequence location: 251-300
Reactive Species
A11085-1 is reactive to MAST4 in Human, Mouse
Observed Molecular Weight
72 kDa
Calculated molecular weight
284.1 kDa
Antibody Validation
Boster validates all antibodies on WB, IHC, ICC, Immunofluorescence, and ELISA with known positive control and negative samples to ensure specificity and high affinity, including thorough antibody incubations.
Application & Images
Applications
A11085-1 is guaranteed for ELISA, IF, IHC, ICC, WB Boster Guarantee
Assay Dilutions Recommendation
The recommendations below provide a starting point for assay optimization. The actual working concentration varies and should be decided by the user.
WB 1:500 - 1:2000.
IHC 1:100 - 1:300.
ICC/IF 1:200 - 1:1000.
ELISA: 1:5000.
Not yet tested in other applications.
Validation Images & Assay Conditions
Click image to see more details
Western blot analysis of the lysates from HT-29 cells using MAST4 antibody.
Click image to see more details
Immunofluorescence analysis of COS7 cells, using MAST4 Antibody. The picture on the right is blocked with the synthesized peptide.
Click image to see more details
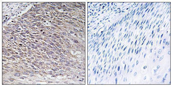
Immunohistochemistry analysis of paraffin-embedded human testis tissue, using MAST4 Antibody. The picture on the right is blocked with the synthesized peptide.
Click image to see more details
Western blot analysis of lysates from Jurkat, COLO, HUVEC, and MCF-7 cells, using MAST4 Antibody. The lane on the right is blocked with the synthesized peptide.
Specific Publications For Anti-MAST4 Antibody (A11085-1)
Loading publications
Recommended Resources
Here are featured tools and databases that you might find useful.
- Boster's Pathways Library
- Protein Databases
- Bioscience Research Protocol Resources
- Data Processing & Analysis Software
- Photo Editing Software
- Scientific Literature Resources
- Research Paper Management Tools
- Molecular Biology Software
- Primer Design Tools
- Bioinformatics Tools
- Phylogenetic Tree Analysis
Customer Reviews
Have you used Anti-MAST4 Antibody?
Share your experimental results or join a short interview to earn up to $1,000 in product credits or other rewards.
0 Reviews For Anti-MAST4 Antibody
Customer Q&As
Have a question?
Find answers in Q&As, reviews.
Can't find your answer?
Submit your question
6 Customer Q&As for Anti-MAST4 Antibody
Question
We are currently using anti-MAST4 antibody A11085-1 for mouse tissue, and we are satisfied with the IF results. The species of reactivity given in the datasheet says human, mouse. Is it true that the antibody can work on goat tissues as well?
Verified Customer
Verified customer
Asked: 2020-05-08
Answer
The anti-MAST4 antibody (A11085-1) has not been tested for cross reactivity specifically with goat tissues, but there is a good chance of cross reactivity. We have an innovator award program that if you test this antibody and show it works in goat you can get your next antibody for free. Please contact me if I can help you with anything.
Boster Scientific Support
Answered: 2020-05-08
Question
I was wanting to use your anti-MAST4 antibody for IHC for mouse lung on frozen tissues, but I want to know if it has been tested for this particular application. Has this antibody been tested and is this antibody a good choice for mouse lung identification?
Verified Customer
Verified customer
Asked: 2019-08-15
Answer
As indicated on the product datasheet, A11085-1 anti-MAST4 antibody has been tested for IF, IHC, WB on human, mouse tissues. We have an innovator award program that if you test this antibody and show it works in mouse lung in IHC-frozen, you can get your next antibody for free.
Boster Scientific Support
Answered: 2019-08-15
Question
Will anti-MAST4 antibody A11085-1 work for IHC with lung?
Verified Customer
Verified customer
Asked: 2019-06-11
Answer
According to the expression profile of lung, MAST4 is highly expressed in lung. So, it is likely that anti-MAST4 antibody A11085-1 will work for IHC with lung.
Boster Scientific Support
Answered: 2019-06-11
Question
Is this A11085-1 anti-MAST4 antibody reactive to the isotypes of MAST4?
A. Mitchell
Verified customer
Asked: 2018-02-26
Answer
The immunogen of A11085-1 anti-MAST4 antibody is A peptide derived from human MAST4. Immunogen sequence location: 251-300. Could you tell me which isotype you are interested in so I can help see if the immunogen is part of this isotype?
Boster Scientific Support
Answered: 2018-02-26
Question
See below the WB image, lot number and protocol we used for lung using anti-MAST4 antibody A11085-1. Please let me know if you require anything else.
Verified Customer
Verified customer
Asked: 2018-02-12
Answer
Thank you very much for the data. Our lab team are working to resolve this as quickly as possible, and we appreciate your patience and understanding! You have provided everything we needed. Please let me know if there is anything you need in the meantime.
Boster Scientific Support
Answered: 2018-02-12
Question
Is a blocking peptide available for product anti-MAST4 antibody (A11085-1)?
P. Anderson
Verified customer
Asked: 2016-11-16
Answer
We do provide the blocking peptide for product anti-MAST4 antibody (A11085-1). If you would like to place an order for it please contact support@bosterbio.com and make a special request.
Boster Scientific Support
Answered: 2016-11-16

